Suppr超能文献

细胞毒性 sigma-2 配体通过胆固醇诱导的内质网应激触发癌细胞死亡。

Cytotoxic sigma-2 ligands trigger cancer cell death via cholesterol-induced-ER-stress.

机构信息

Department of Surgery, Washington University School of Medicine, St. Louis, MO, USA.

Department of Medical Oncology, Washington University School of Medicine, St. Louis, MO, USA.

出版信息

Cell Death Dis. 2024 May 2;15(5):309. doi: 10.1038/s41419-024-06693-8.

Abstract

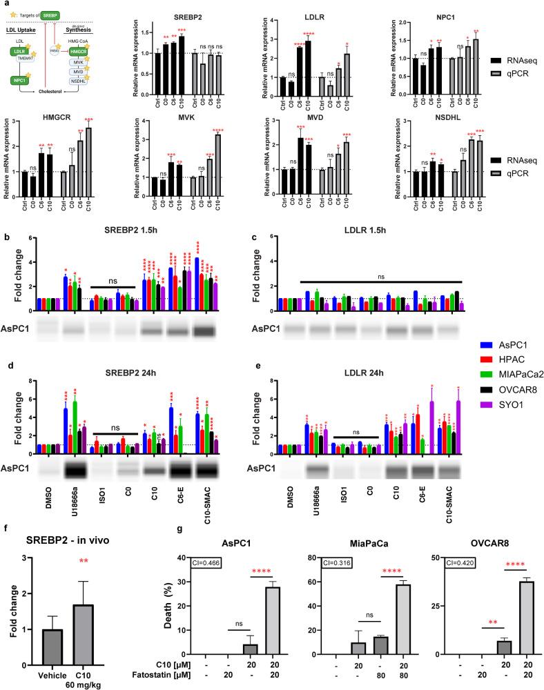
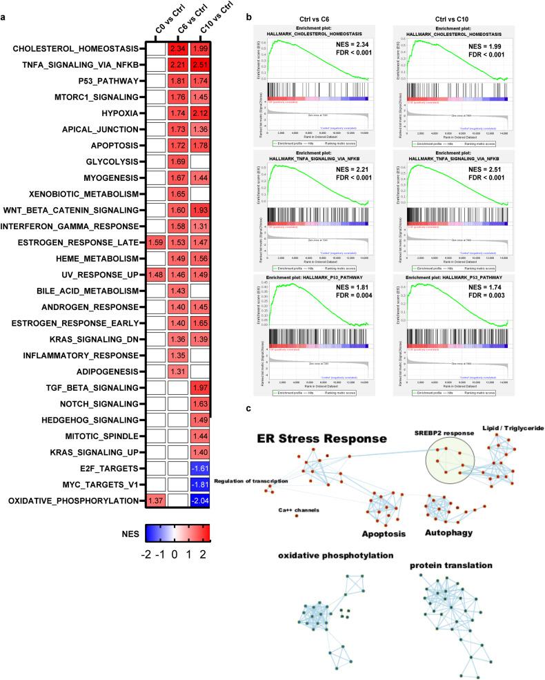
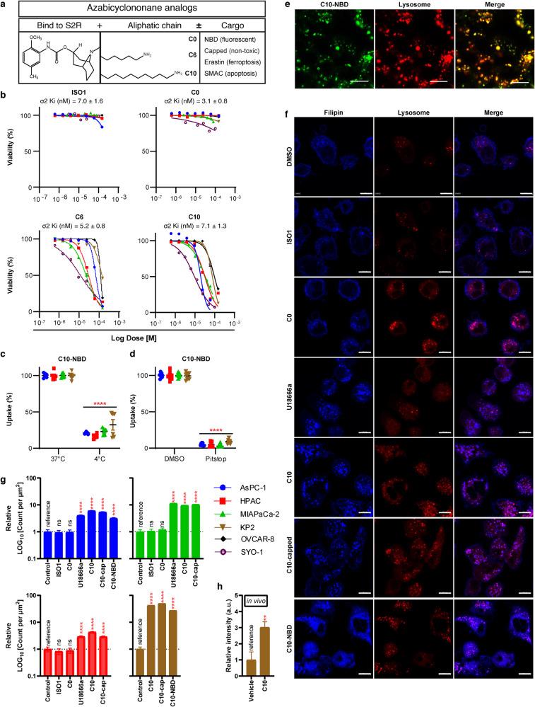
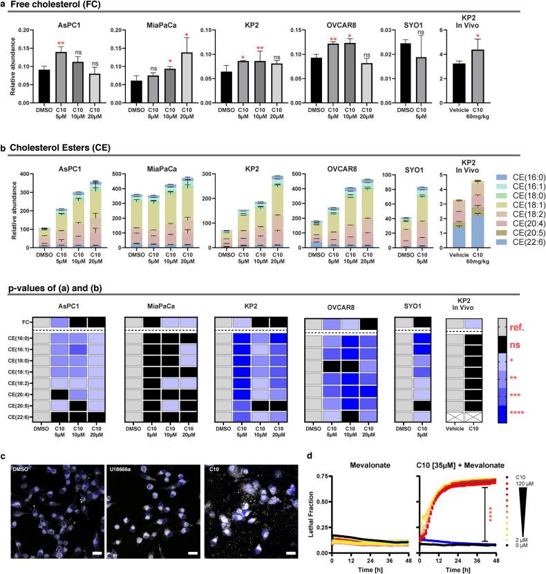
Sigma-2-ligands (S2L) are characterized by high binding affinities to their cognate sigma-2 receptor, overexpressed in rapidly proliferating tumor cells. As such, S2L were developed as imaging probes (ISO1) or as cancer therapeutics, alone (SV119 [C6], SW43 [C10]) and as delivery vehicles for cytotoxic drug cargoes (C6-Erastin, C10-SMAC). However, the exact mechanism of S2L-induced cytotoxicity remains to be fully elucidated. A series of high-affinity S2L were evaluated regarding their cytotoxicity profiles across cancer cell lines. While C6 and C10 displayed distinct cytotoxicities, C0 and ISO1 were essentially non-toxic. Confocal microscopy and lipidomics analysis in cellular and mouse models revealed that C10 induced increases in intralysosomal free cholesterol and in cholesterol esters, suggestive of unaltered intracellular cholesterol trafficking. Cytotoxicity was caused by cholesterol excess, a phenomenon that contrasts the effects of NPC1 inhibition. RNA-sequencing revealed gene clusters involved in cholesterol homeostasis and ER stress response exclusively by cytotoxic S2L. ER stress markers were confirmed by qPCR and their targeted modulation inhibited or enhanced cytotoxicity of C10 in a predicted manner. Moreover, C10 increased sterol regulatory element-binding protein 2 (SREBP2) and low-density lipoprotein receptor (LDLR), both found to be pro-survival factors activated by ER stress. Furthermore, inhibition of downstream processes of the adaptive response to S2L with simvastatin resulted in synergistic treatment outcomes in combination with C10. Of note, the S2L conjugates retained the ER stress response of the parental ligands, indicative of cholesterol homeostasis being involved in the overall cytotoxicity of the drug conjugates. Based on these findings, we conclude that S2L-mediated cell death is due to free cholesterol accumulation that leads to ER stress. Consequently, the cytotoxic profiles of S2L drug conjugates are proposed to be enhanced via concurrent ER stress inducers or simvastatin, strategies that could be instrumental on the path toward tumor eradication.

