Suppr超能文献

乳牙和恒牙的牙内陷——一种叙述性综述。

Infraocclusion in the Primary and Permanent Dentition-A Narrative Review.

机构信息

Division of Oral Surgery, Faculty of Medicine, Medical University of Gdańsk, 7 Dębinki Street, 80-211 Gdańsk, Poland.

Department of Pediatric Dentistry, Faculty of Medicine, Medical University of Gdańsk, 18 Orzeszkowa Street, 80-204 Gdańsk, Poland.

出版信息

Medicina (Kaunas). 2024 Mar 1;60(3):423. doi: 10.3390/medicina60030423.

Abstract

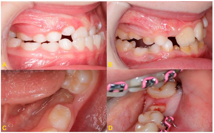
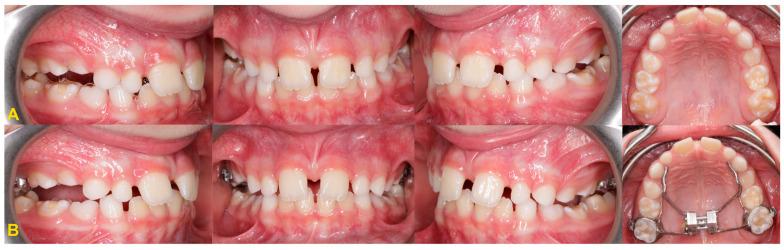
The gradual movement of a tooth away from the occlusal plane is called infraocclusion or reinclusion. Reincluded teeth are most often deciduous molars, and permanent teeth are less frequently affected. Depending on the level of the infraocclusion, the severity of the disorder is classified as mild, moderate, or severe. The etiology of the phenomenon is not fully known. Tooth submerging can lead to serious complications, such as abnormal position of adjacent teeth, displacement of the bud of the permanent successor, shortening of the dental arch, or developmental disturbances of alveolar process. Early diagnosis of the tooth infraocclusion and regular monitoring of its progression help to avoid serious permanent sequelae. The treatment of reinclusion often involves only observation. However, in some cases, the therapeutic procedure requires interdisciplinary treatment by specialists from various fields of dentistry. This study presents current methods of diagnosis and treatment of patients with submerged teeth.

摘要

牙齿逐渐离开咬合平面的运动称为低位咬合或再嵌入。再嵌入的牙齿多为乳牙,恒牙则较少受到影响。根据低位咬合的程度,疾病的严重程度分为轻度、中度和重度。该现象的病因尚未完全清楚。牙齿埋没可导致严重并发症,如邻牙位置异常、恒牙胚萌出受阻、牙弓缩短或牙槽骨发育障碍。早期诊断牙齿低位咬合并定期监测其进展有助于避免严重的永久性后遗症。再嵌入的治疗通常仅涉及观察。然而,在某些情况下,治疗过程需要由来自不同牙科领域的专家进行跨学科治疗。本研究介绍了目前诊断和治疗埋藏牙患者的方法。

https://cdn.ncbi.nlm.nih.gov/pmc/blobs/61a0/10972354/b80d86f870ee/medicina-60-00423-g001.jpg

文献AI研究员

20分钟写一篇综述,助力文献阅读效率提升50倍。

立即体验

用中文搜PubMed

大模型驱动的PubMed中文搜索引擎

马上搜索

文档翻译

学术文献翻译模型,支持多种主流文档格式。

立即体验