Suppr超能文献

检测 Aurora A 在体内和体外对 OLA1 多泛素化的方案。

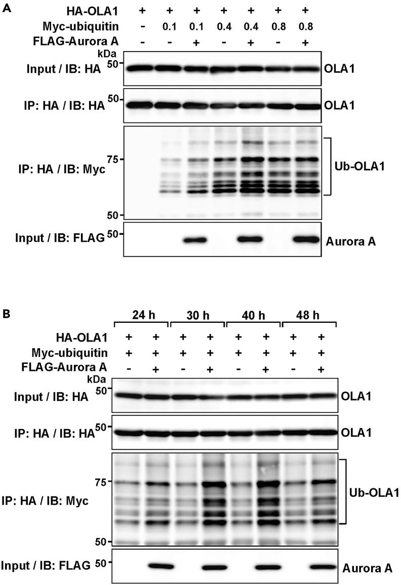
Protocol to detect OLA1 polyubiquitination by Aurora A in vivo and in vitro.

机构信息

Department of Cancer Biology, Institute of Development, Aging and Cancer (IDAC), Tohoku University, 4-1 Seiryomachi Aoba-ku, Sendai 980-8575, Japan; Laboratory of Cancer Biology, Graduate School of Life Sciences, Tohoku University, 4-1 Seiryomachi Aoba-ku, Sendai 980-8575, Japan.

Department of Cancer Biology, Institute of Development, Aging and Cancer (IDAC), Tohoku University, 4-1 Seiryomachi Aoba-ku, Sendai 980-8575, Japan; Laboratory of Cancer Biology, Graduate School of Life Sciences, Tohoku University, 4-1 Seiryomachi Aoba-ku, Sendai 980-8575, Japan; Department of Cancer Biology, Tohoku University Graduate School of Medicine, 4-1 Seiryomachi Aoba-ku, Sendai 980-8575, Japan.

出版信息

STAR Protoc. 2024 Jun 21;5(2):103008. doi: 10.1016/j.xpro.2024.103008. Epub 2024 Apr 10.

Abstract

Aurora A is a critical kinase that functions in centrosome maturation and bipolar spindle assembly. On the other hand, Aurora A has E3 ubiquitin ligase activity and polyubiquitinates Breast cancer gene 1 (BRCA1)-interacting protein Obg-like ATPase 1 (OLA1), targeting it for proteasomal degradation. Here, we present a protocol to detect OLA1 ubiquitination. We describe steps for recovering frozen cells and protein purification. We then detail assays for both in vivo and in vitro ubiquitination of OLA1 by Aurora A. For complete details on the use and execution of this protocol, please refer to Fang et al..

摘要

极光激酶 A 是一种在中心体成熟和双极纺锤体组装中起关键作用的激酶。另一方面,极光激酶 A 具有 E3 泛素连接酶活性,并多泛素化乳腺癌基因 1(BRCA1)相互作用蛋白 Obg 样 ATP 酶 1(OLA1),将其靶向蛋白酶体降解。在这里,我们提出了一种检测 OLA1 泛素化的方案。我们描述了回收冷冻细胞和蛋白质纯化的步骤。然后,我们详细介绍了 Aurora A 对 OLA1 的体内和体外泛素化的测定。有关此方案使用和执行的完整详细信息,请参阅 Fang 等人的研究。

https://cdn.ncbi.nlm.nih.gov/pmc/blobs/52e9/11017348/d30ac1d494ec/fx1.jpg

文献AI研究员

20分钟写一篇综述,助力文献阅读效率提升50倍。

立即体验

用中文搜PubMed

大模型驱动的PubMed中文搜索引擎

马上搜索

文档翻译

学术文献翻译模型,支持多种主流文档格式。

立即体验