Suppr超能文献

柴油尾气颗粒对脂肪组织线粒体功能和炎症状态的影响。

The Effect of Diesel Exhaust Particles on Adipose Tissue Mitochondrial Function and Inflammatory Status.

作者信息

Warren Cali E, Campbell Kennedy M, Kirkham Madison N, Saito Erin R, Remund Nicole P, Cayabyab Kevin B, Kim Iris J, Heimuli Micah S, Reynolds Paul R, Arroyo Juan A, Bikman Benjamin T

机构信息

Department of Cell Biology and Physiology, Brigham Young University, Provo, UT 84602, USA.

出版信息

Int J Mol Sci. 2024 Apr 13;25(8):4322. doi: 10.3390/ijms25084322.

Abstract

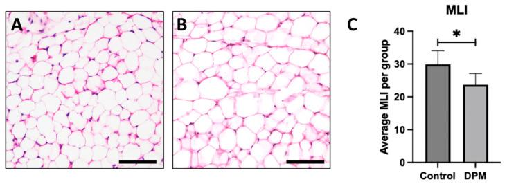
Air pollution poses a significant global health risk, with fine particulate matter (PM) such as diesel exhaust particles (DEPs) being of particular concern due to their potential to drive systemic toxicities through bloodstream infiltration. The association between PM exposure and an increased prevalence of metabolic disorders, including obesity, metabolic syndrome, and type 2 diabetes mellitus (T2DM), is evident against a backdrop of rising global obesity and poor metabolic health. This paper examines the role of adipose tissue in mediating the effects of PM on metabolic health. Adipose tissue, beyond its energy storage function, is responsive to inhaled noxious stimuli, thus disrupting metabolic homeostasis and responding to particulate exposure with pro-inflammatory cytokine release, contributing to systemic inflammation. The purpose of this study was to characterize the metabolic response of adipose tissue in mice exposed to either DEPs or room air (RA), exploring both the adipokine profile and mitochondrial bioenergetics. In addition to a slight change in fat mass and a robust shift in adipocyte hypertrophy in the DEP-exposed animals, we found significant changes in adipose mitochondrial bioenergetics. Furthermore, the DEP-exposed animals had a significantly higher expression of adipose inflammatory markers compared with the adipose from RA-exposed mice. Despite the nearly exclusive focus on dietary factors in an effort to better understand metabolic health, these results highlight the novel role of environmental factors that may contribute to the growing global burden of poor metabolic health.

摘要

空气污染对全球健康构成重大风险,柴油尾气颗粒(DEP)等细颗粒物(PM)尤其令人担忧,因为它们有可能通过血液渗透引发全身毒性。在全球肥胖率上升和代谢健康状况不佳的背景下,PM暴露与代谢紊乱(包括肥胖、代谢综合征和2型糖尿病(T2DM))患病率增加之间的关联十分明显。本文探讨了脂肪组织在介导PM对代谢健康影响中的作用。脂肪组织除了具有能量储存功能外,还对吸入的有害刺激有反应,从而破坏代谢稳态,并通过释放促炎细胞因子对颗粒物暴露做出反应,导致全身炎症。本研究的目的是表征暴露于DEP或室内空气(RA)的小鼠脂肪组织的代谢反应,探索脂肪因子谱和线粒体生物能量学。除了暴露于DEP的动物脂肪量略有变化和脂肪细胞肥大有显著变化外,我们还发现脂肪线粒体生物能量学有显著变化。此外,与暴露于RA的小鼠的脂肪相比,暴露于DEP的动物脂肪中炎症标志物的表达显著更高。尽管人们几乎只关注饮食因素以更好地理解代谢健康,但这些结果凸显了环境因素可能在全球代谢健康不佳负担日益加重中所起的新作用。

https://cdn.ncbi.nlm.nih.gov/pmc/blobs/ff43/11050398/d78b0e2f0ae0/ijms-25-04322-g003.jpg

文献AI研究员

20分钟写一篇综述,助力文献阅读效率提升50倍。

立即体验

用中文搜PubMed

大模型驱动的PubMed中文搜索引擎

马上搜索

文档翻译

学术文献翻译模型,支持多种主流文档格式。

立即体验