Suppr超能文献

茵陈蒿酸通过 TAK1-MAPK/NF-κB 和 Keap1-Nrf2-HO-1 信号通路抑制巨噬细胞中的急性肺损伤和炎症反应。

Echinatin attenuates acute lung injury and inflammatory responses via TAK1-MAPK/NF-κB and Keap1-Nrf2-HO-1 signaling pathways in macrophages.

机构信息

State Key Laboratory of Southwestern Chinese Medicine Resources, School of Pharmacy/School of Modern Chinese Medicine Industry, Chengdu University of Traditional Chinese Medicine, Chengdu, China.

Hospital of Chengdu University of Traditional Chinese Medicine, Chengdu, China.

出版信息

PLoS One. 2024 May 16;19(5):e0303556. doi: 10.1371/journal.pone.0303556. eCollection 2024.

Abstract

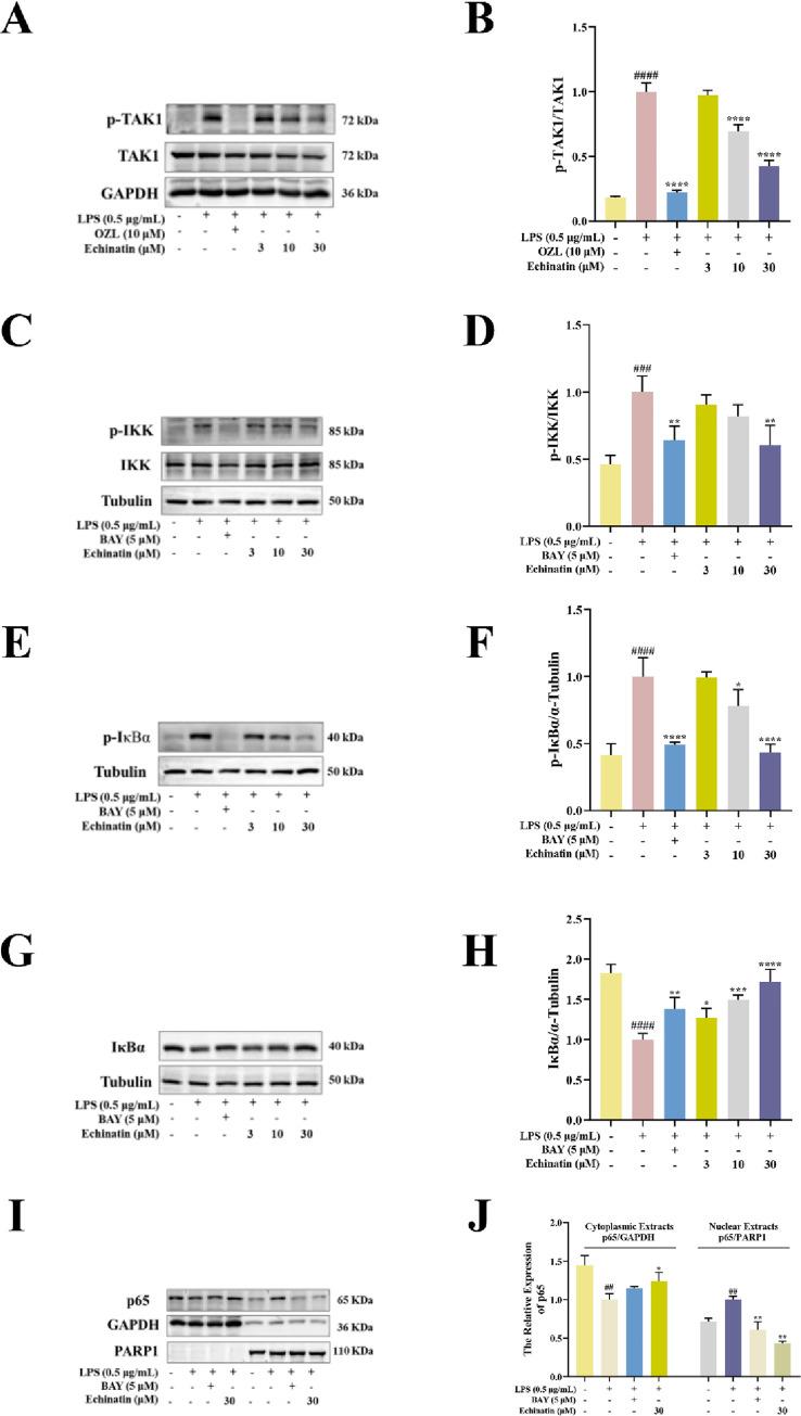
Echinatin is an active ingredient in licorice, a traditional Chinese medicine used in the treatment of inflammatory disorders. However, the protective effect and underlying mechanism of echinatin against acute lung injury (ALI) is still unclear. Herein, we aimed to explore echinatin-mediated anti-inflammatory effects on lipopolysaccharide (LPS)-stimulated ALI and its molecular mechanisms in macrophages. In vitro, echinatin markedly decreased the levels of nitric oxide (NO) and prostaglandin E2 (PGE2) in LPS-stimulated murine MH-S alveolar macrophages and RAW264.7 macrophages by suppressing inducible nitric oxide synthase and cyclooxygenase-2 (COX-2) expression. Furthermore, echinatin reduced LPS-induced mRNA expression and release of interleukin-1β (IL-1β) and IL-6 in RAW264.7 cells. Western blotting and CETSA showed that echinatin repressed LPS-induced activation of mitogen-activated protein kinase (MAPK) and nuclear factor-kappa B (NF-κB) pathways through targeting transforming growth factor-beta-activated kinase 1 (TAK1). Furthermore, echinatin directly interacted with Kelch-like ECH-associated protein 1 (Keap1) and activated the nuclear factor erythroid 2-related factor 2 (Nrf2) pathway to enhance heme oxygenase-1 (HO-1) expression. In vivo, echinatin ameliorated LPS-induced lung inflammatory injury, and reduced production of IL-1β and IL-6. These findings demonstrated that echinatin exerted anti-inflammatory effects in vitro and in vivo, via blocking the TAK1-MAPK/NF-κB pathway and activating the Keap1-Nrf2-HO-1 pathway.

