Suppr超能文献

甲型流感病毒 NS1 效应结构域是感染细胞中 PA-X 介导的宿主关闭所必需的。

Influenza A virus NS1 effector domain is required for PA-X-mediated host shutoff in infected cells.

机构信息

Department of Microbiology & Immunology, Dalhousie University, Halifax, Nova Scotia, Canada.

Department of Biochemistry & Molecular Biology, Institute for Comparative Genomics, Dalhousie University, Halifax, Nova Scotia, Canada.

出版信息

J Virol. 2024 May 14;98(5):e0190123. doi: 10.1128/jvi.01901-23. Epub 2024 Apr 17.

Abstract

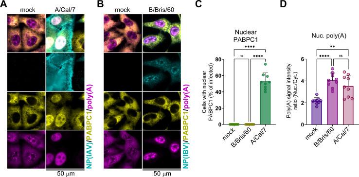
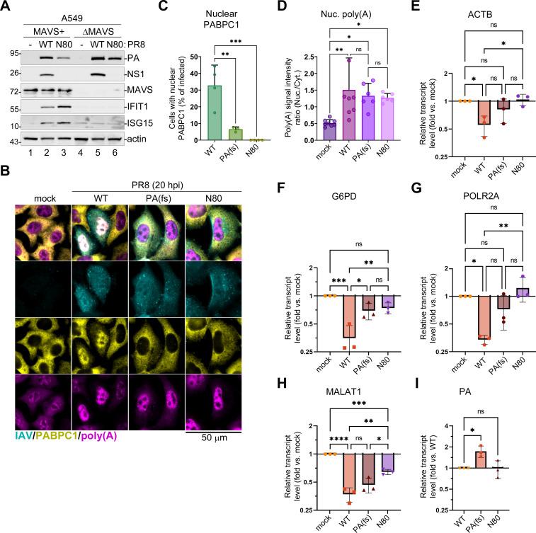
Many viruses inhibit general host gene expression to limit innate immune responses and gain preferential access to the cellular translational apparatus for their protein synthesis. This process is known as host shutoff. Influenza A viruses (IAVs) encode two host shutoff proteins: nonstructural protein 1 (NS1) and polymerase acidic X (PA-X). NS1 inhibits host nuclear pre-messenger RNA maturation and export, and PA-X is an endoribonuclease that preferentially cleaves host spliced nuclear and cytoplasmic messenger RNAs. Emerging evidence suggests that in circulating human IAVs NS1 and PA-X co-evolve to ensure optimal magnitude of general host shutoff without compromising viral replication that relies on host cell metabolism. However, the functional interplay between PA-X and NS1 remains unexplored. In this study, we sought to determine whether NS1 function has a direct effect on PA-X activity by analyzing host shutoff in A549 cells infected with wild-type or mutant IAVs with NS1 effector domain deletion. This was done using conventional quantitative reverse transcription polymerase chain reaction techniques and direct RNA sequencing using nanopore technology. Our previous research on the molecular mechanisms of PA-X function identified two prominent features of IAV-infected cells: nuclear accumulation of cytoplasmic poly(A) binding protein (PABPC1) and increase in nuclear poly(A) RNA abundance relative to the cytoplasm. Here we demonstrate that NS1 effector domain function augments PA-X host shutoff and is necessary for nuclear PABPC1 accumulation. By contrast, nuclear poly(A) RNA accumulation is not dependent on either NS1 or PA-X-mediated host shutoff and is accompanied by nuclear retention of viral transcripts. Our study demonstrates for the first time that NS1 and PA-X may functionally interact in mediating host shutoff.IMPORTANCERespiratory viruses including the influenza A virus continue to cause annual epidemics with high morbidity and mortality due to the limited effectiveness of vaccines and antiviral drugs. Among the strategies evolved by viruses to evade immune responses is host shutoff-a general blockade of host messenger RNA and protein synthesis. Disabling influenza A virus host shutoff is being explored in live attenuated vaccine development as an attractive strategy for increasing their effectiveness by boosting antiviral responses. Influenza A virus encodes two proteins that function in host shutoff: the nonstructural protein 1 (NS1) and the polymerase acidic X (PA-X). We and others have characterized some of the NS1 and PA-X mechanisms of action and the additive effects that these viral proteins may have in ensuring the blockade of host gene expression. In this work, we examined whether NS1 and PA-X functionally interact and discovered that NS1 is required for PA-X to function effectively. This work significantly advances our understanding of influenza A virus host shutoff and identifies new potential targets for therapeutic interventions against influenza and further informs the development of improved live attenuated vaccines.

