Suppr超能文献

PGC1α 诱导的衰老表型纳米治疗剂,通过过表达 NKG2D 的细胞膜进行功能化,用于治疗椎间盘退变。

PGC1α-Inducing Senomorphic Nanotherapeutics Functionalized with NKG2D-Overexpressing Cell Membranes for Intervertebral Disc Degeneration.

机构信息

Department of Orthopedics, Union Hospital, Tongji Medical College, Huazhong University of Science and Technology, Wuhan, 430022, China.

The Second Hospital of Shandong University, Cheeloo College of Medicine, Shandong University, Jinan, 250033, China.

出版信息

Adv Sci (Weinh). 2024 Jun;11(22):e2400749. doi: 10.1002/advs.202400749. Epub 2024 Mar 30.

Abstract

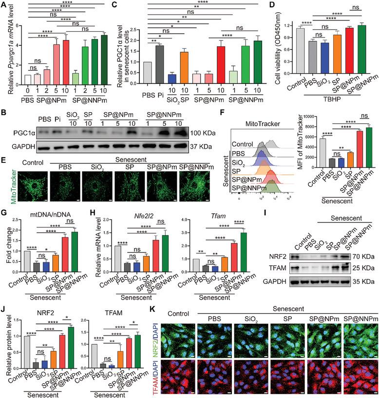
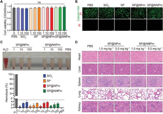
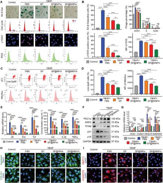
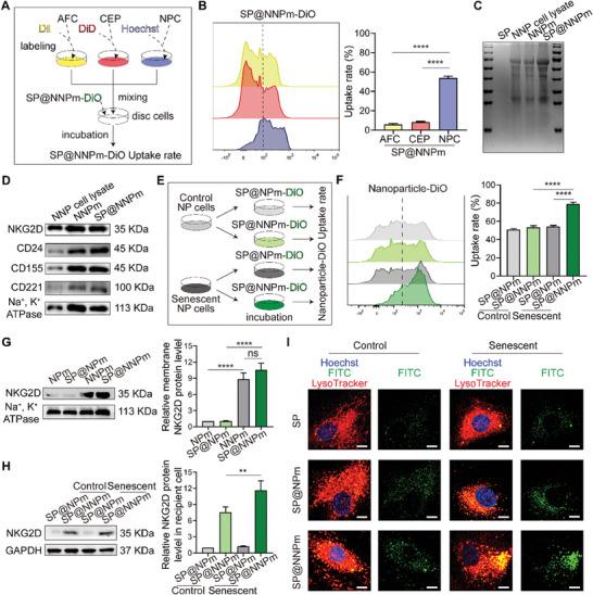
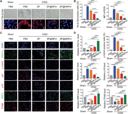
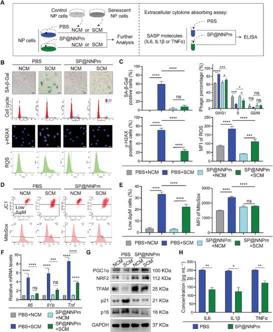
Cellular senescence is a significant contributor to intervertebral disc aging and degeneration. However, the application of senotherapies, such as senomorphics targeting senescence markers and the senescence-associated secretory phenotype (SASP), remains limited due to challenges in precise delivery. Given that the natural killer group 2D (NKG2D) ligands are increased on the surface of senescent nucleus pulposus (NP) cells, the NKG2D-overexpressing NP cell membranes (NNPm) are constructed, which is expected to achieve a dual targeting effect toward senescent NP cells based on homologous membrane fusion and the NKG2D-mediated immunosurveillance mechanism. Then, mesoporous silica nanoparticles carrying a peroxisome proliferator-activated receptor-ɣ coactivator 1α (PGC1α)inducer (SP) are coated with NNPm (SP@NNPm) and it is found that SP@NNPm selectively targets senescent NP cells, and the SP cores exhibit pH-responsive drug release. Moreover, SP@NNPm effectively induces PGC1α-mediated mitochondrial biogenesis and mitigates senescence-associated markers induced by oxidative stress and the SASP, thereby alleviating puncture-induced senescence and disc degeneration. This dual-targeting nanotherapeutic system represents a novel approach to delivery senomorphics for disc degeneration treatment.

摘要

细胞衰老(cellular senescence)是椎间盘(intervertebral disc)老化和退变的重要原因。然而,由于精确递送的挑战,衰老疗法(如针对衰老标志物和衰老相关分泌表型(SASP)的衰老模拟物)的应用仍然有限。鉴于自然杀伤细胞 2 组 D 型(NKG2D)配体在衰老的髓核(nucleus pulposus,NP)细胞表面增加,构建了过表达 NKG2D 的 NP 细胞膜(NNPm),预计基于同源膜融合和 NKG2D 介导的免疫监视机制,对衰老的 NP 细胞实现双重靶向作用。然后,用过氧化物酶体增殖物激活受体-γ共激活物 1α(PGC1α)诱导剂(SP)包被的介孔硅纳米颗粒(mesoporous silica nanoparticles)被 NNPm(SP@NNPm)包被,发现 SP@NNPm 选择性地靶向衰老的 NP 细胞,并且 SP 核表现出 pH 响应性药物释放。此外,SP@NNPm 有效诱导 PGC1α 介导的线粒体生物发生,并减轻氧化应激和 SASP 诱导的衰老相关标志物,从而缓解穿刺诱导的衰老和椎间盘退变。这种双重靶向纳米治疗系统代表了一种用于治疗椎间盘退变的新型递送衰老模拟物的方法。

https://cdn.ncbi.nlm.nih.gov/pmc/blobs/94a5/11165536/e7aee96742ce/ADVS-11-2400749-g007.jpg

文献AI研究员

20分钟写一篇综述,助力文献阅读效率提升50倍。

立即体验

用中文搜PubMed

大模型驱动的PubMed中文搜索引擎

马上搜索

文档翻译

学术文献翻译模型,支持多种主流文档格式。

立即体验