Suppr超能文献

基质细胞衍生因子激活的 CD4 T 细胞介导的病理性关节-肝脏轴。

A pathological joint-liver axis mediated by matrikine-activated CD4 T cells.

机构信息

Department of Sports Medicine of the Second Affiliated Hospital, and Liangzhu Laboratory, Zhejiang University School of Medicine, Hangzhou, China.

Dr. Li Dak Sum & Yip Yio Chin Center for Stem Cells and Regenerative Medicine, Zhejiang University School of Medicine, Hangzhou, China.

出版信息

Signal Transduct Target Ther. 2024 May 8;9(1):109. doi: 10.1038/s41392-024-01819-y.

Abstract

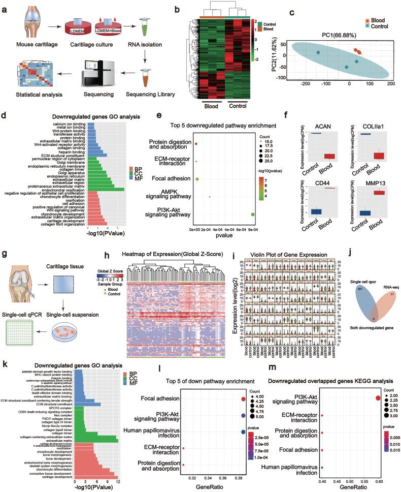
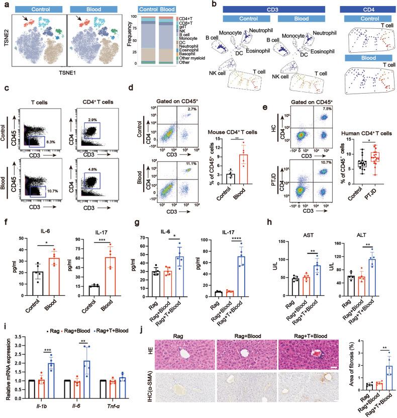
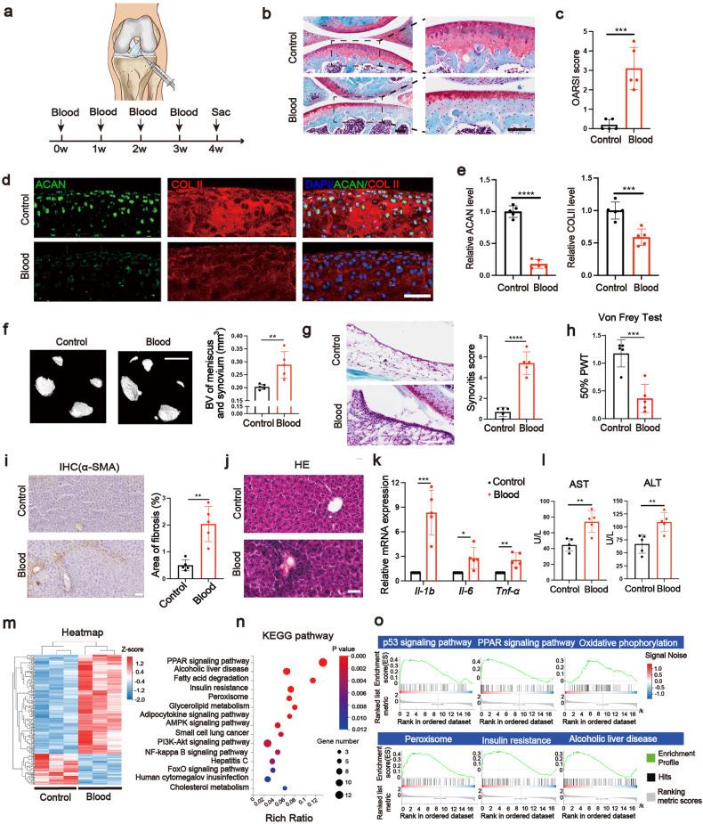
The knee joint has long been considered a closed system. The pathological effects of joint diseases on distant organs have not been investigated. Herein, our clinical data showed that post-traumatic joint damage, combined with joint bleeding (hemarthrosis), exhibits a worse liver function compared with healthy control. With mouse model, hemarthrosis induces both cartilage degeneration and remote liver damage. Next, we found that hemarthrosis induces the upregulation in ratio and differentiation towards Th17 cells of CD4 T cells in peripheral blood and spleen. Deletion of CD4 T cells reverses hemarthrosis-induced liver damage. Degeneration of cartilage matrix induced by hemarthrosis upregulates serological type II collagen (COL II), which activates CD4 T cells. Systemic application of a COL II antibody blocks the activation. Furthermore, bulk RNAseq and single-cell qPCR analysis revealed that the cartilage Akt pathway is inhibited by blood treatment. Intra-articular application of Akt activator blocks the cartilage degeneration and thus protects against the liver impairment in mouse and pig models. Taken together, our study revealed a pathological joint-liver axis mediated by matrikine-activated CD4 T cells, which refreshes the organ-crosstalk axis and provides a new treatment target for hemarthrosis-related disease. Intra-articular bleeding induces cartilage degradation through down-reulation of cartilage Akt pathway. During this process, the soluble COL II released from the damaged cartilage can activate peripheral CD4 T cells, differention into Th17 cells and secretion of IL-17, which consequently induces liver impairment. Intra-articular application of sc79 (inhibitor of Akt pathway) can prevent the cartilage damage as well as its peripheral influences.

摘要

膝关节一直被认为是一个封闭的系统。关节疾病对远处器官的病理影响尚未得到研究。在此,我们的临床数据表明,创伤后关节损伤合并关节出血(关节积血)的患者肝功能较健康对照组更差。通过小鼠模型,关节积血可诱导软骨退变和远处肝脏损伤。接下来,我们发现关节积血诱导外周血和脾脏中的 CD4 T 细胞向 Th17 细胞的比例和分化增加。CD4 T 细胞缺失可逆转关节积血诱导的肝损伤。关节积血诱导的软骨基质退变上调血清型 II 胶原(COL II),激活 CD4 T 细胞。COL II 抗体的全身应用可阻断激活。此外,批量 RNAseq 和单细胞 qPCR 分析显示,血液处理抑制了软骨中的 Akt 通路。关节内应用 Akt 激活剂可阻断软骨退变,从而在小鼠和猪模型中保护肝脏免受损伤。总之,我们的研究揭示了一种由基质细胞激活的 CD4 T 细胞介导的病理性关节-肝脏轴,该研究更新了器官串扰轴,并为关节积血相关疾病提供了新的治疗靶点。关节内出血通过下调软骨 Akt 通路诱导软骨降解。在此过程中,受损软骨释放的可溶性 COL II 可激活外周 CD4 T 细胞,分化为 Th17 细胞并分泌 IL-17,从而导致肝脏损伤。关节内应用 sc79(Akt 通路抑制剂)可预防软骨损伤及其外周影响。

https://cdn.ncbi.nlm.nih.gov/pmc/blobs/b31b/11076293/ff7162f08657/41392_2024_1819_Figa_HTML.jpg

文献AI研究员

20分钟写一篇综述,助力文献阅读效率提升50倍。

立即体验

用中文搜PubMed

大模型驱动的PubMed中文搜索引擎

马上搜索

文档翻译

学术文献翻译模型,支持多种主流文档格式。

立即体验