Suppr超能文献

RBBP6通过依赖CPSF3的可变聚腺苷酸化维持胶质母细胞瘤干细胞。

RBBP6 maintains glioblastoma stem cells through CPSF3-dependent alternative polyadenylation.

作者信息

Lin Peng, Chen Wenyan, Long Zhilin, Yu Jichuan, Yang Jiayao, Xia Zhen, Wu Qiulian, Min Xinyu, Tang Jing, Cui Ya, Liu Fuyi, Wang Chun, Zheng Jian, Li Wei, Rich Jeremy N, Li Lei, Xie Qi

机构信息

College of Life Sciences, Zhejiang University, Hangzhou, Zhejiang, China.

Westlake Disease Modeling Laboratory, Westlake Laboratory of Life Sciences and Biomedicine, Hangzhou, Zhejiang, China.

出版信息

Cell Discov. 2024 Mar 19;10(1):32. doi: 10.1038/s41421-024-00654-3.

Abstract

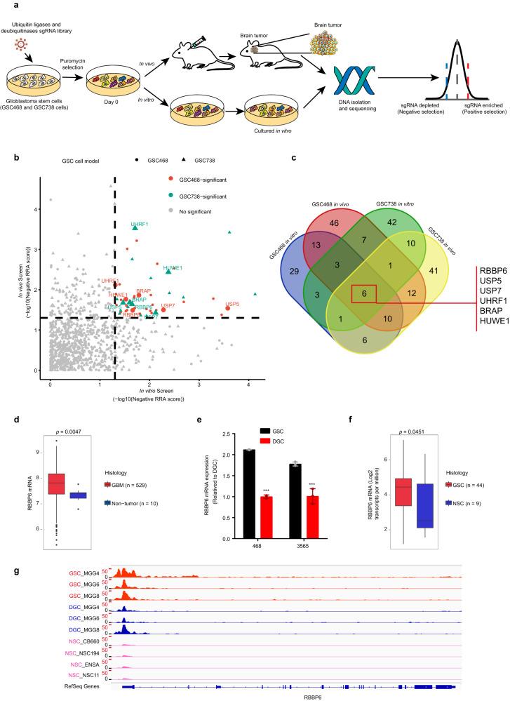
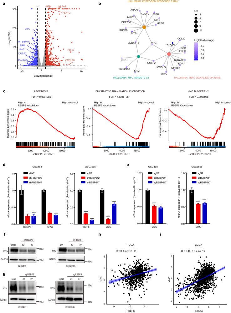
Glioblastoma is one of the most lethal malignant cancers, displaying striking intratumor heterogeneity, with glioblastoma stem cells (GSCs) contributing to tumorigenesis and therapeutic resistance. Pharmacologic modulators of ubiquitin ligases and deubiquitinases are under development for cancer and other diseases. Here, we performed parallel in vitro and in vivo CRISPR/Cas9 knockout screens targeting human ubiquitin E3 ligases and deubiquitinases, revealing the E3 ligase RBBP6 as an essential factor for GSC maintenance. Targeting RBBP6 inhibited GSC proliferation and tumor initiation. Mechanistically, RBBP6 mediated K63-linked ubiquitination of Cleavage and Polyadenylation Specific Factor 3 (CPSF3), which stabilized CPSF3 to regulate alternative polyadenylation events. RBBP6 depletion induced shortening of the 3'UTRs of MYC competing-endogenous RNAs to release miR-590-3p from shortened UTRs, thereby decreasing MYC expression. Targeting CPSF3 with a small molecular inhibitor (JTE-607) reduces GSC viability and inhibits in vivo tumor growth. Collectively, RBBP6 maintains high MYC expression in GSCs through regulation of CPSF3-dependent alternative polyadenylation, providing a potential therapeutic paradigm for glioblastoma.

摘要

胶质母细胞瘤是最致命的恶性肿瘤之一,具有显著的肿瘤内异质性,胶质母细胞瘤干细胞(GSCs)导致肿瘤发生和治疗抗性。泛素连接酶和去泛素化酶的药理调节剂正在针对癌症和其他疾病进行研发。在此,我们针对人类泛素E3连接酶和去泛素化酶进行了平行的体外和体内CRISPR/Cas9敲除筛选,揭示E3连接酶RBBP6是GSC维持的关键因子。靶向RBBP6可抑制GSC增殖和肿瘤起始。从机制上讲,RBBP6介导切割和聚腺苷酸化特异性因子3(CPSF3)的K63连接的泛素化,从而稳定CPSF3以调节可变聚腺苷酸化事件。RBBP6缺失诱导MYC竞争性内源性RNA的3'UTR缩短,从而从缩短的UTR释放miR-590-3p,进而降低MYC表达。用小分子抑制剂(JTE-607)靶向CPSF3可降低GSC活力并抑制体内肿瘤生长。总之,RBBP6通过调节CPSF3依赖性可变聚腺苷酸化维持GSCs中MYC的高表达,为胶质母细胞瘤提供了一种潜在的治疗模式。

https://cdn.ncbi.nlm.nih.gov/pmc/blobs/be5b/10951364/fb3ef757b5fc/41421_2024_654_Fig1_HTML.jpg

文献AI研究员

20分钟写一篇综述,助力文献阅读效率提升50倍。

立即体验

用中文搜PubMed

大模型驱动的PubMed中文搜索引擎

马上搜索

文档翻译

学术文献翻译模型,支持多种主流文档格式。

立即体验