Suppr超能文献

纹身:风险与并发症,临床与组织病理学方法。

Tattoos: risks and complications, clinical and histopathological approach.

机构信息

Department of Dermatology, School of Medicine, University of Antioquia, Medellín, Colombia.

Department of Pathology, School of Medicine, University of Antioquia, Medellín, Colombia.

出版信息

An Bras Dermatol. 2024 Jul-Aug;99(4):491-502. doi: 10.1016/j.abd.2023.07.004. Epub 2024 Mar 22.

Abstract

BACKGROUND

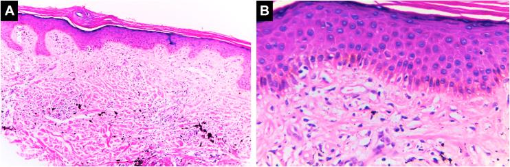
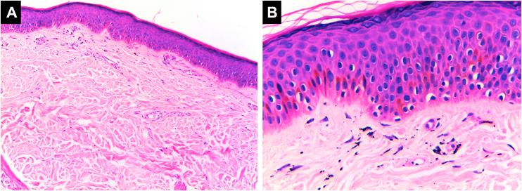
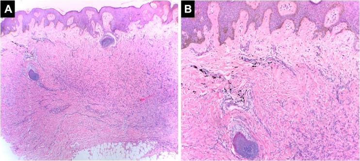
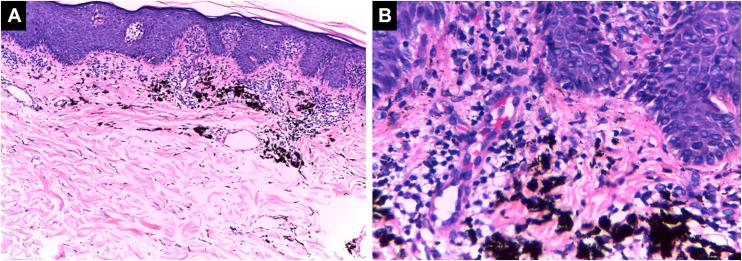
Skin modification through tattoos is as old as humanity itself. However, this trend is on the rise, and with the use of different types of pigments and application practices, both cutaneous and systemic complications can arise. Adverse reactions can be grouped into five classes: inflammatory, infectious, neoplastic, aesthetic, and miscellaneous. On histopathology, inflammatory reactions can exhibit a lichenoid pattern or present as spongiotic dermatitis, granulomatous reactions, pseudolymphoma, pseudoepitheliomatous hyperplasia, or scleroderma/morphea-like changes. This article reviews tattoo complications, including their clinical and histopathological characteristics.

METHODS

An open search was conducted on PubMed using the terms "tattoo", "complications", and "skin". No limits were set for period, language, or publication type of the articles.

RESULTS

Reactions to tattoos are reported in up to 67% of people who get tattooed, with papulonodular and granulomatous reactions being the most common. Some neoplastic complications have been described, but their causality is still debated. Any pigment can cause adverse reactions, although red ink is more frequently associated with them. Patients with pre-existing dermatoses may experience exacerbation or complications of their diseases when getting tattoos; therefore, this procedure is not recommended for this patient group.

CONCLUSIONS

Dermatological consultation is recommended before getting a tattoo, as well as a histopathological examination in case of complications. In patients who develop cutaneous inflammatory reactions following tattooing, additional studies are recommended to investigate systemic diseases such as sarcoidosis, pyoderma gangrenosum, atopic dermatitis, and neoplasms. It is important for physicians to be trained in providing appropriate care in case of complications.

摘要

背景

皮肤纹身的历史与人类本身一样悠久。然而,这种趋势正在上升,随着不同类型的颜料和应用实践的使用,可能会出现皮肤和全身并发症。不良反应可分为五类:炎症、感染、肿瘤、美容和杂类。在组织病理学上,炎症反应可表现为苔藓样模式或呈海绵状皮炎、肉芽肿反应、假性淋巴瘤、假上皮瘤样增生或硬皮病/硬斑病样改变。本文综述了纹身并发症,包括其临床和组织病理学特征。

方法

在 PubMed 上使用“纹身”、“并发症”和“皮肤”等术语进行开放式搜索。对文章的时间段、语言或出版类型没有限制。

结果

高达 67%的纹身者会出现纹身反应,其中丘疹结节和肉芽肿反应最为常见。已经描述了一些肿瘤性并发症,但它们的因果关系仍存在争议。任何颜料都可能引起不良反应,尽管红色墨水与它们的相关性更高。患有预先存在的皮肤病的患者在接受纹身时可能会出现疾病恶化或并发症;因此,不建议该患者群体进行此程序。

结论

建议在纹身前进行皮肤科咨询,并在出现并发症时进行组织病理学检查。对于在纹身后出现皮肤炎症反应的患者,建议进行其他研究以调查如结节病、坏疽性脓皮病、特应性皮炎和肿瘤等系统性疾病。医生接受培训以提供并发症的适当护理非常重要。

https://cdn.ncbi.nlm.nih.gov/pmc/blobs/ad3f/11221160/d3367b5749e6/gr1.jpg

文献AI研究员

20分钟写一篇综述,助力文献阅读效率提升50倍。

立即体验

用中文搜PubMed

大模型驱动的PubMed中文搜索引擎

马上搜索

文档翻译

学术文献翻译模型,支持多种主流文档格式。

立即体验