Suppr超能文献

三阴性乳腺癌化疗初治患者中独立于间质肿瘤浸润淋巴细胞水平的组织病理学特征的预后价值。

Prognostic value of histopathologic traits independent of stromal tumor-infiltrating lymphocyte levels in chemotherapy-naïve patients with triple-negative breast cancer.

机构信息

Department of Molecular Pathology, the Netherlands Cancer Institute, Amsterdam, The Netherlands.

Institute of Biostatistics and Registry Research, Brandenburg Medical School Theodor Fontane, Neuruppin, Germany.

出版信息

ESMO Open. 2024 Mar;9(3):102923. doi: 10.1016/j.esmoop.2024.102923. Epub 2024 Mar 6.

Abstract

BACKGROUND

In the absence of prognostic biomarkers, most patients with early-stage triple-negative breast cancer (eTNBC) are treated with combination chemotherapy. The identification of biomarkers to select patients for whom treatment de-escalation or escalation could be considered remains an unmet need. We evaluated the prognostic value of histopathologic traits in a unique cohort of young, (neo)adjuvant chemotherapy-naïve patients with early-stage (stage I or II), node-negative TNBC and long-term follow-up, in relation to stromal tumor-infiltrating lymphocytes (sTILs) for which the prognostic value was recently reported.

MATERIALS AND METHODS

We studied all 485 patients with node-negative eTNBC from the population-based PARADIGM cohort which selected women aged <40 years diagnosed between 1989 and 2000. None of the patients had received (neo)adjuvant chemotherapy according to standard practice at the time. Associations between histopathologic traits and breast cancer-specific survival (BCSS) were analyzed with Cox proportional hazard models.

RESULTS

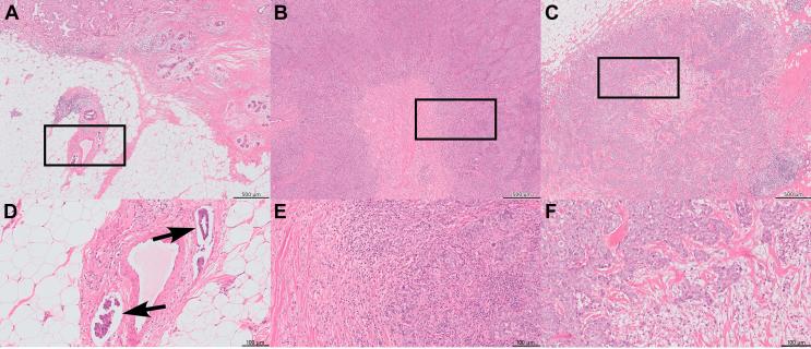
With a median follow-up of 20.0 years, an independent prognostic value for BCSS was observed for lymphovascular invasion (LVI) [adjusted (adj.) hazard ratio (HR) 2.35, 95% confidence interval (CI) 1.49-3.69], fibrotic focus (adj. HR 1.61, 95% CI 1.09-2.37) and sTILs (per 10% increment adj. HR 0.75, 95% CI 0.69-0.82). In the sTILs <30% subgroup, the presence of LVI resulted in a higher cumulative incidence of breast cancer death (at 20 years, 58%; 95% CI 41% to 72%) compared with when LVI was absent (at 20 years, 32%; 95% CI 26% to 39%). In the ≥75% sTILs subgroup, the presence of LVI might be associated with poor survival (HR 11.45, 95% CI 0.71-182.36, two deaths). We confirm the lack of prognostic value of androgen receptor expression and human epidermal growth factor receptor 2 -low status.

CONCLUSIONS

sTILs, LVI and fibrotic focus provide independent prognostic information in young women with node-negative eTNBC. Our results are of importance for the selection of patients for de-escalation and escalation trials.

摘要

背景

在缺乏预后生物标志物的情况下,大多数早期三阴性乳腺癌(eTNBC)患者接受联合化疗治疗。确定生物标志物以选择可考虑降阶或升阶治疗的患者仍然是一个未满足的需求。我们评估了组织病理学特征在一个独特的队列中的预后价值,该队列由年轻(<40 岁)、(新)辅助化疗初治、早期(I 期或 II 期)、淋巴结阴性 TNBC 患者组成,这些患者接受了长期随访,并评估了最近报道的间质肿瘤浸润淋巴细胞(sTILs)的预后价值。

材料和方法

我们研究了来自基于人群的 PARADIGM 队列的 485 名淋巴结阴性 eTNBC 患者,该队列选择了 1989 年至 2000 年间诊断为年龄<40 岁的女性。根据当时的标准实践,没有患者接受过(新)辅助化疗。使用 Cox 比例风险模型分析组织病理学特征与乳腺癌特异性生存(BCSS)之间的关联。

结果

中位随访 20.0 年后,淋巴血管侵犯(LVI)[调整后(adj.)风险比(HR)2.35,95%置信区间(CI)1.49-3.69]、纤维性焦点(adj. HR 1.61,95% CI 1.09-2.37)和 sTILs(每增加 10%,adj. HR 0.75,95% CI 0.69-0.82)与 BCSS 的独立预后价值相关。在 sTILs<30%亚组中,与 LVI 缺失相比,LVI 的存在导致乳腺癌死亡的累积发生率更高(20 年时为 58%;95%CI 41%至 72%)。在 sTILs≥75%亚组中,LVI 的存在可能与不良生存相关(HR 11.45,95%CI 0.71-182.36,死亡 2 例)。我们证实雄激素受体表达和人表皮生长因子受体 2-低状态缺乏预后价值。

结论

sTILs、LVI 和纤维性焦点为淋巴结阴性 eTNBC 的年轻女性提供了独立的预后信息。我们的结果对于降阶和升阶试验患者的选择很重要。

https://cdn.ncbi.nlm.nih.gov/pmc/blobs/53b5/10937239/18ea4cd05029/gr1.jpg

文献AI研究员

20分钟写一篇综述,助力文献阅读效率提升50倍。

立即体验

用中文搜PubMed

大模型驱动的PubMed中文搜索引擎

马上搜索

文档翻译

学术文献翻译模型,支持多种主流文档格式。

立即体验