Suppr超能文献

卫星胶质细胞与人类疾病

Satellite Glial Cells in Human Disease.

机构信息

Laboratory of Experimental Surgery, Hadassah-Hebrew University Medical Center, Mount Scopus, Jerusalem 91240, Israel.

Faculty of Medicine, Hebrew University of Jerusalem, Jerusalem 91120, Israel.

出版信息

Cells. 2024 Mar 23;13(7):566. doi: 10.3390/cells13070566.

Abstract

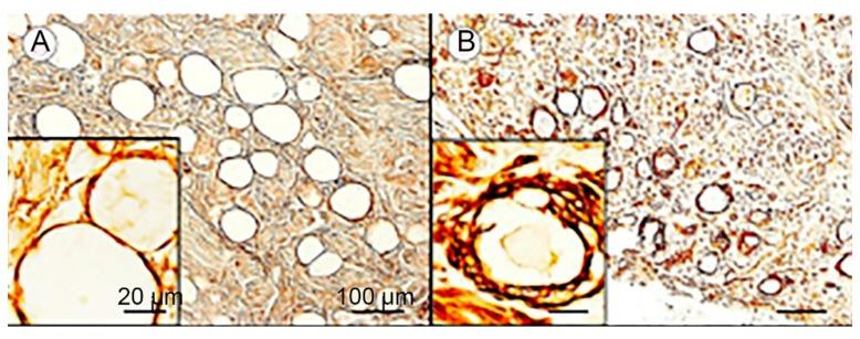
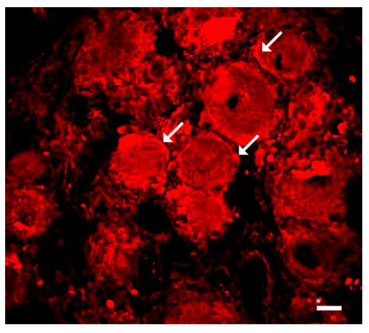
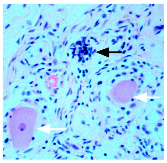
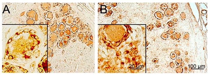
Satellite glial cells (SGCs) are the main type of glial cells in sensory ganglia. Animal studies have shown that these cells play essential roles in both normal and disease states. In a large number of pain models, SGCs were activated and contributed to the pain behavior. Much less is known about SGCs in humans, but there is emerging recognition that SGCs in humans are altered in a variety of clinical states. The available data show that human SGCs share some essential features with SGCs in rodents, but many differences do exist. SGCs in DRG from patients suffering from common painful diseases, such as rheumatoid arthritis and fibromyalgia, may contribute to the pain phenotype. It was found that immunoglobulins G (IgG) from fibromyalgia patients can induce pain-like behavior in mice. Moreover, these IgGs bind preferentially to SGCs and activate them, which can sensitize the sensory neurons, causing nociception. In other human diseases, the evidence is not as direct as in fibromyalgia, but it has been found that an antibody from a patient with rheumatoid arthritis binds to mouse SGCs, which leads to the release of pronociceptive factors from them. Herpes zoster is another painful disease, and it appears that the zoster virus resides in SGCs, which acquire an abnormal morphology and may participate in the infection and pain generation. More work needs to be undertaken on SGCs in humans, and this review points to several promising avenues for better understanding disease mechanisms and developing effective pain therapies.

摘要

卫星胶质细胞(SGCs)是感觉神经节中主要的胶质细胞类型。动物研究表明,这些细胞在正常和疾病状态下都发挥着重要作用。在大量疼痛模型中,SGCs 被激活并导致疼痛行为。关于人类 SGCs 的了解要少得多,但人们越来越认识到,在各种临床状态下,人类的 SGCs 发生了改变。现有数据表明,人类 SGCs 与啮齿动物的 SGCs 具有一些共同的基本特征,但也存在许多差异。来自患有常见疼痛性疾病(如类风湿关节炎和纤维肌痛)患者的背根神经节中的 SGCs 可能导致疼痛表型。研究发现,纤维肌痛患者的免疫球蛋白 G(IgG)可在小鼠中诱导类似疼痛的行为。此外,这些 IgG 优先与 SGCs 结合并激活它们,从而使感觉神经元敏化,引起伤害感受。在其他人类疾病中,证据不如纤维肌痛直接,但已经发现类风湿关节炎患者的一种抗体与小鼠 SGCs 结合,导致它们释放促伤害感受因子。带状疱疹是另一种疼痛性疾病,似乎带状疱疹病毒存在于 SGCs 中,这些 SGCs 获得异常形态,并可能参与感染和疼痛的产生。需要对人类 SGCs 进行更多的研究,本综述指出了几种有前途的途径,以更好地了解疾病机制并开发有效的疼痛治疗方法。

https://cdn.ncbi.nlm.nih.gov/pmc/blobs/2709/11011452/d54c9c8d29b8/cells-13-00566-g001.jpg

文献AI研究员

20分钟写一篇综述,助力文献阅读效率提升50倍。

立即体验

用中文搜PubMed

大模型驱动的PubMed中文搜索引擎

马上搜索

文档翻译

学术文献翻译模型,支持多种主流文档格式。

立即体验