Suppr超能文献

SMARCA4 缺陷型未分化食管腺癌:临床病例系列及文献复习。

SMARCA4-Deficient Undifferentiated Esophageal Carcinoma: A Clinical Case Series and Literature Review.

机构信息

Department of Internal Medicine, Cleveland Clinic Akron General, 1 Akron General Ave., Akron, OH, 44307, USA.

Department of Internal Medicine, University Hospitals Cleveland Medical Center, Cleveland, OH, USA.

出版信息

J Gastrointest Cancer. 2024 Sep;55(3):1433-1440. doi: 10.1007/s12029-024-01060-4. Epub 2024 Apr 24.

Abstract

PURPOSE

Undifferentiated carcinoma of the esophagus (UEC) is a rare malignancy. Deficiency in SMARCA genes, critical for chromatin regulation, has been observed in cases of UEC. Research in UEC is sparse, however, and we present a case series along with a comprehensive review of the literature.

CASE SERIES

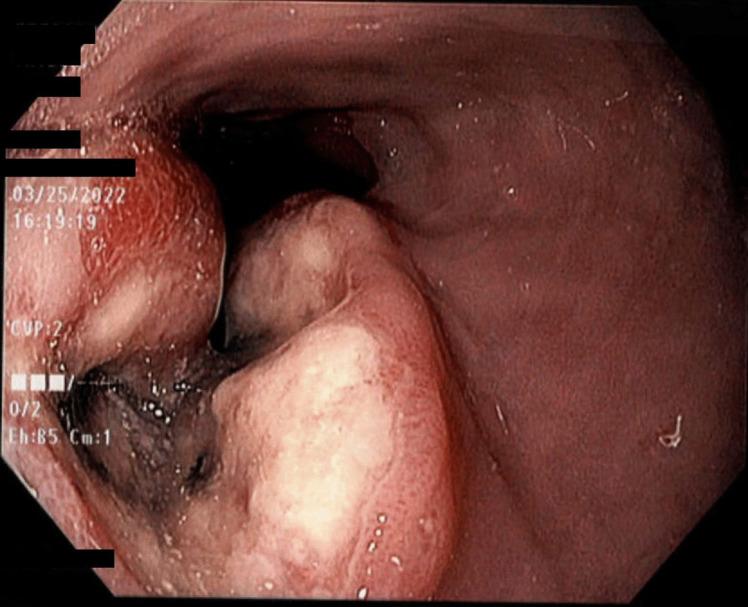
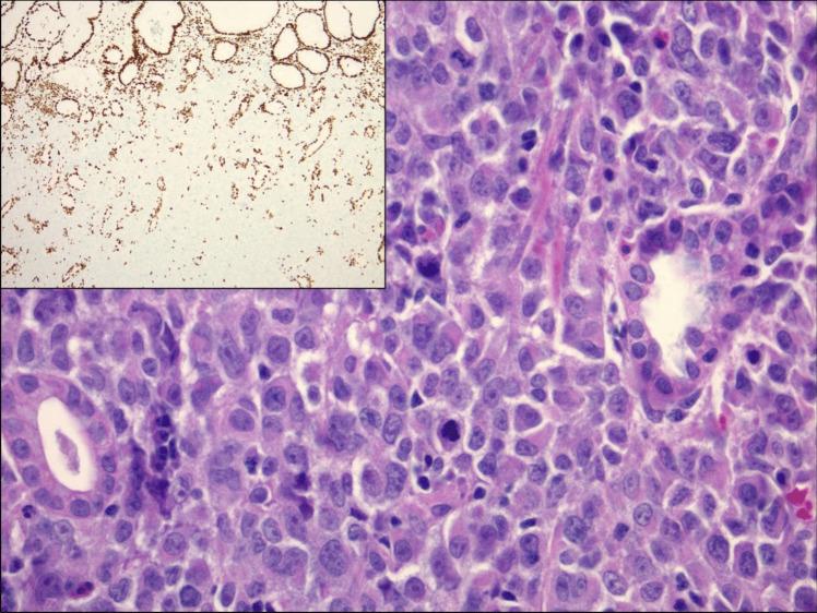
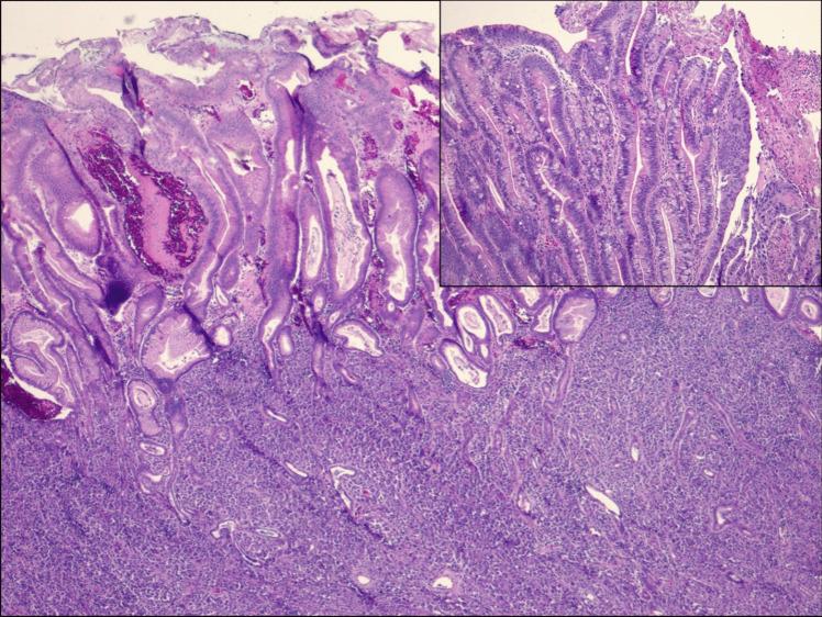
Case 1 is a 49-year-old female with abdominal pain and dysphagia and esophagogastroduodenoscopy (EGD) showing a friable mass at the gastroesophageal (GE) junction. Biopsies showed a poorly differentiated neoplasm and immunohistochemistry showed loss for SMARCA4. With metastatic disease, she agreed to undergo palliative chemotherapy and radiation, passing away at 4 months. Case 2 is an 88-year-old male with dysphagia, nausea, vomiting, and distal esophageal mass with biopsy showing a malignancy with loss of SMARCA4 expression. Due to extensive metastases, he was counseled on hospice care. Case 3 is a 53-year-old male with extensive alcohol and smoking history presenting with hematemesis, passing away shortly. Posthumous histopathology consistent with undifferentiated SMARCA4-deficient carcinoma of the esophagus. Results of the literature review indicate a predilection towards males (75.0%) and a variable age range (39-88 years). Majority (76.2%) reported with a distal esophagus location. Metastatic disease was common at initial presentation. Median survival was 2.60 months. Some were managed with chemotherapy and radiation.

