Suppr超能文献

内含子滞留严格调控成年神经发生龛中的干性/分化转换。

Intron detention tightly regulates the stemness/differentiation switch in the adult neurogenic niche.

机构信息

Instituto de Neurociencias (CSIC-UMH), Sant Joan d'Alacant, 03550, Spain.

Department of Gene Therapy and Regulation of Gene Expression, Center for Applied Medical Research, University of Navarra, Pamplona, 31008, Spain.

出版信息

Nat Commun. 2024 Apr 2;15(1):2837. doi: 10.1038/s41467-024-47092-z.

Abstract

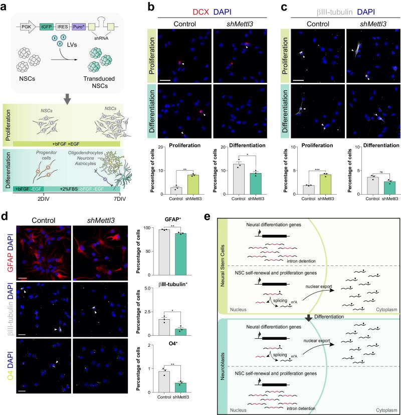
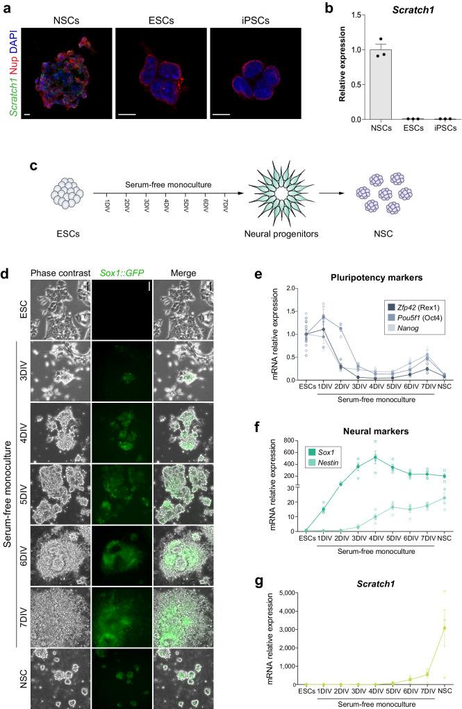
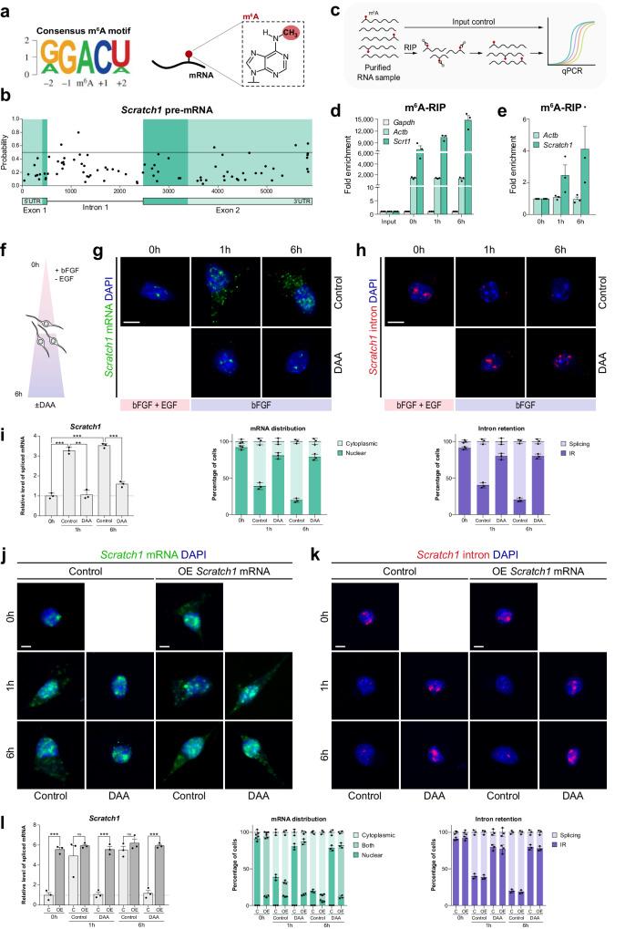
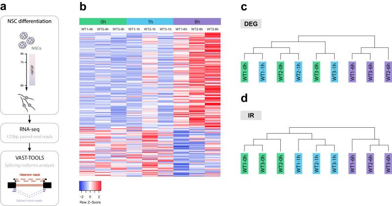
The adult mammalian brain retains some capacity to replenish neurons and glia, holding promise for brain regeneration. Thus, understanding the mechanisms controlling adult neural stem cell (NSC) differentiation is crucial. Paradoxically, adult NSCs in the subependymal zone transcribe genes associated with both multipotency maintenance and neural differentiation, but the mechanism that prevents conflicts in fate decisions due to these opposing transcriptional programmes is unknown. Here we describe intron detention as such control mechanism. In NSCs, while multiple mRNAs from stemness genes are spliced and exported to the cytoplasm, transcripts from differentiation genes remain unspliced and detained in the nucleus, and the opposite is true under neural differentiation conditions. We also show that mA methylation is the mechanism that releases intron detention and triggers nuclear export, enabling rapid and synchronized responses. mA RNA methylation operates as an on/off switch for transcripts with antagonistic functions, tightly controlling the timing of NSCs commitment to differentiation.

摘要

成年哺乳动物大脑保留了一些补充神经元和神经胶质的能力,为大脑再生带来了希望。因此,了解控制成年神经干细胞(NSC)分化的机制至关重要。矛盾的是,室管膜下区的成年 NSCs 转录与多能性维持和神经分化相关的基因,但由于这些相反的转录程序导致命运决策冲突的机制尚不清楚。在这里,我们将内含子滞留描述为这种控制机制。在 NSCs 中,虽然来自干性基因的多个 mRNA 被剪接并输出到细胞质中,但来自分化基因的转录本仍未剪接并滞留在核内,而在神经分化条件下则相反。我们还表明,mA 甲基化是释放内含子滞留并触发核输出的机制,从而能够快速和同步地响应。mA RNA 甲基化作为具有拮抗功能的转录本的开/关开关,可严格控制 NSCs 向分化的分化时机。

https://cdn.ncbi.nlm.nih.gov/pmc/blobs/1f8f/10987655/17f115b3a8ea/41467_2024_47092_Fig1_HTML.jpg

文献AI研究员

20分钟写一篇综述,助力文献阅读效率提升50倍。

立即体验

用中文搜PubMed

大模型驱动的PubMed中文搜索引擎

马上搜索

文档翻译

学术文献翻译模型,支持多种主流文档格式。

立即体验