Suppr超能文献

采用慢病毒载体表达合成 PD1/CD28 融合受体的基因工程 CLDN18.2 CAR-T 细胞。

Genetically Engineered CLDN18.2 CAR-T Cells Expressing Synthetic PD1/CD28 Fusion Receptors Produced Using a Lentiviral Vector.

机构信息

CARBio Therapeutics Co., Ltd., Cheongju, 28160, Republic of Korea.

出版信息

J Microbiol. 2024 Jul;62(7):555-568. doi: 10.1007/s12275-024-00133-0. Epub 2024 May 3.

Abstract

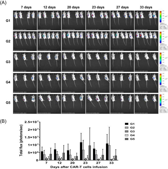
This study aimed to develop synthetic Claudin18.2 (CLDN18.2) chimeric antigen receptor (CAR)-T (CAR-T) cells as a treatment for advanced gastric cancer using lentiviral vector genetic engineering technology that targets the CLDN18.2 antigen and simultaneously overcomes the immunosuppressive environment caused by programmed cell death protein 1 (PD-1). Synthetic CAR T cells are a promising approach in cancer immunotherapy but face many challenges in solid tumors. One of the major problems is immunosuppression caused by PD-1. CLDN18.2, a gastric-specific membrane protein, is considered a potential therapeutic target for gastric and other cancers. In our study, CLDN18.2 CAR was a second-generation CAR with inducible T-cell costimulatory (CD278), and CLDN18.2-PD1/CD28 CAR was a third-generation CAR, wherein the synthetic PD1/CD28 chimeric-switch receptor (CSR) was added to the second-generation CAR. In vitro, we detected the secretion levels of different cytokines and the killing ability of CAR-T cells. We found that the secretion of cytokines such as interferon-gamma (IFN-γ) and tumor necrosis factor-alpha (TNF-α) secreted by three types of CAR-T cells was increased, and the killing ability against CLDN18.2-positive GC cells was enhanced. In vivo, we established a xenograft GC model and observed the antitumor effects and off-target toxicity of CAR-T cells. These results support that synthetic anti-CLDN18.2 CAR-T cells have antitumor effect and anti-CLDN18.2-PD1/CD28 CAR could provide a promising design strategy to improve the efficacy of CAR-T cells in advanced gastric cancer.

摘要

本研究旨在利用靶向 CLDN18.2 抗原的慢病毒载体基因工程技术,开发合成 Claudin18.2(CLDN18.2)嵌合抗原受体(CAR)-T(CAR-T)细胞,作为治疗晚期胃癌的方法,同时克服程序性细胞死亡蛋白 1(PD-1)引起的免疫抑制环境。合成 CAR-T 细胞是癌症免疫治疗的一种有前途的方法,但在实体瘤中面临许多挑战。其中一个主要问题是 PD-1 引起的免疫抑制。CLDN18.2 是一种胃特异性膜蛋白,被认为是胃癌和其他癌症的潜在治疗靶点。在我们的研究中,CLDN18.2 CAR 是第二代 CAR,具有诱导性 T 细胞共刺激(CD278),而 CLDN18.2-PD1/CD28 CAR 是第三代 CAR,其中第二代 CAR 中添加了合成的 PD1/CD28 嵌合开关受体(CSR)。在体外,我们检测了不同细胞因子的分泌水平和 CAR-T 细胞的杀伤能力。我们发现三种类型的 CAR-T 细胞分泌的细胞因子如干扰素-γ(IFN-γ)和肿瘤坏死因子-α(TNF-α)的分泌增加,对 CLDN18.2 阳性 GC 细胞的杀伤能力增强。在体内,我们建立了异种移植 GC 模型,观察了 CAR-T 细胞的抗肿瘤作用和脱靶毒性。这些结果支持合成抗-CLDN18.2 CAR-T 细胞具有抗肿瘤作用,抗-CLDN18.2-PD1/CD28 CAR 可为提高晚期胃癌 CAR-T 细胞疗效提供有前景的设计策略。

https://cdn.ncbi.nlm.nih.gov/pmc/blobs/c071/11303488/cf3bc3d83066/12275_2024_133_Fig1_HTML.jpg

文献AI研究员

20分钟写一篇综述,助力文献阅读效率提升50倍。

立即体验

用中文搜PubMed

大模型驱动的PubMed中文搜索引擎

马上搜索

文档翻译

学术文献翻译模型,支持多种主流文档格式。

立即体验