CONCLUSIONS

Research in SMARCA-deficient UEC is very limited. It is more common in men, age is variable, and associated with Barret's esophagus. Further research is necessary to better understand it and to establish treatment guidelines; however, it is clear that SMARCA4-deficient UEC carries a significantly poor prognosis.

摘要

目的

食管未分化癌(UEC)是一种罕见的恶性肿瘤。在 UEC 病例中观察到,SMARCA 基因缺失,这些基因对于染色质调节至关重要。然而,对 UEC 的研究很少,因此我们提出了一系列病例,并对文献进行了全面回顾。

病例系列

病例 1 为 49 岁女性,有腹痛和吞咽困难,食管胃十二指肠镜(EGD)显示胃食管(GE)交界处有易碎肿块。活检显示为低分化肿瘤,免疫组化显示 SMARCA4 缺失。由于转移性疾病,她同意接受姑息性化疗和放疗,4 个月后去世。病例 2 为 88 岁男性,有吞咽困难、恶心、呕吐和远端食管肿块,活检显示为恶性肿瘤,SMARCA4 表达缺失。由于广泛转移,他接受了临终关怀咨询。病例 3 为 53 岁男性,有大量饮酒和吸烟史,表现为呕血,不久后去世。死后组织病理学检查符合未分化 SMARCA4 缺陷型食管癌。文献复习结果表明,男性(75.0%)和年龄范围(39-88 岁)均存在倾向性。大多数(76.2%)报告位于远端食管。初诊时转移性疾病常见。中位生存期为 2.60 个月。一些患者接受了化疗和放疗。

结论

SMARCA 缺陷型 UEC 的研究非常有限。它在男性中更为常见,年龄变化较大,与 Barrett 食管有关。需要进一步研究以更好地了解它并制定治疗指南;然而,SMARCA4 缺陷型 UEC 的预后明显较差是明确的。

https://cdn.ncbi.nlm.nih.gov/pmc/blobs/7699/11347470/2623d221a8e2/12029_2024_1060_Fig1_HTML.jpg

文献AI研究员

20分钟写一篇综述,助力文献阅读效率提升50倍。

立即体验

用中文搜PubMed

大模型驱动的PubMed中文搜索引擎

马上搜索

文档翻译

学术文献翻译模型,支持多种主流文档格式。

立即体验