Suppr超能文献

提取物对慢性酒精诱导的 C57BL/6 小鼠脂肪肝和肝炎症的保护作用。

Hepatoprotective Effect of Extracts on Chronic Alcohol-Induced Fatty Liver and Hepatic Inflammation in C57BL/6 Mice.

机构信息

Division of Applied Life Science (BK21), Institute of Agriculture and Life Science, Gyeongsang National University, Jinju 52828, Republic of Korea.

Forest Research Department, Gyeongsangnam-do Forest Environment Research Institute, Jinju 52615, Republic of Korea.

出版信息

Int J Mol Sci. 2024 Mar 20;25(6):3496. doi: 10.3390/ijms25063496.

Abstract

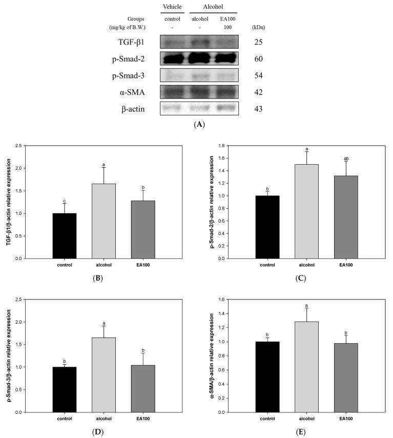
This study was performed to investigate the protective effects of on fatty liver and hepatitis in chronic alcohol-induced hepatotoxicity. The physiological compounds of a mixture of aqueous and 60% ethanol (2:8, /) extracts of (EA) were identified as kestose, raffinose, kaempferol and quercetin glucoside, and kaempferol di-glucoside by UPLC Q-TOF MS. The EA regulated the levels of lipid metabolism-related biomarkers such as total cholesterol, triglyceride, low-density lipoprotein (LDL), and high-density lipoprotein (HDL)-cholesterol in serum. Also, EA ameliorated the levels of liver toxicity-related biomarkers such as glutamic oxaloacetic transaminase (GOT), glutamic pyruvic transaminase (GPT), and total bilirubin in serum. EA improved the antioxidant system by reducing malondialdehyde contents and increasing superoxide dismutase (SOD) levels and reduced glutathione content. EA improved the alcohol metabolizing enzymes such as alcohol dehydrogenase, acetaldehyde dehydrogenase, and cytochrome P450 2E1 (CYP2E1). Treatment with EA alleviated lipid accumulation-related protein expression by improving phosphorylation of AMP-activated protein kinase (p-AMPK) expression levels. Especially, EA reduced inflammatory response by regulating the toll-like receptor-4/nuclear factor kappa-light-chain-enhancer of activated B cells (TLR-4/NF-κB) signaling pathway. EA showed an anti-apoptotic effect by regulating the expression levels of B-cell lymphoma 2 (BCl-2), BCl-2-associated X protein (BAX), and caspase 3. Treatment with EA also ameliorated liver fibrosis via inhibition of transforming growth factor-beta 1/suppressor of mothers against decapentaplegic (TGF-β1/Smad) pathway and alpha-smooth muscle actin (α-SMA). Therefore, these results suggest that EA might be a potential prophylactic agent for the treatment of alcoholic liver disease.

摘要

本研究旨在探讨 对慢性酒精诱导肝毒性中脂肪肝和肝炎的保护作用。通过 UPLC Q-TOF MS 鉴定 (EA)的水相和 60%乙醇(2:8,/)混合物提取物的生理化合物为棉子糖、棉子三糖、山柰酚和槲皮素葡萄糖苷以及山奈酚二葡萄糖苷。EA 调节了血清中脂质代谢相关生物标志物的水平,如总胆固醇、甘油三酯、低密度脂蛋白(LDL)和高密度脂蛋白(HDL)-胆固醇。此外,EA 改善了血清中与肝毒性相关的生物标志物的水平,如谷氨酸草酰乙酸转氨酶(GOT)、谷氨酸丙酮酸转氨酶(GPT)和总胆红素。EA 通过降低丙二醛含量、增加超氧化物歧化酶(SOD)水平和还原型谷胱甘肽含量来改善抗氧化系统。EA 改善了酒精代谢酶,如乙醇脱氢酶、乙醛脱氢酶和细胞色素 P450 2E1(CYP2E1)。EA 通过改善 AMP 激活蛋白激酶(p-AMPK)表达水平来改善与脂质积累相关的蛋白表达,从而减轻肝损伤。特别是,EA 通过调节 Toll 样受体 4/核因子 kappa-轻链增强子的 B 细胞(TLR-4/NF-κB)信号通路来调节炎症反应。EA 通过调节 B 细胞淋巴瘤 2(BCl-2)、BCl-2 相关 X 蛋白(BAX)和半胱天冬酶 3 的表达水平来发挥抗凋亡作用。EA 还通过抑制转化生长因子-β 1/抑制素对 decapentaplegic(TGF-β1/Smad)途径和α-平滑肌肌动蛋白(α-SMA)来改善肝纤维化。因此,这些结果表明,EA 可能是治疗酒精性肝病的潜在预防剂。

https://cdn.ncbi.nlm.nih.gov/pmc/blobs/939e/10970900/03905b96d652/ijms-25-03496-g001a.jpg

文献AI研究员

20分钟写一篇综述,助力文献阅读效率提升50倍。

立即体验

用中文搜PubMed

大模型驱动的PubMed中文搜索引擎

马上搜索

文档翻译

学术文献翻译模型,支持多种主流文档格式。

立即体验