Suppr超能文献

miR-21a-5p 通过靶向 STAT3 信号通路缓解系统性硬化症。

MicroRNA-21a-5p inhibition alleviates systemic sclerosis by targeting STAT3 signaling.

机构信息

The Rheumatism Research Center, Catholic Research Institute of Medical Science, College of Medicine, The Catholic University of Korea, 222 Banpo-Daero, Seocho-gu, Seoul, 06591, South Korea.

Lab of Translational ImmunoMedicine, Catholic Research Institute of Medical Science, College of Medicine, The Catholic University of Korea, 222 Banpo-Daero, Seocho-gu, Seoul, 06591, South Korea.

出版信息

J Transl Med. 2024 Apr 1;22(1):323. doi: 10.1186/s12967-024-05056-3.

Abstract

BACKGROUND

MicroRNA (miRNA)-21-5p participates in various biological processes, including cancer and autoimmune diseases. However, its role in the development of fibrosis in the in vivo model of systemic sclerosis (SSc) has not been reported. This study investigated the effects of miRNA-21a-5p overexpression and inhibition on SSc fibrosis using a bleomycin-induced SSc mouse model.

METHODS

A murine SSc model was induced by subcutaneously injecting 100 μg bleomycin dissolved in 0.9% NaCl into C57BL/6 mice daily for 5 weeks. On days 14, 21, and 28 from the start of bleomycin injection, 100 μg pre-miRNA-21a-5p or anti-miRNA-21a-5p in 1 mL saline was hydrodynamically injected into the mice. Fibrosis analysis was conducted in lung and skin tissues of SSc mice using hematoxylin and eosin as well as Masson's trichrome staining. Immunohistochemistry was used to examine the expression of inflammatory cytokines, phosphorylated signal transducer and activator of transcription-3 (STAT3) at Y705 or S727, and phosphatase and tensin homologue deleted on chromosome-10 (PTEN) in skin tissues of SSc mice.

RESULTS

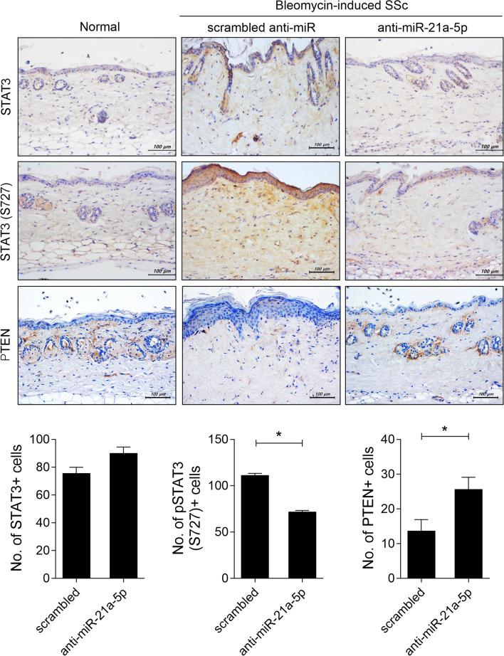
MiRNA-21a-5p overexpression promoted lung fibrosis in bleomycin-induced SSc mice, inducing infiltration of cells expressing TNF-α, IL-1β, IL-6, or IL-17, along with STAT3 phosphorylated cells in the lesional skin. Conversely, anti-miRNA-21a-5p injection improved fibrosis in the lung and skin tissues of SSc mice, reducing the infiltration of cells secreting inflammatory cytokines in the skin tissue. In particular, it decreased STAT3-phosphorylated cell infiltration at Y705 and increased the infiltration of PTEN-expressing cells in the skin tissue of SSc mice.

CONCLUSION

MiRNA-21a-5p promotes fibrosis in an in vivo murine SSc model, suggesting that its inhibition may be a therapeutic strategy for improving fibrosis in SSc.

摘要

背景

微小 RNA(miRNA)-21-5p 参与多种生物学过程,包括癌症和自身免疫性疾病。然而,其在系统性硬皮病(SSc)体内模型纤维化发展中的作用尚未报道。本研究使用博来霉素诱导的 SSc 小鼠模型研究了 miRNA-21a-5p 过表达和抑制对 SSc 纤维化的影响。

方法

通过每天向 C57BL/6 小鼠皮下注射 100μg 溶解在 0.9% NaCl 中的博来霉素,连续 5 周诱导 SSc 小鼠模型。从博来霉素注射开始的第 14、21 和 28 天,将 100μg 前 miRNA-21a-5p 或抗 miRNA-21a-5p 在 1mL 盐水中通过水力注射到小鼠体内。使用苏木精和伊红以及 Masson 三色染色法对 SSc 小鼠的肺和皮肤组织进行纤维化分析。使用免疫组织化学法检测 SSc 小鼠皮肤组织中炎性细胞因子、磷酸化信号转导和转录激活因子 3(STAT3)在 Y705 或 S727 处的表达以及第 10 号染色体缺失的磷酸酶和张力蛋白同源物(PTEN)。

结果

miRNA-21a-5p 过表达促进博来霉素诱导的 SSc 小鼠肺纤维化,诱导 TNF-α、IL-1β、IL-6 或 IL-17 表达细胞以及病变皮肤中 STAT3 磷酸化细胞浸润。相反,抗 miRNA-21a-5p 注射改善了 SSc 小鼠肺和皮肤组织的纤维化,减少了皮肤组织中炎性细胞因子分泌细胞的浸润。特别是,它减少了 SSc 小鼠皮肤组织中 STAT3 磷酸化细胞的浸润,并增加了表达 PTEN 的细胞浸润。

结论

miRNA-21a-5p 促进体内 SSc 小鼠模型纤维化,表明其抑制可能是改善 SSc 纤维化的一种治疗策略。

https://cdn.ncbi.nlm.nih.gov/pmc/blobs/07b1/10983659/a1129a88871d/12967_2024_5056_Fig1_HTML.jpg

文献AI研究员

20分钟写一篇综述,助力文献阅读效率提升50倍。

立即体验

用中文搜PubMed

大模型驱动的PubMed中文搜索引擎

马上搜索

文档翻译

学术文献翻译模型,支持多种主流文档格式。

立即体验