摘要

西格玛-2 配体(S2L)的特征是与其同源的西格玛-2 受体具有高亲和力,这种受体在快速增殖的肿瘤细胞中过度表达。因此,S2L 被开发为成像探针(ISO1)或癌症治疗药物,单独使用(SV119 [C6]、SW43 [C10])或作为细胞毒性药物有效载荷的递送载体(C6-Erastin、C10-SMAC)。然而,S2L 诱导细胞毒性的确切机制仍有待充分阐明。一系列高亲和力的 S2L 被评估了它们在癌细胞系中的细胞毒性谱。虽然 C6 和 C10 表现出不同的细胞毒性,但 C0 和 ISO1 基本上没有毒性。在细胞和小鼠模型中的共焦显微镜和脂质组学分析表明,C10 诱导溶酶体腔内游离胆固醇和胆固醇酯增加,表明细胞内胆固醇转运没有改变。细胞毒性是由胆固醇过剩引起的,这种现象与 NPC1 抑制的作用相反。RNA 测序揭示了涉及胆固醇稳态和内质网应激反应的基因簇,这些基因簇仅由细胞毒性 S2L 引起。通过 qPCR 证实了内质网应激标志物,其靶向调节以可预测的方式抑制或增强了 C10 的细胞毒性。此外,C10 增加了固醇调节元件结合蛋白 2(SREBP2)和低密度脂蛋白受体(LDLR),这两种蛋白都被发现是内质网应激激活的生存因子。此外,用辛伐他汀抑制 S2L 适应反应的下游过程导致与 C10 联合治疗的协同治疗效果。值得注意的是,S2L 缀合物保留了母体配体的内质网应激反应,表明胆固醇稳态参与了药物缀合物的整体细胞毒性。基于这些发现,我们得出结论,S2L 介导的细胞死亡是由于游离胆固醇积累导致内质网应激。因此,建议通过同时使用内质网应激诱导剂或辛伐他汀来增强 S2L 药物缀合物的细胞毒性谱,这些策略可能是肿瘤消除道路上的重要工具。

https://cdn.ncbi.nlm.nih.gov/pmc/blobs/baa1/11066049/cb64f1417670/41419_2024_6693_Fig1_HTML.jpg

文献AI研究员

20分钟写一篇综述,助力文献阅读效率提升50倍。

立即体验

用中文搜PubMed

大模型驱动的PubMed中文搜索引擎

马上搜索

文档翻译

学术文献翻译模型,支持多种主流文档格式。

立即体验