摘要

许多病毒会抑制宿主的一般基因表达,以限制先天免疫反应,并优先利用细胞翻译装置来合成自身的蛋白质。这个过程被称为宿主关闭。甲型流感病毒(IAV)编码两种宿主关闭蛋白:非结构蛋白 1(NS1)和聚合酶酸性 X(PA-X)。NS1 抑制宿主核前信使 RNA 的成熟和输出,而 PA-X 是一种内切核糖核酸酶,它优先切割宿主拼接的核和细胞质信使 RNA。新出现的证据表明,在循环中的人类 IAV 中,NS1 和 PA-X 共同进化,以确保一般宿主关闭的幅度达到最佳,而不会损害依赖宿主细胞代谢的病毒复制。然而,PA-X 和 NS1 之间的功能相互作用仍未得到探索。在这项研究中,我们试图通过分析具有 NS1 效应结构域缺失的野生型或突变型 IAV 感染的 A549 细胞中的宿主关闭情况,来确定 NS1 功能是否对 PA-X 活性有直接影响。这是通过使用常规定量逆转录聚合酶链反应技术和纳米孔技术进行的直接 RNA 测序来完成的。我们之前对 PA-X 功能的分子机制的研究确定了感染 IAV 的细胞的两个突出特征:细胞质多聚(A)结合蛋白(PABPC1)的核积累和细胞核中多聚(A)RNA 丰度相对于细胞质的增加。在这里,我们证明了 NS1 效应结构域功能增强了 PA-X 的宿主关闭作用,并且对于核 PABPC1 积累是必需的。相比之下,核多聚(A)RNA 的积累不依赖于 NS1 或 PA-X 介导的宿主关闭作用,并且伴随着病毒转录本的核保留。我们的研究首次表明,NS1 和 PA-X 可能在介导宿主关闭方面具有功能相互作用。

重要性:
包括甲型流感病毒在内的呼吸道病毒由于疫苗和抗病毒药物的效果有限,每年仍会导致高发病率和死亡率的流行。病毒逃避免疫反应的策略之一是宿主关闭-一种普遍阻断宿主信使 RNA 和蛋白质合成。在活减毒疫苗开发中,抑制甲型流感病毒宿主关闭作用被探索作为一种有吸引力的策略,通过增强抗病毒反应来提高其有效性。甲型流感病毒编码两种在宿主关闭中起作用的蛋白:非结构蛋白 1(NS1)和聚合酶酸性 X(PA-X)。我们和其他人已经描述了一些 NS1 和 PA-X 的作用机制以及这些病毒蛋白在确保宿主基因表达阻断方面可能具有的累加效应。在这项工作中,我们检查了 NS1 和 PA-X 是否具有功能相互作用,并发现 NS1 是 PA-X 有效发挥作用所必需的。这项工作显著提高了我们对甲型流感病毒宿主关闭的理解,并确定了针对流感的新的潜在治疗靶点,并进一步为开发改良的活减毒疫苗提供了信息。

https://cdn.ncbi.nlm.nih.gov/pmc/blobs/4d63/11092343/31b8a82ab0aa/jvi.01901-23.f001.jpg

文献AI研究员

20分钟写一篇综述,助力文献阅读效率提升50倍。

立即体验

用中文搜PubMed

大模型驱动的PubMed中文搜索引擎

马上搜索

文档翻译

学术文献翻译模型,支持多种主流文档格式。

立即体验