Suppr超能文献

增强钆塞酸增强肝脏 MRI:深度学习 CAIPIRINHA-VIBE 和优化的脂肪抑制技术的协同方法。

Enhancing gadoxetic acid-enhanced liver MRI: a synergistic approach with deep learning CAIPIRINHA-VIBE and optimized fat suppression techniques.

机构信息

Department of Radiology, Seoul National University Hospital, Seoul, 03080, Republic of Korea.

Department of Radiology, West China Hospital, Sichuan University, Chengdu, 610041, Sichuan, China.

出版信息

Eur Radiol. 2024 Oct;34(10):6712-6725. doi: 10.1007/s00330-024-10693-9. Epub 2024 Mar 16.

Abstract

OBJECTIVE

To investigate whether a deep learning (DL) controlled aliasing in parallel imaging results in higher acceleration (CAIPIRINHA)-volumetric interpolated breath-hold examination (VIBE) technique can improve image quality, lesion conspicuity, and lesion detection compared to a standard CAIPIRINHA-VIBE technique in gadoxetic acid-enhanced liver MRI.

METHODS

This retrospective single-center study included 168 patients who underwent gadoxetic acid-enhanced liver MRI at 3 T using both standard CAIPIRINHA-VIBE and DL CAIPIRINHA-VIBE techniques on pre-contrast and hepatobiliary phase (HBP) images. Additionally, high-resolution (HR) DL CAIPIRINHA-VIBE was obtained with 1-mm slice thickness on the HBP. Three abdominal radiologists independently assessed the image quality and lesion conspicuity of pre-contrast and HBP images. Statistical analyses involved the Wilcoxon signed-rank test for image quality assessment and the generalized estimation equation for lesion conspicuity and detection evaluation.

RESULTS

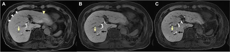
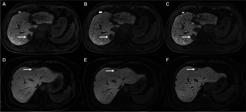
DL and HR-DL CAIPIRINHA-VIBE demonstrated significantly improved overall image quality and reduced artifacts on pre-contrast and HBP images compared to standard CAIPIRINHA-VIBE (p < 0.001), with a shorter acquisition time (DL vs standard, 11 s vs 17 s). However, the former presented a more synthetic appearance (both p < 0.05). HR-DL CAIPIRINHA-VIBE showed superior lesion conspicuity to standard and DL CAIPIRINHA-VIBE on HBP images (p < 0.001). Moreover, HR-DL CAIPIRINHA-VIBE exhibited a significantly higher detection rate of small (< 2 cm) solid focal liver lesions (FLLs) on HBP images compared to standard CAIPIRINHA-VIBE (92.5% vs 87.4%; odds ratio = 1.83; p = 0.036).

CONCLUSION

DL and HR-DL CAIPIRINHA-VIBE achieved superior image quality compared to standard CAIPIRINHA-VIBE. Additionally, HR-DL CAIPIRINHA-VIBE improved the lesion conspicuity and detection of small solid FLLs. DL and HR-DL CAIPIRINHA-VIBE hold the potential clinical utility for gadoxetic acid-enhanced liver MRI.

CLINICAL RELEVANCE STATEMENT

DL and HR-DL CAIPIRINHA-VIBE hold promise as potential alternatives to standard CAIPIRINHA-VIBE in routine clinical liver MRI, improving the image quality and lesion conspicuity, enhancing the detection of small (< 2 cm) solid focal liver lesions, and reducing the acquisition time.

KEY POINTS

• DL and HR-DL CAIPIRINHA-VIBE demonstrated improved overall image quality and reduced artifacts on pre-contrast and HBP images compared to standard CAIPIRINHA-VIBE, in addition to a shorter acquisition time. • DL and HR-DL CAIPIRINHA-VIBE yielded a more synthetic appearance than standard CAIPIRINHA-VIBE. • HR-DL CAIPIRINHA-VIBE showed improved lesion conspicuity than standard CAIPIRINHA-VIBE on HBP images, with a higher detection of small (< 2 cm) solid focal liver lesions.

摘要

目的

研究在钆塞酸增强肝脏 MRI 中,与标准 CAIPIRINHA-VIBE 技术相比,深度学习(DL)控制的并行成像中的混叠是否能通过更高的加速(CAIPIRINHA)容积内插屏气检查(VIBE)技术来提高图像质量、病灶显著性和病灶检出率。

方法

本回顾性单中心研究纳入了 168 例患者,他们在 3T 上进行了钆塞酸增强肝脏 MRI 检查,分别使用标准 CAIPIRINHA-VIBE 和 DL CAIPIRINHA-VIBE 技术进行了平扫和肝胆期(HBP)图像检查。此外,在 HBP 上还获得了 HR-DL CAIPIRINHA-VIBE 的 1mm 层厚图像。三位腹部放射科医生独立评估了平扫和 HBP 图像的图像质量和病灶显著性。对图像质量评估进行 Wilcoxon 符号秩检验,对病灶显著性和检出评估进行广义估计方程。

结果

与标准 CAIPIRINHA-VIBE 相比,DL 和 HR-DL CAIPIRINHA-VIBE 在平扫和 HBP 图像上均显著提高了整体图像质量,减少了伪影(p<0.001),同时采集时间更短(DL 比标准,11s 比 17s)。然而,前者的外观更具合成感(均 p<0.05)。在 HBP 图像上,HR-DL CAIPIRINHA-VIBE 比标准和 DL CAIPIRINHA-VIBE 具有更高的病灶显著性(p<0.001)。此外,在 HBP 图像上,HR-DL CAIPIRINHA-VIBE 检测到的小(<2cm)实性局灶性肝脏病变(FLL)的检出率显著高于标准 CAIPIRINHA-VIBE(92.5%比 87.4%;比值比=1.83;p=0.036)。

结论

与标准 CAIPIRINHA-VIBE 相比,DL 和 HR-DL CAIPIRINHA-VIBE 获得了更好的图像质量。此外,HR-DL CAIPIRINHA-VIBE 提高了小的实性 FLL 的病灶显著性和检出率。DL 和 HR-DL CAIPIRINHA-VIBE 在钆塞酸增强肝脏 MRI 中具有潜在的临床应用价值。

临床相关性声明

在常规临床肝脏 MRI 中,DL 和 HR-DL CAIPIRINHA-VIBE 有望替代标准 CAIPIRINHA-VIBE,提高图像质量和病灶显著性,增强小(<2cm)实性 FLL 的检出率,缩短采集时间。

要点

  • DL 和 HR-DL CAIPIRINHA-VIBE 与标准 CAIPIRINHA-VIBE 相比,在平扫和 HBP 图像上均改善了整体图像质量,减少了伪影,同时采集时间更短。

  • DL 和 HR-DL CAIPIRINHA-VIBE 比标准 CAIPIRINHA-VIBE 具有更具合成感的外观。

  • HR-DL CAIPIRINHA-VIBE 在 HBP 图像上具有比标准 CAIPIRINHA-VIBE 更高的病灶显著性,小(<2cm)实性 FLL 的检出率更高。

https://cdn.ncbi.nlm.nih.gov/pmc/blobs/9a2a/11399219/7c2dcee0942b/330_2024_10693_Fig1_HTML.jpg

文献AI研究员

20分钟写一篇综述,助力文献阅读效率提升50倍。

立即体验

用中文搜PubMed

大模型驱动的PubMed中文搜索引擎

马上搜索

文档翻译

学术文献翻译模型,支持多种主流文档格式。

立即体验