Suppr超能文献

免疫放射疗法治疗晚期未分化宫颈癌,恢复了对化疗的敏感性并导致癌症消失。

Immunoradiation Therapy for End-Stage Undifferentiated Cervical Cancer That Restored Sensitivity to Chemotherapy and Resulted in the Disappearance of the Cancer.

作者信息

Nagai Hisashi

机构信息

Human and Environmental Studies, Tokai University, Kanagawa, JPN.

Oncology, Ginza Phoenix Clinic, Tokyo, JPN.

出版信息

Cureus. 2024 Mar 28;16(3):e57144. doi: 10.7759/cureus.57144. eCollection 2024 Mar.

Abstract

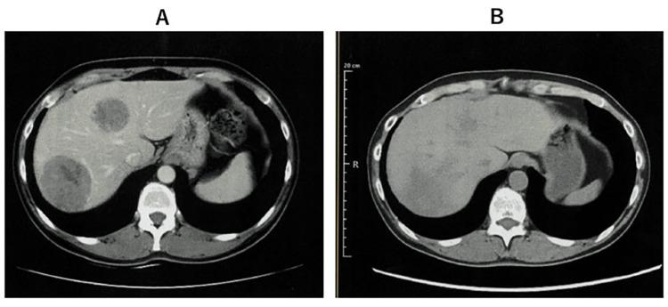
Among cervical cancers, small cell undifferentiated carcinoma is rare. Because of its rapid progression, the prognosis is extremely poor. During the course of cisplatin-based chemotherapy for stage Ⅳ small cell undifferentiated carcinoma of the cervix, the patient developed drug resistance, and standard treatment was no longer feasible. Therefore, immunoradiotherapy was administered to activate anticancer immunity. Surprisingly, the cancer drug sensitivity was restored, and cisplatin was again successful, and the cancer disappeared. In addition, the activation of cancer-specific immunity maintained the disappearance of the cancer. It should be noted that immunoradiotherapy not only increases anti-cancer immunity but may also contribute to overcoming cancer drug resistance.

摘要

在宫颈癌中,小细胞未分化癌较为罕见。由于其进展迅速,预后极差。在对一名Ⅳ期宫颈小细胞未分化癌患者进行以顺铂为基础的化疗过程中,患者出现了耐药性,标准治疗不再可行。因此,给予免疫放疗以激活抗癌免疫。令人惊讶的是,癌症药物敏感性得以恢复,顺铂再次取得成功,癌症消失。此外,癌症特异性免疫的激活维持了癌症的消失。应当注意的是,免疫放疗不仅能增强抗癌免疫,还可能有助于克服癌症耐药性。

https://cdn.ncbi.nlm.nih.gov/pmc/blobs/0ff6/10978461/3c5b5816ce34/cureus-0016-00000057144-i01.jpg

相似文献

6
Recent Advances in the Management of Small Cell Carcinoma of the Uterine Cervix.
Anticancer Res. 2023 Apr;43(4):1397-1405. doi: 10.21873/anticanres.16288.
7
Neuroendocrine carcinoma of the cervix: a systematic review of the literature.
BMC Cancer. 2018 May 4;18(1):530. doi: 10.1186/s12885-018-4447-x.
10
Adjuvant chemotherapy after concurrent chemoradiation for locally advanced cervical cancer.
Cochrane Database Syst Rev. 2014 Dec 3;2014(12):CD010401. doi: 10.1002/14651858.CD010401.pub2.

本文引用的文献

1
High Expression of MHC Class I Overcomes Cancer Immunotherapy Resistance Due to IFNγ Signaling Pathway Defects.
Cancer Immunol Res. 2023 Jul 5;11(7):895-908. doi: 10.1158/2326-6066.CIR-22-0815.
2
Radiotherapy, immunotherapy, and the tumour microenvironment: Turning an immunosuppressive milieu into a therapeutic opportunity.
Cancer Lett. 2021 Apr 1;502:84-96. doi: 10.1016/j.canlet.2020.12.045. Epub 2021 Jan 12.
4
Using immunotherapy to boost the abscopal effect.
Nat Rev Cancer. 2018 May;18(5):313-322. doi: 10.1038/nrc.2018.6. Epub 2018 Feb 16.
5
The DNA damage response: implications for tumor responses to radiation and chemotherapy.
Annu Rev Med. 2015;66:129-43. doi: 10.1146/annurev-med-081313-121208. Epub 2014 Nov 24.
6
WT1 (Wilms' tumor gene 1): biology and cancer immunotherapy.
Jpn J Clin Oncol. 2010 May;40(5):377-87. doi: 10.1093/jjco/hyp194. Epub 2010 Apr 15.
8
Small cell undifferentiated (neuroendocrine) carcinoma of the uterine cervix.
J Am Coll Surg. 2003 Jul;197(1):44-51. doi: 10.1016/S1072-7515(03)00120-0.
9
The role of C-reactive protein as a prognostic indicator in advanced cancer.
Curr Oncol Rep. 2002 May;4(3):250-5. doi: 10.1007/s11912-002-0023-1.

文献AI研究员

20分钟写一篇综述,助力文献阅读效率提升50倍。

立即体验

用中文搜PubMed

大模型驱动的PubMed中文搜索引擎

马上搜索

文档翻译

学术文献翻译模型,支持多种主流文档格式。

立即体验