Suppr超能文献

口蹄疫病毒 VP1 通过自噬降解 YTHDF2 来调节 IRF3 活性以促进病毒复制。

Foot-and-mouth disease virus VP1 degrades YTHDF2 through autophagy to regulate IRF3 activity for viral replication.

机构信息

State Key Laboratory for Animal Disease Control and Prevention, College of Veterinary Medicine, Lanzhou University, Lanzhou Veterinary Research Institute, Chinese Academy of Agricultural Sciences, Lanzhou, China.

出版信息

Autophagy. 2024 Jul;20(7):1597-1615. doi: 10.1080/15548627.2024.2330105. Epub 2024 Mar 22.

Abstract

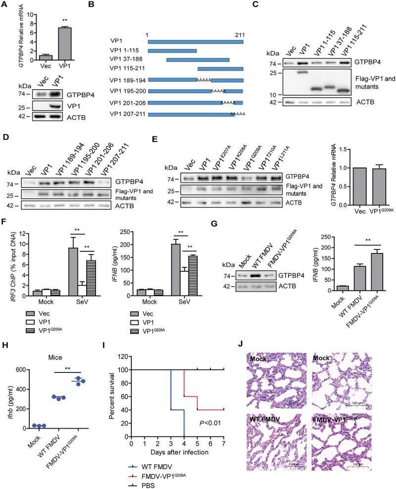
Many viruses, including foot-and-mouth disease virus (FMDV), can promote the degradation of host proteins through macroautophagy/autophagy, thereby promoting viral replication. However, the regulatory mechanism between autophagy and innate immune responses is not fully understood during FMDV infection. Here, we found that the host GTPBP4/NOG1 (GTP binding protein 4) is a negative regulator of innate immune responses. GTPBP4 deficiency promotes the antiviral innate immune response, resulting in the ability of GTPBP4 to promote FMDV replication. Meanwhile, GTPBP4-deficient mice are more resistant to FMDV infection. To antagonize the host's antiviral immunity, FMDV structural protein VP1 promotes the expression of GTPBP4, and the 209th site of VP1 is responsible for this effect. Mechanically, FMDV VP1 promotes autophagy during virus infection and interacts with and degrades YTHDF2 (YTH N6-methyladenosine RNA binding protein F2) in an AKT-MTOR-dependent autophagy pathway, resulting in an increase in mRNA and protein levels. Increased GTPBP4 inhibits IRF3 binding to the promoter, suppressing FMDV-induced type I interferon production. In conclusion, our study revealed an underlying mechanism of how VP1 negatively regulates innate immunity through the autophagy pathway, which would contribute to understanding the negative regulation of host innate immune responses and the function of GTPBP4 and YTHDF2 during FMDV infection. 3-MA:3-methyladenine; ACTB: actin beta; ATG: autophagy related; ChIP:chromatin immunoprecipitation; CQ: chloroquine; DAPI:4',6-diamidino-2-phenylindole; dpi: days post-infection; EV71:enterovirus 71; FMDV: foot-and-mouth disease virus; GTPBP4/NOG1: GTPbinding protein 4; HIF1A: hypoxia inducible factor 1 subunit alpha;hpt:hours post-transfection; IFNB/IFN-β:interferon beta; IRF3: interferon regulatory factor 3; MAP1LC3/LC3:microtubule associated protein 1 light chain 3; MAVS: mitochondriaantiviral signaling protein; MOI: multiplicity of infection; MTOR:mechanistic target of rapamycin kinase; m6A: N(6)-methyladenosine;qPCR:quantitativePCR; SIRT3:sirtuin 3; SQSTM1/p62: sequestosome 1; STING1: stimulator ofinterferon response cGAMP interactor 1; siRNA: small interfering RNA;TBK1: TANK binding kinase 1; TCID:50% tissue culture infectious doses; ULK1: unc-51 like autophagyactivating kinase 1; UTR: untranslated region; WT: wild type; YTHDF2:YTH N6-methyladenosine RNA binding protein F2.

摘要

许多病毒,包括口蹄疫病毒(FMDV),可以通过巨自噬/自噬促进宿主蛋白的降解,从而促进病毒复制。然而,FMDV 感染过程中自噬与先天免疫反应之间的调节机制尚不完全清楚。在这里,我们发现宿主 GTPBP4/NOG1(GTP 结合蛋白 4)是先天免疫反应的负调节剂。GTPBP4 缺乏促进抗病毒先天免疫反应,导致 GTPBP4 促进 FMDV 复制。同时,GTPBP4 缺陷小鼠对 FMDV 感染的抵抗力更强。为了拮抗宿主的抗病毒免疫,FMDV 结构蛋白 VP1 促进 GTPBP4 的表达,VP1 的 209 位负责此效应。在机制上,FMDV VP1 在病毒感染过程中促进自噬,并通过 AKT-MTOR 依赖性自噬途径与 YTHDF2(YTH N6-甲基腺苷 RNA 结合蛋白 F2)相互作用并降解,导致 mRNA 和蛋白水平增加。增加的 GTPBP4 抑制 IRF3 与 启动子结合,抑制 FMDV 诱导的 I 型干扰素产生。总之,我们的研究揭示了 VP1 通过自噬途径如何负调控先天免疫的潜在机制,这将有助于理解宿主先天免疫反应的负调控以及 GTPBP4 和 YTHDF2 在 FMDV 感染过程中的功能。3-MA:3-甲基腺嘌呤;ACTB:肌动蛋白 β;ATG:自噬相关;ChIP:染色质免疫沉淀;CQ:氯喹;DAPI:4',6-二脒基-2-苯基吲哚;dpi:感染后天数;EV71:肠道病毒 71;FMDV:口蹄疫病毒;GTPBP4/NOG1:GTP 结合蛋白 4;HIF1A:缺氧诱导因子 1 亚单位 α;hpt:转染后小时;IFNB/IFN-β:干扰素β;IRF3:干扰素调节因子 3;MAP1LC3/LC3:微管相关蛋白 1 轻链 3;MAVS:线粒体抗病毒信号蛋白;MOI:感染复数;MTOR:雷帕霉素机制靶标激酶;m6A:N(6)-甲基腺苷;qPCR:定量 PCR;SIRT3:sirtuin 3;SQSTM1/p62:自噬体 1;STING1:干扰素反应 cGAMP 相互作用因子 1;siRNA:小干扰 RNA;TBK1:TANK 结合激酶 1;TCID50:50%组织培养感染剂量;ULK1:UNC-51 样自噬激活激酶 1;UTR:非翻译区;WT:野生型;YTHDF2:YTH N6-甲基腺苷 RNA 结合蛋白 F2。

https://cdn.ncbi.nlm.nih.gov/pmc/blobs/e278/11210904/ec5dd5bfe976/KAUP_A_2330105_F0001_B.jpg

文献AI研究员

20分钟写一篇综述,助力文献阅读效率提升50倍。

立即体验

用中文搜PubMed

大模型驱动的PubMed中文搜索引擎

马上搜索

文档翻译

学术文献翻译模型,支持多种主流文档格式。

立即体验