Suppr超能文献

立体定向消融放疗与经皮微波消融治疗早期非小细胞肺癌:一项多中心回顾性研究。

Stereotactic ablative brachytherapy versus percutaneous microwave ablation for early-stage non-small cell lung cancer: a multicenter retrospective study.

机构信息

Department of Interventional Medicine,The Second Hospital of Shandong University, Institute of Tumor Intervention,Cheeloo college of medicine, Shandong University, Jinan City, Shandong Province, China.

Department of Fifth Internal Medicine, People's Hospital of Shizhong District, No.156 Jiefang Road, Zaozhuang City, Shandong Province, China.

出版信息

BMC Cancer. 2024 Mar 6;24(1):304. doi: 10.1186/s12885-024-12055-6.

Abstract

BACKGROUND

To analyze the efficacy of stereotactic ablative brachytherapy (SABT) and percutaneous microwave ablation (MWA) for the treatment of early-stage non-small cell lung cancer (NSCLC).

METHODS

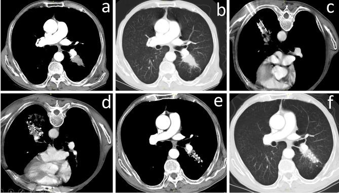
Patients with early-stage (T1-T2aN0M0) NSCLC who underwent CT-guided SABT or MWA between October 2014 and March 2017 at four medical centers were retrospectively analyzed. Survival, treatment response, and procedure-related complications were assessed.

RESULTS

A total of 83 patients were included in this study. The median follow-up time was 55.2 months (range 7.2-76.8 months). The 1-, 3-, and 5-year overall survival (OS) rates were 96.4%, 82.3%, and 68.4% for the SABT group (n = 28), and 96.4%, 79.7%, and 63.2% for MWA group (n = 55), respectively. The 1-, 3-, and 5-year disease-free survival (DFS) rates were 92.9%, 74.6%, and 54.1% for SABT, and 92.7%, 70.5%, and 50.5% for MWA, respectively. There were no significant differences between SABT and MWA in terms of OS (p = 0.631) or DFS (p = 0.836). The recurrence rate was also similar between the two groups (p = 0.809). No procedure-related deaths occurred. Pneumothorax was the most common adverse event in the two groups, with no significant difference. No radiation pneumonia was found in the SABT group.

CONCLUSIONS

SABT provided similar efficacy to MWA for the treatment of stage I NSCLC. SABT may be a treatment option for unresectable early-stage NSCLC. However, future prospective randomized studies are required to verify these results.

摘要

背景

分析立体定向消融放疗(SABT)和经皮微波消融(MWA)治疗早期非小细胞肺癌(NSCLC)的疗效。

方法

回顾性分析 2014 年 10 月至 2017 年 3 月在四家医疗中心行 CT 引导下 SABT 或 MWA 的早期(T1-T2aN0M0)NSCLC 患者。评估生存、治疗反应和与治疗相关的并发症。

结果

本研究共纳入 83 例患者。中位随访时间为 55.2 个月(范围 7.2-76.8 个月)。SABT 组(n=28)和 MWA 组(n=55)的 1、3、5 年总生存率(OS)分别为 96.4%、82.3%和 68.4%,96.4%、79.7%和 63.2%。SABT 组的 1、3、5 年无病生存率(DFS)分别为 92.9%、74.6%和 54.1%,MWA 组分别为 92.7%、70.5%和 50.5%。SABT 和 MWA 在 OS(p=0.631)或 DFS(p=0.836)方面无显著差异。两组的复发率也相似(p=0.809)。两组均无与治疗相关的死亡事件。气胸是两组最常见的不良事件,差异无统计学意义。SABT 组未发现放射性肺炎。

结论

SABT 治疗 I 期 NSCLC 的疗效与 MWA 相似。SABT 可能是治疗不可切除的早期 NSCLC 的一种选择。然而,需要进一步的前瞻性随机研究来验证这些结果。

https://cdn.ncbi.nlm.nih.gov/pmc/blobs/ae49/10916219/6b114374e551/12885_2024_12055_Fig1_HTML.jpg

文献AI研究员

20分钟写一篇综述,助力文献阅读效率提升50倍。

立即体验

用中文搜PubMed

大模型驱动的PubMed中文搜索引擎

马上搜索

文档翻译

学术文献翻译模型,支持多种主流文档格式。

立即体验