Suppr超能文献

一种共生原生动物通过精氨酸-鸟氨酸代谢和宿主肠道免疫反应来减轻小鼠艰难梭菌发病机制。

A commensal protozoan attenuates Clostridioides difficile pathogenesis in mice via arginine-ornithine metabolism and host intestinal immune response.

机构信息

Xuzhou Key Laboratory of Laboratory Diagnostics, School of Medical Technology, Xuzhou Medical University, Xuzhou, Jiangsu, China.

Xuzhou Center for Disease Control and Prevention, Xuzhou, Jiangsu, China.

出版信息

Nat Commun. 2024 Apr 2;15(1):2842. doi: 10.1038/s41467-024-47075-0.

Abstract

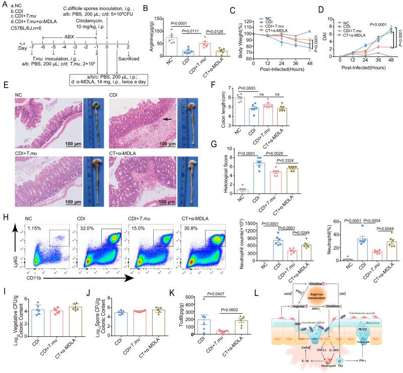
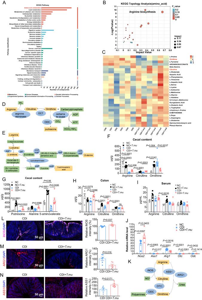
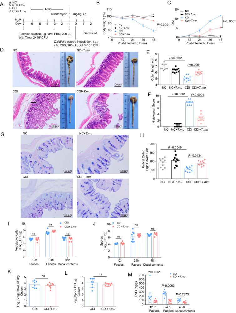
Antibiotic-induced dysbiosis is a major risk factor for Clostridioides difficile infection (CDI), and fecal microbiota transplantation (FMT) is recommended for treating CDI. However, the underlying mechanisms remain unclear. Here, we show that Tritrichomonas musculis (T.mu), an integral member of the mouse gut commensal microbiota, reduces CDI-induced intestinal damage by inhibiting neutrophil recruitment and IL-1β secretion, while promoting Th1 cell differentiation and IFN-γ secretion, which in turn enhances goblet cell production and mucin secretion to protect the intestinal mucosa. T.mu can actively metabolize arginine, not only influencing the host's arginine-ornithine metabolic pathway, but also shaping the metabolic environment for the microbial community in the host's intestinal lumen. This leads to a relatively low ornithine state in the intestinal lumen in C. difficile-infected mice. These changes modulate C. difficile's virulence and the host intestinal immune response, and thus collectively alleviating CDI. These findings strongly suggest interactions between an intestinal commensal eukaryote, a pathogenic bacterium, and the host immune system via inter-related arginine-ornithine metabolism in the regulation of pathogenesis and provide further insights for treating CDI.

摘要

抗生素诱导的菌群失调是艰难梭菌感染(CDI)的一个主要危险因素,粪便微生物群移植(FMT)被推荐用于治疗 CDI。然而,其潜在机制仍不清楚。在这里,我们表明,肌肉滴虫(T.mu)是小鼠肠道共生菌群的一个组成部分,通过抑制中性粒细胞募集和 IL-1β的分泌,从而减少 CDI 引起的肠道损伤,同时促进 Th1 细胞分化和 IFN-γ的分泌,这反过来又增强了杯状细胞的产生和粘蛋白的分泌,以保护肠道黏膜。T.mu 可以主动代谢精氨酸,不仅影响宿主的精氨酸-鸟氨酸代谢途径,而且还塑造宿主肠道腔微生物群落的代谢环境。这导致艰难梭菌感染的小鼠肠道腔中相对较低的鸟氨酸状态。这些变化调节艰难梭菌的毒力和宿主肠道免疫反应,从而共同缓解 CDI。这些发现强烈表明,通过肠道共生真核生物、致病性细菌和宿主免疫系统之间相互关联的精氨酸-鸟氨酸代谢在发病机制的调节中相互作用,并为治疗 CDI 提供了进一步的见解。

https://cdn.ncbi.nlm.nih.gov/pmc/blobs/99a6/10987486/cc18d0bbd436/41467_2024_47075_Fig1_HTML.jpg

文献AI研究员

20分钟写一篇综述,助力文献阅读效率提升50倍。

立即体验

用中文搜PubMed

大模型驱动的PubMed中文搜索引擎

马上搜索

文档翻译

学术文献翻译模型,支持多种主流文档格式。

立即体验