Suppr超能文献

肿瘤相关巨噬细胞在原位前列腺癌小鼠模型中的空间分布。

Spatial distribution of tumor-associated macrophages in an orthotopic prostate cancer mouse model.

机构信息

Department of Biomedical Engineering, Vanderbilt University, Nashville, TN, United States.

Meinig School of Biomedical Engineering, Cornell University, Ithaca, NY, United States.

出版信息

Pathol Oncol Res. 2024 Apr 16;30:1611586. doi: 10.3389/pore.2024.1611586. eCollection 2024.

Abstract

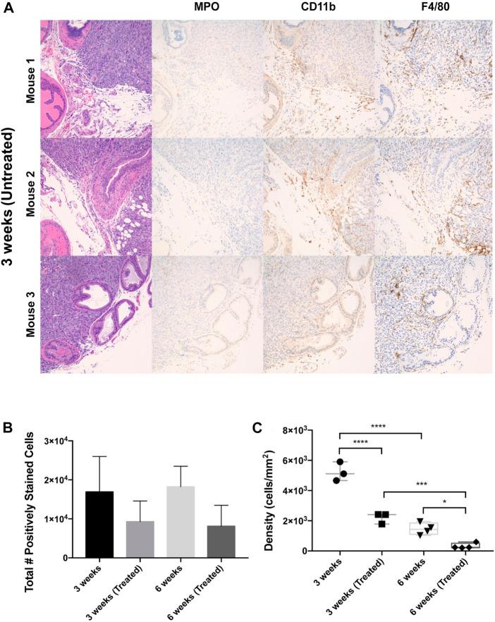
Mounting evidence suggests that the immune landscape within prostate tumors influences progression, metastasis, treatment response, and patient outcomes. In this study, we investigated the spatial density of innate immune cell populations within NOD.SCID orthotopic prostate cancer xenografts following microinjection of human DU145 prostate cancer cells. Our laboratory has previously developed nanoscale liposomes that attach to leukocytes via conjugated E-selectin (ES) and kill cancer cells via TNF-related apoptosis inducing ligand (TRAIL). Immunohistochemistry (IHC) staining was performed on tumor samples to identify and quantify leukocyte infiltration for different periods of tumor growth and E-selectin/TRAIL (EST) liposome treatments. We examined the spatial-temporal dynamics of three different immune cell types infiltrating tumors using QuPath image analysis software. IHC staining revealed that F4/80+ tumor-associated macrophages (TAMs) were the most abundant immune cells in all groups, irrespective of time or treatment. The density of TAMs decreased over the course of tumor growth and decreased in response to EST liposome treatments. Intratumoral versus marginal analysis showed a greater presence of TAMs in the marginal regions at 3 weeks of tumor growth which became more evenly distributed over time and in tumors treated with EST liposomes. TUNEL staining indicated that EST liposomes significantly increased cell apoptosis in treated tumors. Additionally, confocal microscopy identified liposome-coated TAMs in both the core and periphery of tumors, highlighting the ability of liposomes to infiltrate tumors by "piggybacking" on macrophages. The results of this study indicate that TAMs represent the majority of innate immune cells within NOD.SCID orthotopic prostate tumors, and spatial density varies widely as a function of tumor size, duration of tumor growth, and treatment of EST liposomes.

摘要

越来越多的证据表明,前列腺肿瘤内的免疫景观会影响肿瘤的进展、转移、治疗反应和患者预后。在这项研究中,我们研究了在 NOD.SCID 原位前列腺癌异种移植模型中,经人 DU145 前列腺癌细胞微注射后,固有免疫细胞群在肿瘤内的空间密度。我们实验室之前开发了纳米级脂质体,通过共轭的 E-选择素(ES)与白细胞结合,并通过 TNF 相关凋亡诱导配体(TRAIL)杀死癌细胞。对肿瘤样本进行免疫组织化学(IHC)染色,以确定和量化不同肿瘤生长阶段和 E-选择素/ TRAIL(EST)脂质体治疗的白细胞浸润。我们使用 QuPath 图像分析软件检查了三种不同免疫细胞类型在肿瘤中浸润的时空动态。IHC 染色显示,F4/80+肿瘤相关巨噬细胞(TAMs)是所有组中最丰富的免疫细胞,无论时间或治疗如何。TAMs 的密度在肿瘤生长过程中逐渐下降,并在 EST 脂质体治疗中下降。肿瘤内与边缘分析显示,在肿瘤生长 3 周时,TAMs 在边缘区域的存在更多,随着时间的推移和在接受 EST 脂质体治疗的肿瘤中,TAMs 的分布更加均匀。TUNEL 染色表明,EST 脂质体显著增加了治疗肿瘤中的细胞凋亡。此外,共聚焦显微镜在肿瘤的核心和边缘区域都鉴定出了包裹脂质体的 TAMs,这突出了脂质体通过“搭便车”巨噬细胞渗透肿瘤的能力。这项研究的结果表明,TAMs 代表了 NOD.SCID 原位前列腺肿瘤中大多数固有免疫细胞,其空间密度随肿瘤大小、肿瘤生长时间和 EST 脂质体治疗的变化而广泛变化。

https://cdn.ncbi.nlm.nih.gov/pmc/blobs/f0ad/11058651/d0a58620d86f/pore-30-1611586-g001.jpg

文献AI研究员

20分钟写一篇综述,助力文献阅读效率提升50倍。

立即体验

用中文搜PubMed

大模型驱动的PubMed中文搜索引擎

马上搜索

文档翻译

学术文献翻译模型,支持多种主流文档格式。

立即体验