Suppr超能文献

成肌细胞的冷休克蛋白质组揭示了 RBM3 在促进线粒体代谢和成肌细胞分化中的作用。

Cold-shock proteome of myoblasts reveals role of RBM3 in promotion of mitochondrial metabolism and myoblast differentiation.

机构信息

Institute for Stem Cell Science and Regenerative Medicine (inStem), GKVK-Post, Bellary Rd, Bengaluru, 560065, Karnataka, India.

SASTRA Deemed University, Tirumalaisamudram, Thanjavur, 613401, Tamil Nadu, India.

出版信息

Commun Biol. 2024 Apr 30;7(1):515. doi: 10.1038/s42003-024-06196-4.

Abstract

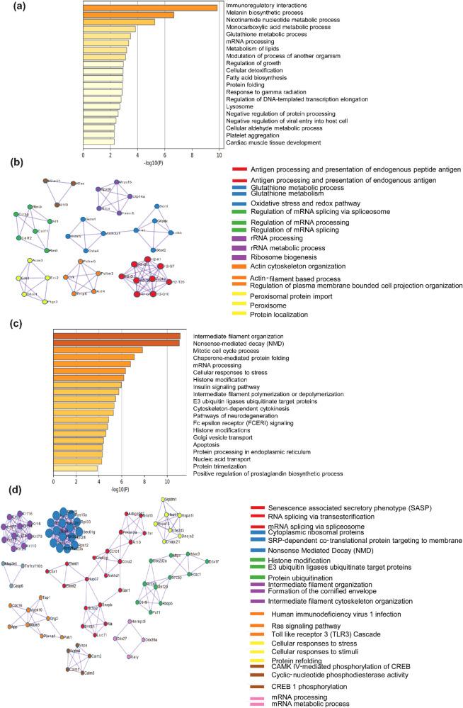
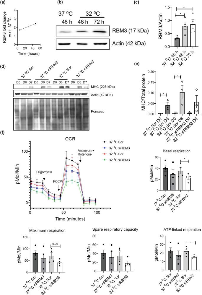
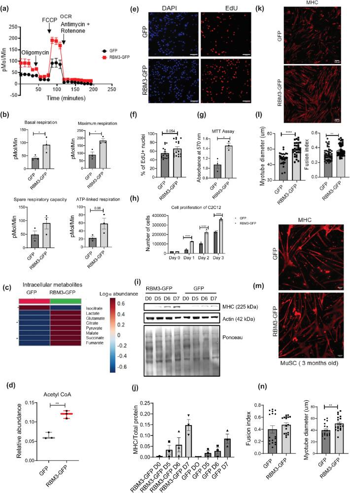
Adaptation to hypothermia is important for skeletal muscle cells under physiological stress and is used for therapeutic hypothermia (mild hypothermia at 32  °C). We show that hypothermic preconditioning at 32  °C for 72 hours improves the differentiation of skeletal muscle myoblasts using both C2C12 and primary myoblasts isolated from 3 month and 18-month-old mice. We analyzed the cold-shock proteome of myoblasts exposed to hypothermia (32  °C for 6 and 48 h) and identified significant changes in pathways related to RNA processing and central carbon, fatty acid, and redox metabolism. The analysis revealed that levels of the cold-shock protein RBM3, an RNA-binding protein, increases with both acute and chronic exposure to hypothermic stress, and is necessary for the enhanced differentiation and maintenance of mitochondrial metabolism. We also show that overexpression of RBM3 at 37  °C is sufficient to promote mitochondrial metabolism, cellular proliferation, and differentiation of C2C12 and primary myoblasts. Proteomic analysis of C2C12 myoblasts overexpressing RBM3 show significant enrichment of pathways involved in fatty acid metabolism, RNA metabolism and the electron transport chain. Overall, we show that the cold-shock protein RBM3 is a critical factor that can be used for controlling the metabolic network of myoblasts.

摘要

适应低温对于生理应激下的骨骼肌细胞很重要,低温疗法(32°C 的轻度低温)就是利用了这一点。我们发现,32°C 下 72 小时的低温预处理可促进 C2C12 细胞和从小鼠 3 个月和 18 个月龄分离的原代成肌细胞的分化。我们分析了低温(32°C 6 小时和 48 小时)暴露的成肌细胞的冷休克蛋白质组,发现与 RNA 加工和中心碳代谢、脂肪酸代谢和氧化还原代谢相关的途径发生了显著变化。分析表明,冷休克蛋白 RBM3 的水平随急性和慢性低温应激而增加,该蛋白是增强分化和维持线粒体代谢所必需的。我们还表明,37°C 时 RBM3 的过表达足以促进 C2C12 和原代成肌细胞的线粒体代谢、细胞增殖和分化。过表达 RBM3 的 C2C12 成肌细胞的蛋白质组分析显示,涉及脂肪酸代谢、RNA 代谢和电子传递链的途径明显富集。总的来说,我们表明冷休克蛋白 RBM3 是一个关键因素,可用于控制成肌细胞的代谢网络。

https://cdn.ncbi.nlm.nih.gov/pmc/blobs/dcce/11061143/7e06dd04341f/42003_2024_6196_Fig1_HTML.jpg

文献AI研究员

20分钟写一篇综述,助力文献阅读效率提升50倍。

立即体验

用中文搜PubMed

大模型驱动的PubMed中文搜索引擎

马上搜索

文档翻译

学术文献翻译模型,支持多种主流文档格式。

立即体验