Suppr超能文献

GRK2介导的SAV1降解引发类风湿关节炎中滑膜成纤维样细胞的增生。

GRK2 mediated degradation of SAV1 initiates hyperplasia of fibroblast-like synoviocytes in rheumatoid arthritis.

作者信息

Guo Paipai, Jiang Ji, Chu Rui, He Feng, Ge Mingli, Fang Ruhong, Guan Qiuyun, Cheng Huijuan, Jiang Chunru, Su Tiantian, Zhu Zhenduo, Liu Hao, Wei Wei, Zhang Shihao, Wang Qingtong

机构信息

Institute of Clinical Pharmacology, Anhui Medical University, Key Laboratory of Anti-inflammatory and Immune Medicine, Ministry of Education, Collaborative Innovation Center of Anti-inflammatory and Immune Medicines, Hefei 230032, China.

School of Pharmacy, Bengbu Medical College, Bengbu 233030, China.

出版信息

Acta Pharm Sin B. 2024 Mar;14(3):1222-1240. doi: 10.1016/j.apsb.2023.12.007. Epub 2023 Dec 16.

Abstract

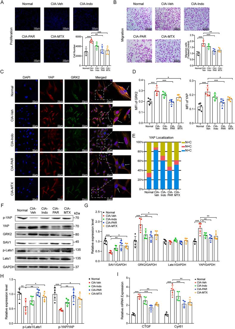
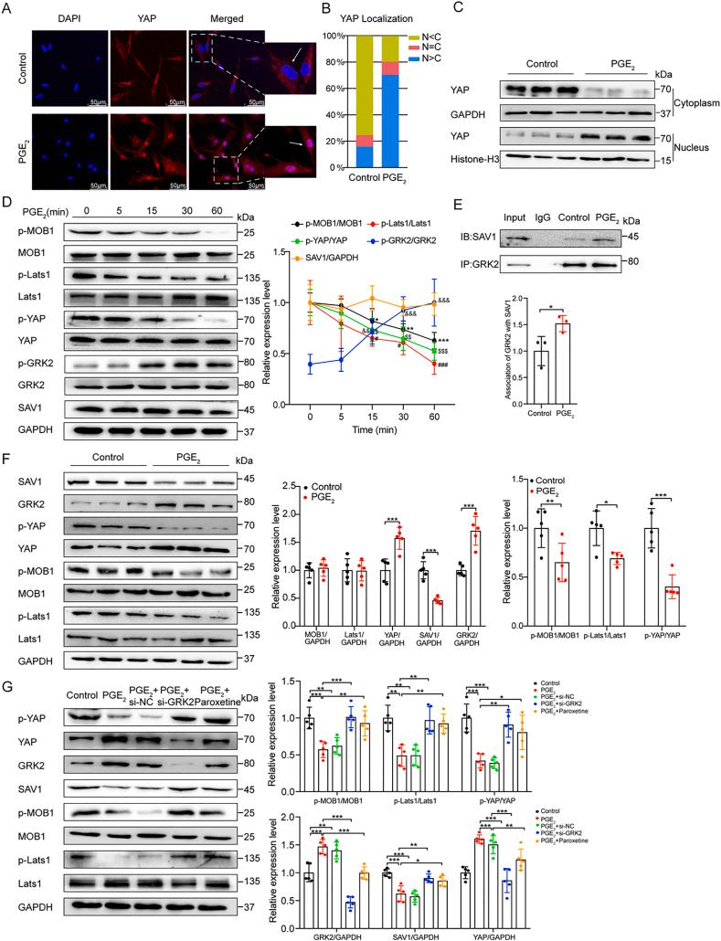
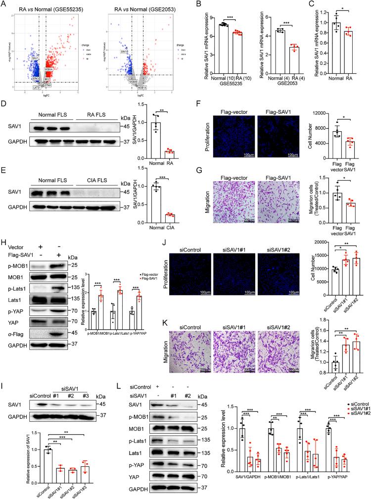
Hyperplasia and migration of fibroblast-like synoviocytes (FLSs) are the key drivers in the pathogenesis of rheumatoid arthritis (RA) and joint destruction. Abundant Yes-associated protein (YAP), which is a powerful transcription co-activator for proliferative genes, was observed in the nucleus of inflammatory FLSs with unknown upstream mechanisms. Using Gene Expression Omnibus database analysis, it was found that Salvador homolog-1 (SAV1), the pivotal negative regulator of the Hippo-YAP pathway, was slightly downregulated in RA synovium. However, SAV1 protein expression is extremely reduced. Subsequently, it was revealed that SAV1 is phosphorylated, ubiquitinated, and degraded by interacting with an important serine-threonine kinase, G protein-coupled receptor (GPCR) kinase 2 (GRK2), which was predominately upregulated by GPCR activation induced by ligands such as prostaglandin E (PGE) in RA. This process further contributes to the decreased phosphorylation, nuclear translocation, and transcriptional potency of YAP, and leads to aberrant FLSs proliferation. Genetic depletion of GRK2 or inhibition of GRK2 by paroxetine rescued SAV1 expression and restored YAP phosphorylation and finally inhibited RA FLSs proliferation and migration. Similarly, paroxetine treatment effectively reduced the abnormal proliferation of FLSs in a rat model of collagen-induced arthritis which was accompanied by a significant improvement in clinical manifestations. Collectively, these results elucidate the significance of GRK2 regulation of Hippo-YAP signaling in FLSs proliferation and migration and the potential application of GRK2 inhibition in the treatment of FLSs-driven joint destruction in RA.

