Suppr超能文献

气管支气管形态计量学与危重症患者的人口统计学特征和感染相关。

TRACHEOBRONCHIAL MORPHOMETRY CORRELATES WITH DEMOGRAPHIC CHARACTERISTICS AND INFECTIONS IN CRITICALLY ILL PATIENTS.

机构信息

Department of Anesthesiology and ICU, Osijek University Hospital, Osijek, Croatia.

Department of Radiology, Osijek University Hospital, Osijek, Croatia.

出版信息

Acta Clin Croat. 2023 Apr;62(Suppl1):63-74. doi: 10.20471/acc.2023.62.s1.08.

Abstract

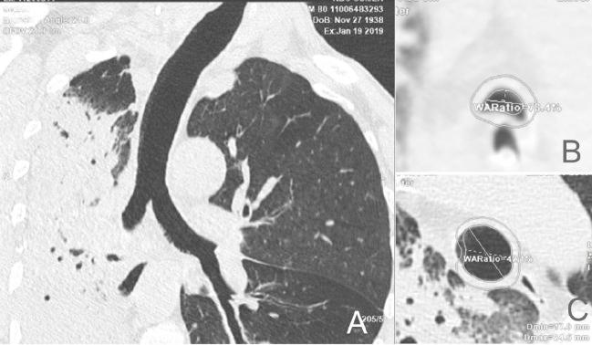
Tracheal measurements in the intensive care unit (ICU) are important for the choice of endotracheal tube and may correlate with patient demographic characteristics and infections. The study included 42 surgical patients, age 60 [48-71] years, who underwent diagnostic chest computed tomography (CT) scans during treatment in the ICU, Osijek University Hospital, in 2019 and 2020. CT scans were analyzed using AW Server 3.2. Measurement analysis showed that the diameters of the tracheobronchial tree, the length of the trachea and left main bronchus were significantly larger in men compared to women (p<0.05 all). The smallest tracheal upper diameter was 15.25 [IQR 11.8-18.8] mm vs. 17.95 [13.55-20.05] mm in septic and nonseptic patients, respectively (p=0.028). A total of 26 patients who underwent CT scans developed nosocomial pneumonia. It was right-sided in 15, left-sided in 6 and bilateral in 5 patients, and correlated significantly with the left main bronchus length (ρ=0.515, p=0.007). No correlation was observed between tracheobronchial measurements and length of ICU treatment, number of hours spent on mechanical ventilation, or survival. A larger study could provide better data on the importance of tracheobronchial tree measurements in ICU patients.

摘要

重症监护病房(ICU)的气管测量对于选择气管内管非常重要,并且可能与患者的人口统计学特征和感染有关。本研究纳入了 2019 年至 2020 年期间在奥西耶克大学医院 ICU 接受治疗的 42 名外科患者,年龄 60 [48-71] 岁,他们接受了诊断性胸部计算机断层扫描(CT)检查。使用 AW Server 3.2 分析 CT 扫描。测量分析表明,与女性相比,男性的气管支气管树直径、气管和左主支气管长度明显更大(p<0.05 均)。发生脓毒症和非脓毒症的患者,气管上段最小直径分别为 15.25 [IQR 11.8-18.8] mm 和 17.95 [13.55-20.05] mm(p=0.028)。总共 26 名接受 CT 扫描的患者发生了医院获得性肺炎。右侧 15 例,左侧 6 例,双侧 5 例,与左主支气管长度显著相关(ρ=0.515,p=0.007)。气管支气管测量与 ICU 治疗时间、机械通气时间或生存率之间无相关性。更大的研究可以提供 ICU 患者气管支气管树测量重要性的更好数据。

https://cdn.ncbi.nlm.nih.gov/pmc/blobs/888a/11090236/fca975fc0099/acc-62_supp1-63-f1.jpg

文献AI研究员

20分钟写一篇综述,助力文献阅读效率提升50倍。

立即体验

用中文搜PubMed

大模型驱动的PubMed中文搜索引擎

马上搜索

文档翻译

学术文献翻译模型,支持多种主流文档格式。

立即体验