Suppr超能文献

GPR65 感应肿瘤来源的乳酸通过 cAMP/PKA/CREB 通路诱导 TAM 释放 HMGB1,从而促进胶质瘤的进展。

GPR65 sensing tumor-derived lactate induces HMGB1 release from TAM via the cAMP/PKA/CREB pathway to promote glioma progression.

机构信息

Department of Neurosurgery, Zhongshan Hospital, Fudan University, Shanghai, China.

State Key Laboratory of Neuroscience, Institute of Neuroscience, Center for Excellence in Brain Science and Intelligence Technology, Chinese Academy of Sciences, Shanghai, China.

出版信息

J Exp Clin Cancer Res. 2024 Apr 4;43(1):105. doi: 10.1186/s13046-024-03025-8.

Abstract

BACKGROUND

Lactate has emerged as a critical regulator within the tumor microenvironment, including glioma. However, the precise mechanisms underlying how lactate influences the communication between tumor cells and tumor-associated macrophages (TAMs), the most abundant immune cells in glioma, remain poorly understood. This study aims to elucidate the impact of tumor-derived lactate on TAMs and investigate the regulatory pathways governing TAM-mediated tumor-promotion in glioma.

METHODS

Bioinformatic analysis was conducted using datasets from TCGA and CGGA. Single-cell RNA-seq datasets were analyzed by using UCSC Cell Browser and Single Cell Portal. Cell proliferation and mobility were evaluated through CCK8, colony formation, wound healing, and transwell assays. Western blot and immunofluorescence staining were applied to assess protein expression and cell distribution. RT-PCR and ELISA were employed to identify the potential secretory factors. Mechanistic pathways were explored by western blotting, ELISA, shRNA knockdown, and specific inhibitors and activators. The effects of pathway blockades were further assessed using subcutaneous and intracranial xenograft tumor models in vivo.

RESULTS

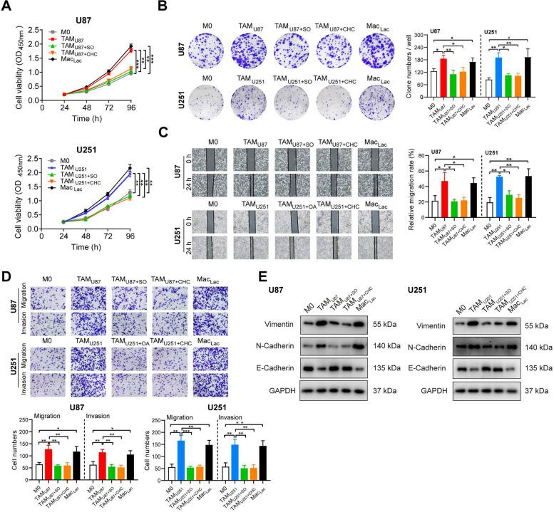
Elevated expressions of LDHA and MCT1 were observed in glioma and exhibited a positive correlation with M2-type TAM infiltration. Lactate derived from glioma cells induced TAMs towards M2-subtype polarization, subsequently promoting glioma cells proliferation, migration, invasion, and mesenchymal transition. GPR65, highly expressed on TAMs, sensed lactate-stimulation in the TME, fueling glioma cells malignant progression through the secretion of HMGB1. GPR65 on TAMs triggered HMGB1 release in response to lactate stimulation via the cAMP/PKA/CREB signaling pathway. Disrupting this feedback loop by GPR65-knockdown or HMGB1 inhibition mitigated glioma progression in vivo.

CONCLUSION

These findings unveil the intricate interplay between TAMs and tumor cells mediated by lactate and HMGB1, driving tumor progression in glioma. GPR65, selectively highly expressed on TAMs in glioma, sensed lactate stimulation and fostered HMGB1 secretion via the cAMP/PKA/CREB signaling pathway. Blocking this feedback loop presents a promising therapeutic strategy for GBM.

摘要

背景

乳酸已成为肿瘤微环境中的关键调节因子,包括神经胶质瘤。然而,乳酸如何影响肿瘤细胞与肿瘤相关巨噬细胞(TAMs)之间的通讯的具体机制仍知之甚少,TAMs 是神经胶质瘤中最丰富的免疫细胞。本研究旨在阐明肿瘤衍生的乳酸对 TAMs 的影响,并研究调控 TAM 介导的神经胶质瘤促瘤作用的调节途径。

方法

使用 TCGA 和 CGGA 的数据集进行生物信息学分析。使用 UCSC Cell Browser 和 Single Cell Portal 分析单细胞 RNA-seq 数据集。通过 CCK8、集落形成、划痕愈合和 Transwell 测定评估细胞增殖和迁移能力。通过 Western blot 和免疫荧光染色评估蛋白表达和细胞分布。通过 RT-PCR 和 ELISA 鉴定潜在的分泌因子。通过 Western blot、ELISA、shRNA 敲低和特异性抑制剂和激活剂探索机制途径。通过体内皮下和颅内异种移植肿瘤模型进一步评估途径阻断的效果。

结果

在神经胶质瘤中观察到 LDHA 和 MCT1 的表达升高,并与 M2 型 TAM 浸润呈正相关。来自神经胶质瘤细胞的乳酸诱导 TAMs 向 M2 型极化,随后促进神经胶质瘤细胞增殖、迁移、侵袭和上皮间质转化。在 TME 中,高表达于 TAMs 上的 GPR65 感知到乳酸刺激,通过分泌 HMGB1 为神经胶质瘤细胞的恶性进展提供燃料。TAMs 上的 GPR65 在受到乳酸刺激时通过 cAMP/PKA/CREB 信号通路触发 HMGB1 释放。通过 GPR65 敲低或 HMGB1 抑制破坏这种反馈环可减轻体内神经胶质瘤的进展。

结论

这些发现揭示了乳酸和 HMGB1 介导的 TAMs 和肿瘤细胞之间的复杂相互作用,推动了神经胶质瘤的肿瘤进展。GPR65 在神经胶质瘤的 TAMs 中选择性地高度表达,通过 cAMP/PKA/CREB 信号通路感知乳酸刺激并促进 HMGB1 分泌。阻断这个反馈环为 GBM 提供了一种有前途的治疗策略。

https://cdn.ncbi.nlm.nih.gov/pmc/blobs/98ec/10993467/778547a5b36a/13046_2024_3025_Fig1_HTML.jpg

文献AI研究员

20分钟写一篇综述,助力文献阅读效率提升50倍。

立即体验

用中文搜PubMed

大模型驱动的PubMed中文搜索引擎

马上搜索

文档翻译

学术文献翻译模型,支持多种主流文档格式。

立即体验