摘要

成纤维细胞样滑膜细胞(FLS)的增生和迁移是类风湿关节炎(RA)发病机制和关节破坏的关键驱动因素。在炎症性FLS细胞核中观察到大量Yes相关蛋白(YAP),它是一种强大的增殖基因转录共激活因子,但其上游机制尚不清楚。通过基因表达综合数据库分析发现,Hippo-YAP信号通路的关键负调节因子萨尔瓦多同源物1(SAV1)在RA滑膜中略有下调。然而,SAV1蛋白表达极度降低。随后发现,SAV1通过与一种重要的丝氨酸-苏氨酸激酶——G蛋白偶联受体(GPCR)激酶2(GRK2)相互作用而发生磷酸化、泛素化和降解,GRK2在RA中由前列腺素E(PGE)等配体诱导的GPCR激活作用下主要上调。这一过程进一步导致YAP的磷酸化减少、核转位及转录活性降低,进而导致FLS异常增殖。GRK2基因缺失或帕罗西汀对GRK2的抑制作用可挽救SAV1表达,恢复YAP磷酸化,最终抑制RA FLS的增殖和迁移。同样,在胶原诱导的关节炎大鼠模型中,帕罗西汀治疗有效降低了FLS的异常增殖,并伴有临床表现的显著改善。综上所述,这些结果阐明了GRK2调节Hippo-YAP信号通路在FLS增殖和迁移中的重要性,以及GRK2抑制在治疗RA中FLS驱动的关节破坏方面的潜在应用。

https://cdn.ncbi.nlm.nih.gov/pmc/blobs/9551/10935169/8797e9af9007/ga1.jpg

文献AI研究员

20分钟写一篇综述,助力文献阅读效率提升50倍。

立即体验

用中文搜PubMed

大模型驱动的PubMed中文搜索引擎

马上搜索

文档翻译

学术文献翻译模型,支持多种主流文档格式。

立即体验