Suppr超能文献

早期左心房功能下降在预测曲妥珠单抗治疗 HER2 阳性乳腺癌患者心脏毒性中的作用。

Role of Early Left Atrial Functional Decline in Predicting Cardiotoxicity in HER2 Positive Breast Cancer Patients Treated With Trastuzumab.

机构信息

Department of Medicine, Section of Cardiology, University of Verona, Piazzale Aristide Stefani 1, 37100, Verona, VR, Italy.

Department of Medicine, Section of Oncology, University of Verona, 37100, Verona, VR, Italy.

出版信息

Cardiovasc Toxicol. 2024 Jun;24(6):550-562. doi: 10.1007/s12012-024-09861-6. Epub 2024 May 2.

Abstract

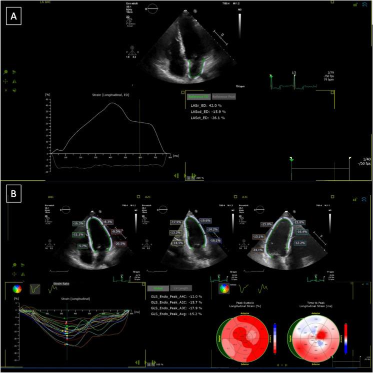
Trastuzumab is widely used in HER2 breast cancer. However, it may cause left ventricular (LV) dysfunction. A decrease in LV global longitudinal strain (GLS) has been previously demonstrated to be a good predictor of subsequent cancer therapy related dysfunction (CTRCD). Left atrial morphological remodeling during Trastuzumab therapy has also been shown. The aim of this study is exploring the relationship between early changes in left atrial function and the development of Trastuzumab-induced cardiotoxicity. Consecutive patients with diagnosis of HER2+non-metastatic breast cancer treated with Trastuzumab were prospectively enrolled. A clinical, conventional, and advanced echocardiographic assessment was performed at baseline and every three months, until a one-year follow-up was reached. One-hundred-sixteen patients completed the 12 months follow-up, 10 (9%) cases of CTRCD were observed, all after the sixth month. GLS and LVEF significantly decreased in the CTRCD group at 6 months of follow-up, with an earlier (3 months) significant worsening in left atrial morpho-functional parameters. Systolic blood pressure, early peak atrial longitudinal strain (PALS), peak atrial contraction (PACS) and left atrial volume (LAVI) changes resulted independent predictors of CTRCD at multivariable logistic regression analysis. Moreover, early changes in PALS and PACS resulted good predictors of CTRCD development (AUC 0.85; p = 0.008, p < 0.001 and 0.77; p = 0.008, respectively). This prospective study emphasizes that the decline in PALS and PACS among trastuzumab-treated patients could possibly increase the accuracy in identifying future CTRCD in non-metastatic HER2 breast cancer cases, adding predictive value to conventional echocardiographic assessment.

摘要

曲妥珠单抗广泛用于 HER2 阳性乳腺癌。然而,它可能导致左心室(LV)功能障碍。先前已经证明 LV 整体纵向应变(GLS)的降低是随后癌症治疗相关功能障碍(CTRCD)的良好预测指标。曲妥珠单抗治疗期间左心房形态重塑也已得到证实。本研究旨在探讨左心房功能早期变化与曲妥珠单抗诱导的心脏毒性发展之间的关系。连续入组接受曲妥珠单抗治疗的 HER2+非转移性乳腺癌患者。在基线和每 3 个月进行临床、常规和高级超声心动图评估,直至达到 1 年随访。116 例患者完成了 12 个月的随访,观察到 10 例(9%)CTRCD,均发生在第 6 个月后。在 6 个月的随访中,CTRCD 组的 GLS 和 LVEF 显著降低,左心房形态功能参数更早(3 个月)出现显著恶化。多变量逻辑回归分析显示,收缩压、早期峰值心房纵向应变(PALS)、峰值心房收缩(PACS)和左心房容积(LAVI)变化是 CTRCD 的独立预测因子。此外,PALS 和 PACS 的早期变化是 CTRCD 发展的良好预测因子(AUC 0.85;p=0.008,p<0.001 和 0.77;p=0.008,分别)。这项前瞻性研究强调,曲妥珠单抗治疗患者中 PALS 和 PACS 的下降可能会提高识别非转移性 HER2 乳腺癌患者未来 CTRCD 的准确性,为常规超声心动图评估增加预测价值。

https://cdn.ncbi.nlm.nih.gov/pmc/blobs/98f1/11102377/f4708e203817/12012_2024_9861_Fig1_HTML.jpg

文献AI研究员

20分钟写一篇综述,助力文献阅读效率提升50倍。

立即体验

用中文搜PubMed

大模型驱动的PubMed中文搜索引擎

马上搜索

文档翻译

学术文献翻译模型,支持多种主流文档格式。

立即体验