Suppr超能文献

蜂胶和小麦胚芽油对实验性感染小鼠急性弓形虫病的改善作用与寄生虫负荷的降低以及脑、子宫和肾脏组织病理学变化的恢复有关。

Ameliorative effects of propolis and wheat germ oil on acute toxoplasmosis in experimentally infected mice are associated with reduction in parasite burden and restoration of histopathological changes in the brain, uterus, and kidney.

作者信息

Elmahallawy Ehab Kotb, Ali Fatma Abo Zakaib, Raya-Álvarez Enrique, Fehaid Alaa, Abd El-Razik Khaled A, El Fadaly Hassan Ali Mohamed, El-Khadragy Manal F, Sayed Amal S M, Soror Ashraf H, Alhegaili Alaa S, Saleh Amira A, Alkhaldi Abdulsalam A M, Madboli Abd El-Nasser A, Agil Ahmad, Barakat Ashraf Mohamed

机构信息

Departamento de Sanidad Animal, Grupo de Investigación en Sanidad Animal y Zoonosis (GISAZ), Facultad de Veterinaria, Universidad de Córdoba, Córdoba, Spain.

Department of Zoonoses, Faculty of Veterinary Medicine, Sohag University, Sohag, Egypt.

出版信息

Front Vet Sci. 2024 Mar 1;11:1357947. doi: 10.3389/fvets.2024.1357947. eCollection 2024.

Abstract

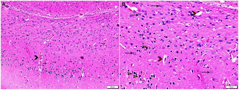
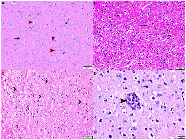
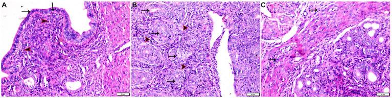
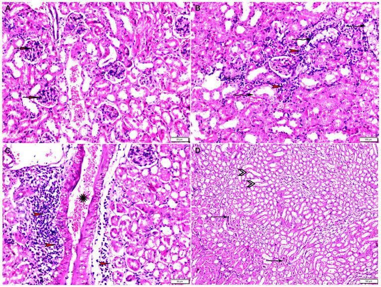
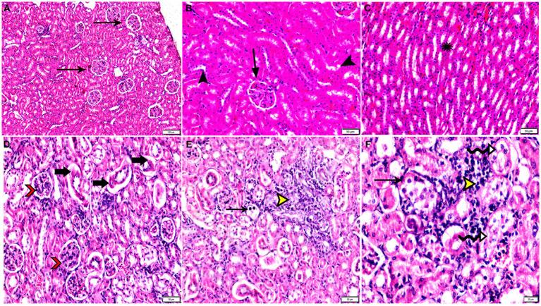
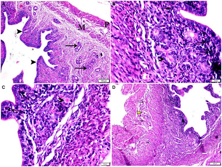
Toxoplasmosis continues to be a prevalent parasitic zoonosis with a global distribution. This disease is caused by an intracellular parasite known as , and the development of effective novel drug targets to combat it is imperative. There is limited information available on the potential advantages of wheat germ oil (WGO) and propolis, both individually and in combination, against the acute phase of toxoplasmosis. In this study, acute toxoplasmosis was induced in Swiss albino mice, followed by the treatment of infected animals with WGO and propolis, either separately or in combination. After 10 days of experimental infection and treatment, mice from all groups were sacrificed, and their brains, uteri, and kidneys were excised for histopathological assessment. Additionally, the average parasite load in the brain was determined through parasitological assessment, and quantification of the parasite was performed using Real-Time Polymerase Chain Reaction targeting gene amplification. Remarkably, the study found that treating infected animals with wheat germ oil and propolis significantly reduced the parasite load compared to the control group that was infected but not treated. Moreover, the group treated with a combination of wheat germ oil and propolis exhibited a markedly greater reduction in parasitic load compared to the other groups. Similarly, the combination treatment effectively restored the histopathological changes observed in the brain, uterus, and kidney, and the scoring of these reported lesions confirmed these findings. In summary, the present results reveal intriguing insights into the potential therapeutic benefits of wheat germ oil and propolis in the treatment of acute toxoplasmosis.

摘要

弓形虫病仍然是一种全球分布的常见寄生虫人畜共患病。这种疾病由一种名为[具体寄生虫名称未给出]的细胞内寄生虫引起,因此开发有效的新型药物靶点来对抗它势在必行。关于小麦胚芽油(WGO)和蜂胶单独及联合使用对弓形虫病急性期的潜在优势,目前可用信息有限。在本研究中,对瑞士白化小鼠诱发急性弓形虫病,然后分别或联合用WGO和蜂胶对感染动物进行治疗。在实验感染和治疗10天后,处死所有组的小鼠,取出它们的脑、子宫和肾脏进行组织病理学评估。此外,通过寄生虫学评估确定脑中的平均寄生虫负荷,并使用靶向基因扩增的实时聚合酶链反应对寄生虫进行定量。值得注意的是,研究发现,与未治疗的感染对照组相比,用小麦胚芽油和蜂胶治疗感染动物可显著降低寄生虫负荷。此外,与其他组相比,用小麦胚芽油和蜂胶联合治疗的组寄生虫负荷降低更为明显。同样,联合治疗有效地恢复了在脑、子宫和肾脏中观察到的组织病理学变化,对这些报告病变的评分证实了这些发现。总之,目前的结果揭示了小麦胚芽油和蜂胶在治疗急性弓形虫病方面潜在治疗益处的有趣见解。

https://cdn.ncbi.nlm.nih.gov/pmc/blobs/aacd/10940321/09115ff9d28e/fvets-11-1357947-g001.jpg

文献AI研究员

20分钟写一篇综述,助力文献阅读效率提升50倍。

立即体验

用中文搜PubMed

大模型驱动的PubMed中文搜索引擎

马上搜索

文档翻译

学术文献翻译模型,支持多种主流文档格式。

立即体验