Suppr超能文献

睾丸表皮样囊肿:三例报告。

Epidermoid cyst of the testis: A report of three cases.

作者信息

Usui Kimitsugu, Yamashita Ryo, Sakura Yuma, Nakamura Masafumi, Shinsaka Hideo, Matsuzaki Masato, Niwakawa Masashi

机构信息

Division of Urology Shizuoka Cancer Center Shizuoka Japan.

出版信息

Clin Case Rep. 2024 Mar 31;12(4):e8577. doi: 10.1002/ccr3.8577. eCollection 2024 Apr.

Abstract

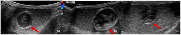
Testicular epidermoid cysts have characteristic findings. Testicular tumor markers are negative in patients with epidermoid cysts. Clear margins and sole and small testicular tumors (20 mm or less) suggest the possibility of epidermoid cyst. Testicular-sparing surgery with intraoperative frozen section examination should be performed when suspecting epidermoid cysts. Testicular epidermoid cysts are rare tumors that account for 1% of all testicular tumors and are often clinically misdiagnosed as malignant lesions. We report three cases of epidermoid cysts. The chief manifestations were scrotal induration in two patients and pruritus scrotum in one. The median age of the patients was 23 years (18-30). All tumors were determined to be sole lesions (<20 mm in diameter). Testing for tumor markers in all patients revealed negative results. We could not rule out malignancy; hence, we performed high inguinal orchiectomy in all cases. Histologically, the inner walls of the cysts were lined with stratified squamous epithelium; their contents were keratinized. All patients were diagnosed with epidermoid cysts.

摘要

睾丸表皮样囊肿有特征性表现。表皮样囊肿患者的睾丸肿瘤标志物为阴性。边界清晰且为单发的小睾丸肿瘤(20毫米或更小)提示表皮样囊肿的可能性。怀疑为表皮样囊肿时,应进行保留睾丸手术并术中进行冰冻切片检查。睾丸表皮样囊肿是罕见肿瘤,占所有睾丸肿瘤的1%,临床上常被误诊为恶性病变。我们报告3例表皮样囊肿病例。主要表现为2例患者阴囊硬结,1例患者阴囊瘙痒。患者的中位年龄为23岁(18 - 30岁)。所有肿瘤均为单发病变(直径<20毫米)。所有患者的肿瘤标志物检测结果均为阴性。我们不能排除恶性肿瘤;因此,所有病例均进行了高位腹股沟睾丸切除术。组织学检查显示,囊肿内壁衬有复层鳞状上皮;其内容物为角质化物质。所有患者均被诊断为表皮样囊肿。

https://cdn.ncbi.nlm.nih.gov/pmc/blobs/751f/10982114/8e78ca6fc29f/CCR3-12-e8577-g002.jpg

文献AI研究员

20分钟写一篇综述,助力文献阅读效率提升50倍。

立即体验

用中文搜PubMed

大模型驱动的PubMed中文搜索引擎

马上搜索

文档翻译

学术文献翻译模型,支持多种主流文档格式。

立即体验