摘要

刺甘草查尔酮是甘草中的一种活性成分,甘草是一种传统的中药,用于治疗炎症性疾病。然而,刺甘草查尔酮对急性肺损伤(ALI)的保护作用及其机制尚不清楚。在此,我们旨在探讨刺甘草查尔酮对脂多糖(LPS)刺激的 ALI 的抗炎作用及其在巨噬细胞中的分子机制。在体外,刺甘草查尔酮通过抑制诱导型一氧化氮合酶和环氧化酶-2(COX-2)的表达,显著降低 LPS 刺激的鼠 MH-S 肺泡巨噬细胞和 RAW264.7 巨噬细胞中一氧化氮(NO)和前列腺素 E2(PGE2)的水平。此外,刺甘草查尔酮降低了 LPS 诱导的 RAW264.7 细胞中白细胞介素-1β(IL-1β)和 IL-6 的 mRNA 表达和释放。Western blot 和 CETSA 显示,刺甘草查尔酮通过靶向转化生长因子-β激活激酶 1(TAK1)抑制 LPS 诱导的丝裂原活化蛋白激酶(MAPK)和核因子-κB(NF-κB)途径的激活。此外,刺甘草查尔酮直接与 Kelch-like ECH-associated protein 1(Keap1)相互作用,激活核因子红细胞 2 相关因子 2(Nrf2)途径,增强血红素加氧酶-1(HO-1)的表达。在体内,刺甘草查尔酮改善了 LPS 诱导的肺炎症性损伤,降低了 IL-1β和 IL-6 的产生。这些发现表明,刺甘草查尔酮通过阻断 TAK1-MAPK/NF-κB 途径和激活 Keap1-Nrf2-HO-1 途径,在体外和体内发挥抗炎作用。

https://cdn.ncbi.nlm.nih.gov/pmc/blobs/1645/11098428/23e411e7f861/pone.0303556.g001.jpg

文献AI研究员

20分钟写一篇综述,助力文献阅读效率提升50倍。

立即体验

用中文搜PubMed

大模型驱动的PubMed中文搜索引擎

马上搜索

文档翻译

学术文献翻译模型,支持多种主流文档格式。

立即体验