Suppr超能文献

在小鼠中,生精细胞通过线粒体转移来支持巨噬细胞免疫稳态。

Stem Leydig cells support macrophage immunological homeostasis through mitochondrial transfer in mice.

机构信息

Department of Andrology, The First Affiliated Hospital, Sun Yat-sen University, Guangzhou, 510080, China.

School of Materials Science and Engineering, South China University of Technology, Guangzhou, 510640, China.

出版信息

Nat Commun. 2024 Mar 8;15(1):2120. doi: 10.1038/s41467-024-46190-2.

Abstract

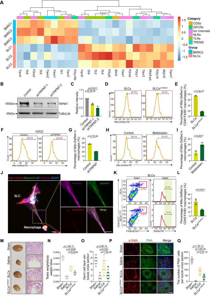
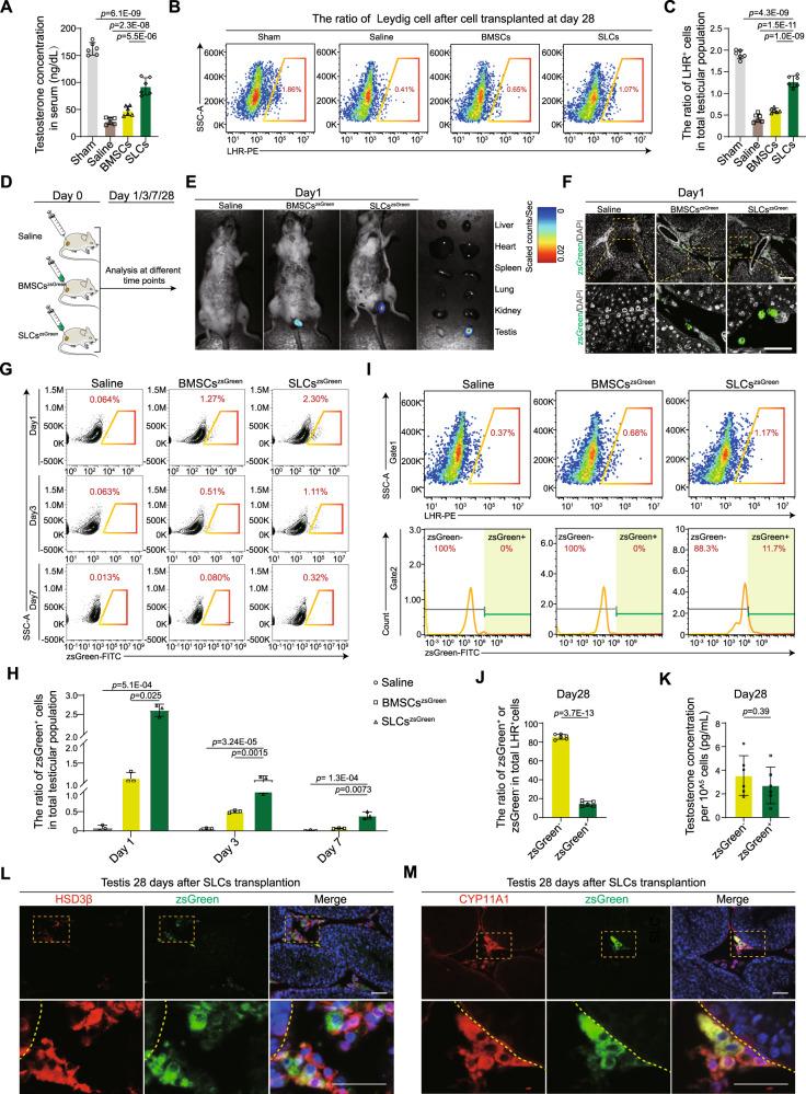
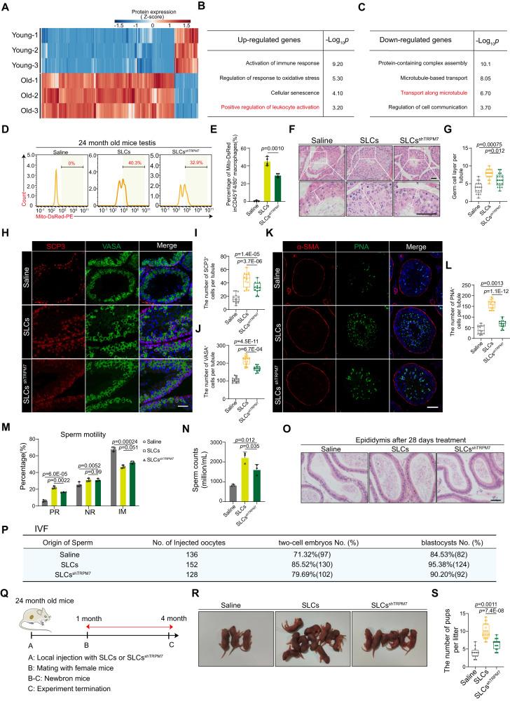
As testicular mesenchymal stromal cells, stem Leydig cells (SLCs) show great promise in the treatment of male hypogonadism. The therapeutic functions of mesenchymal stromal cells are largely determined by their reciprocal regulation by immune responses. However, the immunoregulatory properties of SLCs remain unclear. Here, we observe that SLCs transplantation restore male fertility and testosterone production in an ischemia‒reperfusion injury mouse model. SLCs prevent inflammatory cascades through mitochondrial transfer to macrophages. Reactive oxygen species (ROS) released from activated macrophages inducing mitochondrial transfer from SLCs to macrophages in a transient receptor potential cation channel subfamily member 7 (TRPM7)-mediated manner. Notably, knockdown of TRPM7 in transplanted SLCs compromised therapeutic outcomes in both testicular ischemia‒reperfusion and testicular aging mouse models. These findings reveal a new mechanism of SLCs transplantation that may contribute to preserve testis function in male patients with hypogonadism related to immune disorders.

摘要

作为睾丸间质基质细胞,干细胞源性 Leydig 细胞(SLCs)在治疗男性性腺功能减退症方面具有巨大的应用潜力。间质基质细胞的治疗功能在很大程度上取决于其对免疫反应的相互调节。然而,SLCs 的免疫调节特性尚不清楚。在这里,我们观察到 SLCs 移植可恢复缺血再灌注损伤小鼠模型中的雄性生育力和睾酮产生。SLCs 通过向巨噬细胞转移线粒体来防止炎症级联反应。激活的巨噬细胞释放的活性氧物质(ROS)以瞬时受体电位阳离子通道亚家族成员 7(TRPM7)介导的方式诱导 SLCs 向巨噬细胞转移线粒体。值得注意的是,在移植的 SLCs 中敲低 TRPM7 会损害睾丸缺血再灌注和睾丸老化小鼠模型中的治疗效果。这些发现揭示了 SLCs 移植的一种新机制,可能有助于保留与免疫紊乱相关的性腺功能减退症男性患者的睾丸功能。

https://cdn.ncbi.nlm.nih.gov/pmc/blobs/77c1/10924100/5248fadbbc1a/41467_2024_46190_Fig1_HTML.jpg

文献AI研究员

20分钟写一篇综述,助力文献阅读效率提升50倍。

立即体验

用中文搜PubMed

大模型驱动的PubMed中文搜索引擎

马上搜索

文档翻译

学术文献翻译模型,支持多种主流文档格式。

立即体验