Suppr超能文献

N-myc 下游调节基因 1 可促进尿路上皮癌中的血管生成拟态和血管生成。

N-myc downstream-regulated gene 1 can promote vasculogenic mimicry and angiogenesis in urothelial carcinoma.

机构信息

Pathology Department, Faculty of Medicine, Assiut University, Assiut, Egypt.

Assiut University Urology Hospital,Faculty of Medicine, Assiut University, Assiut, Egypt.

出版信息

Virchows Arch. 2024 May;484(5):827-836. doi: 10.1007/s00428-024-03793-w. Epub 2024 Apr 2.

Abstract

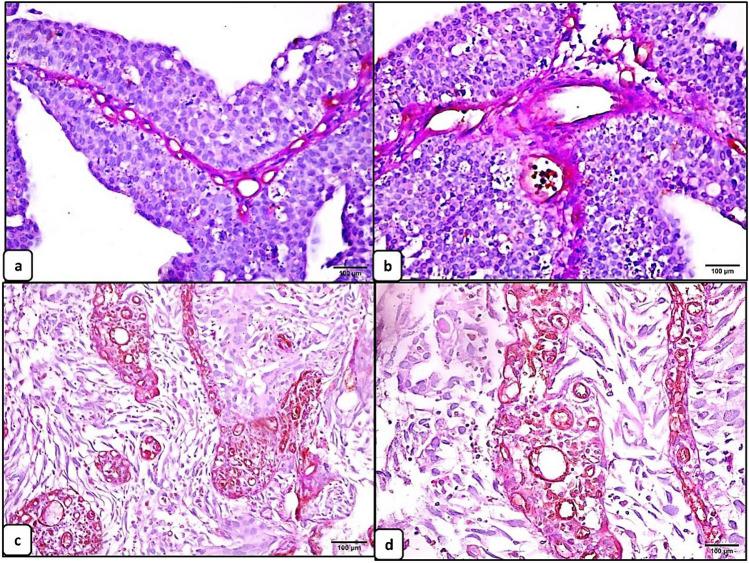
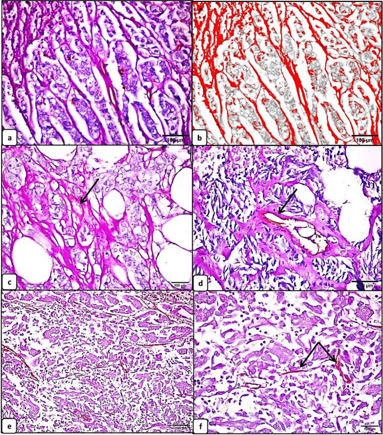
Urothelial carcinoma (UC) of the bladder is a common cause of cancer-related death worldwide. Vasculogenic mimicry (VM) is a process by which the malignant cells can generate vascular-like structures formed of periodic acid-Schiff (PAS) positive/CD31 negative extracellular matrix independent of angiogenesis and thus promotes tumor progression. N-myc downstream-regulated gene 1 (NDRG1) is a protein that can modulate tumor angiogenesis; however, its role in regulating tumor angiogenesis and VM formation has not been previously investigated in UC. This study aims to evaluate the role of intra-tumor microvessel density (MVD) (as a surrogate measure of angiogenesis), VM, and NDRG1 in UC and their correlation with different clinicopathologic features, then assess the correlation between them in UC. Sixty specimens of UC of the bladder were included. PAS-CD31 immunohistochemical double staining method was used to evaluate the intra-tumor MVD and VM. Immunohistochemical expression of NDRG1 was also examined. VM and NDRG1 expression were detected in 41.7% and 83.3% of UC specimens respectively. The mean of intra-tumor MVD, VM area, and NDRG1 was significantly higher in tumors with higher grade, lymphovascular invasion, and higher T stage. NDRG1 expression was positively correlated with MVD and VM. We can suggest that MVD, VM, and NDRG1 may serve as poor prognostic markers for UC. The positive correlation between NDRG1 and both MVD and VM may provide the first evidence that NDRG1 can induce tumor angiogenesis and VM in UC which may offer a novel pathway for further therapeutic strategies.

摘要

膀胱癌的尿路上皮癌 (UC) 是全球癌症相关死亡的常见原因。血管生成拟态 (VM) 是一种恶性细胞可以生成周期性酸-Schiff (PAS) 阳性/CD31 阴性的血管样结构的过程,这种结构独立于血管生成形成,从而促进肿瘤进展。N- myc 下游调节基因 1 (NDRG1) 是一种可以调节肿瘤血管生成的蛋白质;然而,其在调节肿瘤血管生成和 VM 形成中的作用在 UC 中尚未得到研究。本研究旨在评估肿瘤内微血管密度 (MVD)(作为血管生成的替代测量)、VM 和 NDRG1 在 UC 中的作用及其与不同临床病理特征的相关性,然后评估它们在 UC 中的相关性。纳入 60 例膀胱癌 UC 标本。采用 PAS-CD31 免疫组织化学双重染色法评估肿瘤内 MVD 和 VM。还检查了 NDRG1 的免疫组织化学表达。分别在 41.7%和 83.3%的 UC 标本中检测到 VM 和 NDRG1 的表达。在高级别、血管淋巴管侵犯和更高 T 分期的肿瘤中,肿瘤内 MVD、VM 面积和 NDRG1 的平均值明显更高。NDRG1 表达与 MVD 和 VM 呈正相关。我们可以认为 MVD、VM 和 NDRG1 可能是 UC 的不良预后标志物。NDRG1 与 MVD 和 VM 之间的正相关关系可能首次提供证据表明 NDRG1 可以诱导 UC 中的肿瘤血管生成和 VM,这可能为进一步的治疗策略提供新的途径。

https://cdn.ncbi.nlm.nih.gov/pmc/blobs/bfa3/11106159/4396fc4b99c8/428_2024_3793_Fig1_HTML.jpg

文献AI研究员

20分钟写一篇综述,助力文献阅读效率提升50倍。

立即体验

用中文搜PubMed

大模型驱动的PubMed中文搜索引擎

马上搜索

文档翻译

学术文献翻译模型,支持多种主流文档格式。

立即体验