Suppr超能文献

CRISPR/Cas9 前列腺癌模型通过 Odam/Cabs1 基因簇表达鉴定出 Kmt2c 缺失为转移驱动因子。

CRISPR/Cas9 model of prostate cancer identifies Kmt2c deficiency as a metastatic driver by Odam/Cabs1 gene cluster expression.

机构信息

Department of Biomedicine, Aarhus University, Aarhus, Denmark.

Computational Bioscience Research Center, King Abdullah University of Science and Technology (KAUST), Thuwal, Saudi Arabia.

出版信息

Nat Commun. 2024 Mar 7;15(1):2088. doi: 10.1038/s41467-024-46370-0.

Abstract

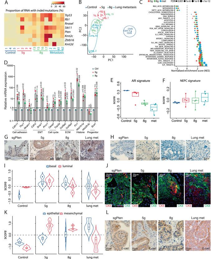
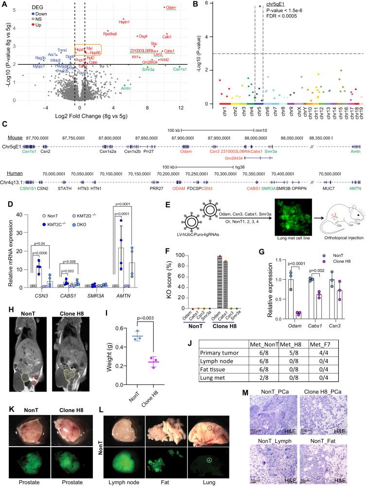
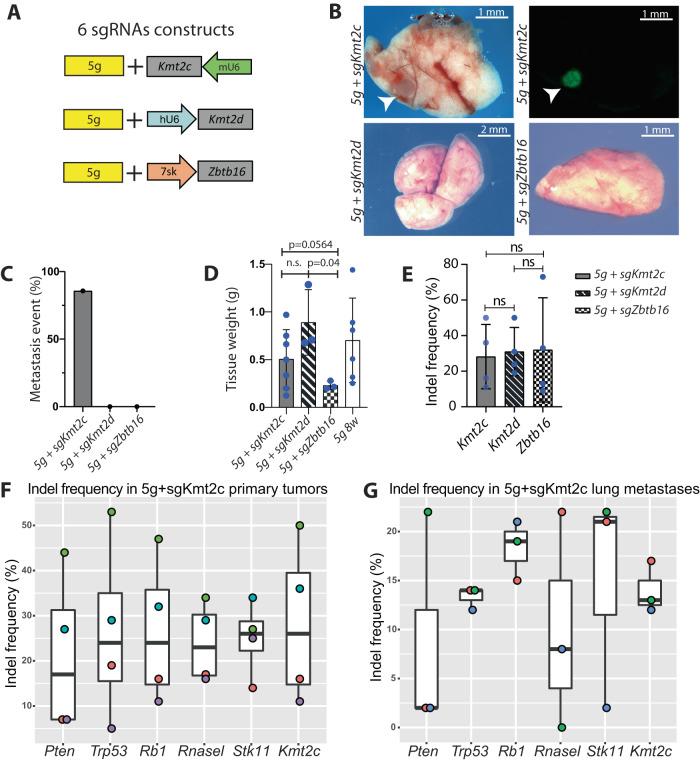
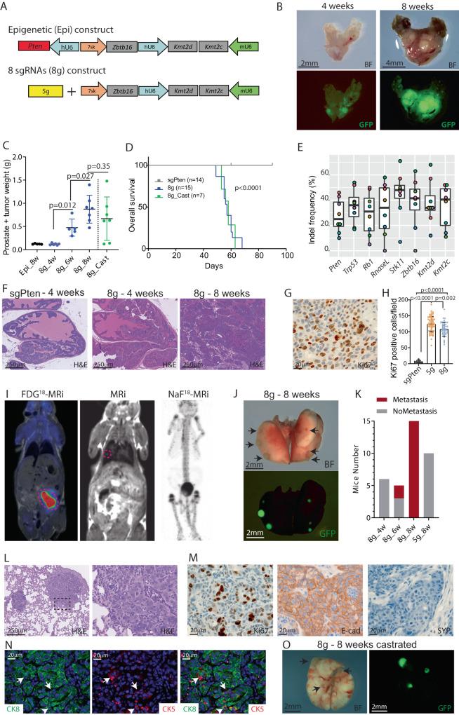
Metastatic prostate cancer (PCa) poses a significant therapeutic challenge with high mortality rates. Utilizing CRISPR-Cas9 in vivo, we target five potential tumor suppressor genes (Pten, Trp53, Rb1, Stk11, and RnaseL) in the mouse prostate, reaching humane endpoint after eight weeks without metastasis. By further depleting three epigenetic factors (Kmt2c, Kmt2d, and Zbtb16), lung metastases are present in all mice. While whole genome sequencing reveals few mutations in coding sequence, RNA sequencing shows significant dysregulation, especially in a conserved genomic region at chr5qE1 regulated by KMT2C. Depleting Odam and Cabs1 in this region prevents metastasis. Notably, the gene expression signatures, resulting from our study, predict progression-free and overall survival and distinguish primary and metastatic human prostate cancer. This study emphasizes positive genetic interactions between classical tumor suppressor genes and epigenetic modulators in metastatic PCa progression, offering insights into potential treatments.

摘要

转移性前列腺癌(PCa)具有很高的死亡率,是一个重大的治疗挑战。我们利用 CRISPR-Cas9 在体内靶向五个潜在的肿瘤抑制基因(Pten、Trp53、Rb1、Stk11 和 RnaseL),在八周后达到了人性化的终点,没有转移。通过进一步耗尽三个表观遗传因子(Kmt2c、Kmt2d 和 Zbtb16),所有小鼠都出现了肺转移。虽然全基因组测序显示编码序列中很少有突变,但 RNA 测序显示存在显著的失调,特别是在由 KMT2C 调节的 chr5qE1 上的一个保守基因组区域。耗尽该区域的 Odam 和 Cabs1 可预防转移。值得注意的是,我们的研究结果的基因表达特征可预测无进展生存期和总生存期,并区分原发性和转移性人前列腺癌。这项研究强调了经典肿瘤抑制基因和转移性 PCa 进展中表观遗传调节剂之间的积极遗传相互作用,为潜在的治疗方法提供了思路。

https://cdn.ncbi.nlm.nih.gov/pmc/blobs/e235/10920892/828d1f140b8b/41467_2024_46370_Fig1_HTML.jpg

文献AI研究员

20分钟写一篇综述,助力文献阅读效率提升50倍。

立即体验

用中文搜PubMed

大模型驱动的PubMed中文搜索引擎

马上搜索

文档翻译

学术文献翻译模型,支持多种主流文档格式。

立即体验