Suppr超能文献

利用陶瓷羟基磷灰石作为一种有效的抛光策略,以去除双特异性抗体纯化过程中与产品和工艺相关的杂质。

Harnessing ceramic hydroxyapatite as an effective polishing strategy to remove product- and process-related impurities in bispecific antibody purification.

作者信息

Ingavat Nattha, Wang Xinhui, Liew Jia Min, Mahfut Farouq Bin, But Ka Pui, Kok Yee Jiun, Bi Xuezhi, Yang Yuansheng, Shintaro Kobayashi, Tsoumpra Maria, Zhang Wei

机构信息

Downstream Processing Group, Bioprocessing Technology Institute, Agency for Science, Technology and Research (A*STAR), Singapore, Singapore.

Cell Line Development Group, Bioprocessing Technology Institute, Agency for Science, Technology and Research (A*STAR), Singapore, Singapore.

出版信息

Bioresour Bioprocess. 2023 Dec 13;10(1):93. doi: 10.1186/s40643-023-00713-9.

Abstract

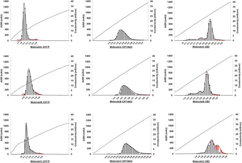
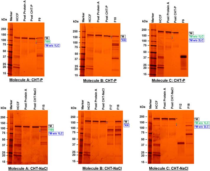
Bispecific antibody (bsAb), a novel therapeutic modality, provides excellent treatment efficacy, yet poses numerous challenges to downstream process development, which are mainly due to the intricate diversity of bsAb structures and impurity profiles. Ceramic hydroxyapatite (CHT), a mixed-mode medium, allows proteins to interact with its calcium sites (C-sites) through metal affinity and/or its phosphate sites (P-sites) through cation exchange interactions. This dual-binding capability potentially offers unique bind and elute behaviours for different proteins of interest, resulting in optimal product purity when suitable elution conditions are employed. In this study, the effectiveness of CHT as a polishing step for bsAb purification was investigated across three model molecules and benchmarked against the traditional cation exchange chromatography (CEX). For both asymmetric and symmetric IgG-like bsAb post Protein A eluates, at least 97% product purity was achieved after CHT polishing. CHT delivered a superior aggregate clearance to CEX, resulting in low high molecular weight (HMW) impurities (0.5%) and low process-related impurities in the product pools. Moreover, CHT significantly mitigated "chromatography-induced aggregation" whereas eightfold more HMW was generated by CEX. This study illustrated the developability of CHT in effectively eliminating low molecular weight (LMW) impurities through post-load-wash (PLW) optimization, resulting in an additional reduction of up to 48% in LMW impurities. A mechanistic explanation regarding the performance of impurity removal and mitigation of the chromatography-induced aggregation by CHT was proposed, illustrating unique CHT capability is potentially driven by C-site cooperation, of which effectiveness could depend on the bsAb composition and size.

摘要

双特异性抗体(bsAb)作为一种新型治疗方式,具有出色的治疗效果,但给下游工艺开发带来了诸多挑战,这主要归因于bsAb结构和杂质谱的复杂多样性。陶瓷羟基磷灰石(CHT)是一种混合模式介质,它能使蛋白质通过金属亲和作用与钙位点(C位点)相互作用,和/或通过阳离子交换相互作用与磷酸位点(P位点)相互作用。这种双重结合能力可能为不同的目标蛋白质提供独特的结合和洗脱行为,在采用合适的洗脱条件时可实现最佳的产品纯度。在本研究中,针对三种模型分子研究了CHT作为bsAb纯化抛光步骤的有效性,并与传统阳离子交换色谱(CEX)进行了对比。对于蛋白A洗脱后的不对称和对称IgG样bsAb,经CHT抛光后产品纯度均达到至少97%。CHT在清除聚集体方面优于CEX,使得产品池中的高分子量(HMW)杂质含量低(0.5%)且工艺相关杂质含量低。此外,CHT显著减轻了“色谱诱导聚集”,而CEX产生的HMW杂质则多八倍。本研究表明,通过优化上样后洗涤(PLW),CHT在有效去除低分子量(LMW)杂质方面具有可开发性,可使LMW杂质进一步降低多达48%。本文提出了关于CHT去除杂质性能及减轻色谱诱导聚集的机理解释,表明CHT的独特能力可能由C位点协同作用驱动,其有效性可能取决于bsAb的组成和大小。

https://cdn.ncbi.nlm.nih.gov/pmc/blobs/af39/10992335/1bf967c13947/40643_2023_713_Fig1_HTML.jpg

文献AI研究员

20分钟写一篇综述,助力文献阅读效率提升50倍。

立即体验

用中文搜PubMed

大模型驱动的PubMed中文搜索引擎

马上搜索

文档翻译

学术文献翻译模型,支持多种主流文档格式。

立即体验