Suppr超能文献

传染性支气管炎病毒马萨诸塞、加拿大 4/91 和加利福尼亚(Cal)1737 基因型感染对鸡淋巴器官的差异影响。

Differential Impact of Massachusetts, Canadian 4/91, and California (Cal) 1737 Genotypes of Infectious Bronchitis Virus Infection on Lymphoid Organs of Chickens.

机构信息

Faculty of Veterinary Medicine, University of Calgary, Health Research Innovation Center 2C53, 3330 Hospital Drive NW, Calgary, AB T2N 4N1, Canada.

Department of Pathology, Faculty of Veterinary Medicine, Cairo University, Giza 12211, Egypt.

出版信息

Viruses. 2024 Feb 21;16(3):326. doi: 10.3390/v16030326.

Abstract

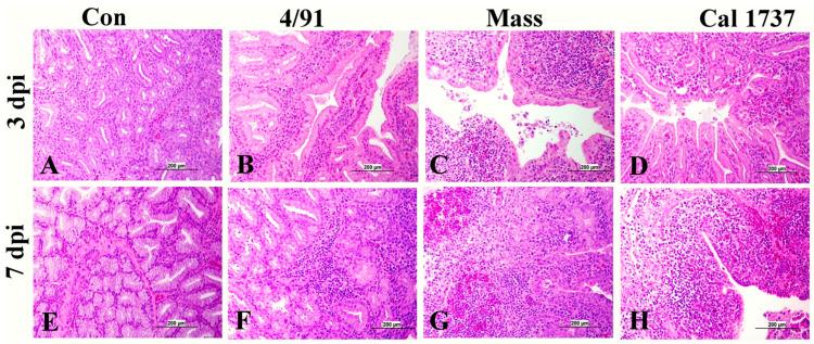
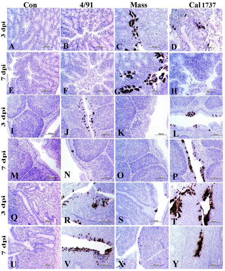
Infectious bronchitis virus (IBV) induces severe economic losses in chicken farms due to the emergence of new variants leading to vaccine breaks. The studied IBV strains belong to Massachusetts (Mass), Canadian 4/91, and California (Cal) 1737 genotypes that are prevalent globally. This study was designed to compare the impact of these three IBV genotypes on primary and secondary lymphoid organs. For this purpose, one-week-old specific pathogen-free chickens were inoculated with Mass, Canadian 4/91, or Cal 1737 IBV variants, keeping a mock-infected control. We examined the IBV replication in primary and secondary lymphoid organs. The molecular, histopathological, and immunohistochemical examinations revealed significant differences in lesion scores and viral distribution in these immune organs. In addition, we observed B-cell depletion in the bursa of Fabricius and the spleen with a significant elevation of T cells in these organs. Further studies are required to determine the functional consequences of IBV replication in lymphoid organs.

摘要

传染性支气管炎病毒(IBV)会不断产生新的变异株,导致疫苗失效,从而给养鸡场造成严重的经济损失。本研究中分析的 IBV 株属于马萨诸塞(Mass)、加拿大 4/91 和加利福尼亚(Cal)1737 基因型,这些基因型在全球广泛流行。本研究旨在比较这三种 IBV 基因型对初级和次级淋巴器官的影响。为此,将 1 周龄无特定病原体鸡用 Mass、加拿大 4/91 或 Cal 1737 IBV 变体接种,同时设立 mock 感染对照。我们检测了 IBV 在初级和次级淋巴器官中的复制情况。分子、组织病理学和免疫组织化学检查显示,这些免疫器官的病变评分和病毒分布存在显著差异。此外,我们观察到法氏囊和脾脏中的 B 细胞耗竭,同时这些器官中的 T 细胞显著增加。需要进一步研究来确定 IBV 在淋巴器官中复制的功能后果。

https://cdn.ncbi.nlm.nih.gov/pmc/blobs/9ede/10974418/1377f4859fd2/viruses-16-00326-g001.jpg

文献AI研究员

20分钟写一篇综述,助力文献阅读效率提升50倍。

立即体验

用中文搜PubMed

大模型驱动的PubMed中文搜索引擎

马上搜索

文档翻译

学术文献翻译模型,支持多种主流文档格式。

立即体验