Suppr超能文献

Fgf2 介导的 tau 蛋白磷酸化参与七氟醚诱导老龄大鼠认知功能障碍。

Involvement of Fgf2-mediated tau protein phosphorylation in cognitive deficits induced by sevoflurane in aged rats.

机构信息

Department of Anesthesiology, Cancer Hospital of China Medical University, Liaoning Cancer Hospital & Institute, No. 44, Xiaoheyan Road, Dandong District, Liaoning Province, Shenyang, 110042, P. R. China.

出版信息

Mol Med. 2024 Mar 16;30(1):39. doi: 10.1186/s10020-024-00784-0.

Abstract

OBJECTIVE

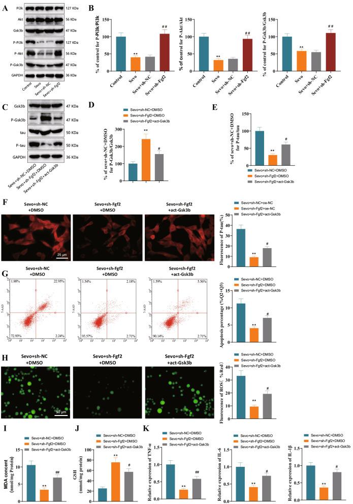
Anesthetics have been linked to cognitive alterations, particularly in the elderly. The current research delineates how Fibroblast Growth Factor 2 (Fgf2) modulates tau protein phosphorylation, contributing to cognitive impairments in aged rats upon sevoflurane administration.

METHODS

Rats aged 3, 12, and 18 months were subjected to a 2.5% sevoflurane exposure to form a neurotoxicity model. Cognitive performance was gauged, and the GEO database was employed to identify differentially expressed genes (DEGs) in the 18-month-old cohort post sevoflurane exposure. Bioinformatics tools, inclusive of STRING and GeneCards, facilitated detailed analysis. Experimental validations, both in vivo and in vitro, examined Fgf2's effect on tau phosphorylation.

RESULTS

Sevoflurane notably altered cognitive behavior in older rats. Out of 128 DEGs discerned, Fgf2 stood out as instrumental in regulating tau protein phosphorylation. Sevoflurane exposure spiked Fgf2 expression in cortical neurons, intensifying tau phosphorylation via the PI3K/AKT/Gsk3b trajectory. Diminishing Fgf2 expression correspondingly curtailed tau phosphorylation, neurofibrillary tangles, and enhanced cognitive capacities in aged rats.

CONCLUSION

Sevoflurane elicits a surge in Fgf2 expression in aging rats, directing tau protein phosphorylation through the PI3K/AKT/Gsk3b route, instigating cognitive aberrations.

摘要

目的

麻醉剂与认知改变有关,特别是在老年人中。目前的研究描绘了成纤维细胞生长因子 2(Fgf2)如何调节tau 蛋白磷酸化,导致老年大鼠在七氟醚给药后出现认知障碍。

方法

3、12 和 18 个月大的大鼠接受 2.5%七氟醚暴露以形成神经毒性模型。评估认知表现,并使用 GEO 数据库鉴定 18 个月大的队列在七氟醚暴露后差异表达的基因(DEGs)。使用 STRING 和 GeneCards 等生物信息学工具进行详细分析。体内和体外实验验证 Fgf2 对 tau 磷酸化的影响。

结果

七氟醚显著改变了老年大鼠的认知行为。在鉴定出的 128 个 DEGs 中,Fgf2 在调节 tau 蛋白磷酸化方面起着重要作用。七氟醚暴露会使皮质神经元中的 Fgf2 表达增加,通过 PI3K/AKT/Gsk3b 途径加剧 tau 磷酸化。减少 Fgf2 的表达相应地减少了 tau 磷酸化、神经纤维缠结,并增强了老年大鼠的认知能力。

结论

七氟醚在衰老大鼠中引发 Fgf2 表达增加,通过 PI3K/AKT/Gsk3b 途径指导 tau 蛋白磷酸化,引发认知异常。

https://cdn.ncbi.nlm.nih.gov/pmc/blobs/3129/10943822/b45d5dee32a6/10020_2024_784_Fig1_HTML.jpg

文献AI研究员

20分钟写一篇综述,助力文献阅读效率提升50倍。

立即体验

用中文搜PubMed

大模型驱动的PubMed中文搜索引擎

马上搜索

文档翻译

学术文献翻译模型,支持多种主流文档格式。

立即体验