Suppr超能文献

标准或 Fin SIGN®钉?对于中低收入国家的股骨骨折治疗,哪种选择更好?

Standard or Fin SIGN® nail? which option is better for the treatment of femoral fractures in low and middle-income countries?

机构信息

Emergency Surgery Centre, Goderich-Freetown, Sierra Leone.

Department of Orthopedics, University Hospital of Jaen, 23009, Jaen City, Spain.

出版信息

Int Orthop. 2024 Aug;48(8):2179-2187. doi: 10.1007/s00264-024-06192-7. Epub 2024 May 18.

Abstract

PURPOSE

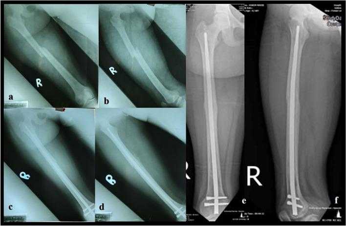
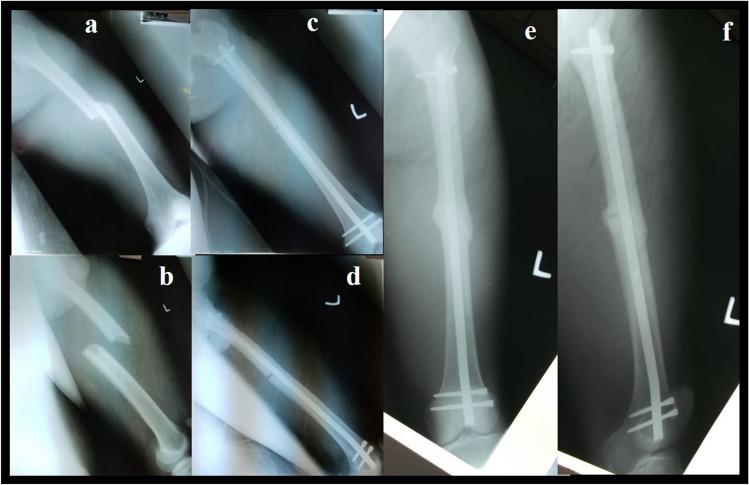
Femoral fractures are common in low and middle-income countries (LMIC), predominantly caused by high-energy trauma. The surgical implant generation network (SIGN®) program offers two different intramedullary nails in LMIC which are designed to be used without image intensifier free of charge for the patients: the SIGN standard nail (SSN®) and the SIGN Fin nail (SFN®). This study aimed to compare the results of the SSN® and the SFN® for the treatment of middle and distal shaft femoral fractures through a retrograde approach.

MATERIAL AND METHODS

This was a retrospective, descriptive, and non-experimental study including all consecutive patients who underwent surgical management of middle or distal shaft femoral fracture between January 2017 and May 2022 in an NGO hospital located in Freetown, Sierra Leone. The duration of surgery, type of reduction, complications like screw loosening, implant migration, anterior knee pain and non-union rate at six months of follow up were evaluated.

RESULTS

A total of 122 patients were included in the study. Group A: 60 patients were managed with SSN® and Group B: 62 patients with SFN®. The mean operative time was 104 min with SSN® and 78 with SFN® (p < 0.001). Open reduction of the fracture was necessary in ten (16.7%) patients with SSN® and 12 (19.4%) patients treated with SFN® (p = 0.69). Non-union was observed in one (1.7%) patient with SSN® and two (3.2%) patients with SFN® (p = 0.57).

CONCLUSIONS

Both options seem equally effective in treating midshaft and distal femoral shaft fractures. The SFN® reduces the surgical time, due to this fact, in polytraumatized patients, patients with bilateral femur fracture or patients with ipsilateral tibia fracture, it can be considered as the best option to be used. There was no statistical difference in the complications presented by the two groups.

摘要

目的

股骨骨折在中低收入国家(LMIC)很常见,主要由高能创伤引起。外科植入物生成网络(SIGN®)计划在 LMIC 中提供两种不同的髓内钉,这些髓内钉设计为无需使用影像增强器免费提供给患者使用:SIGN 标准钉(SSN®)和 SIGN 细钉(SFN®)。本研究旨在通过逆行入路比较 SSN®和 SFN®治疗股骨干中段和远段骨折的结果。

材料和方法

这是一项回顾性、描述性和非实验性研究,纳入了 2017 年 1 月至 2022 年 5 月期间在塞拉利昂弗里敦的一家非政府组织医院接受股骨干中段或远段骨折手术治疗的所有连续患者。评估了手术持续时间、复位类型、螺钉松动、植入物迁移、前膝疼痛和 6 个月随访时的非愈合率等并发症。

结果

共有 122 名患者纳入研究。A 组:60 例患者采用 SSN®治疗,B 组:62 例患者采用 SFN®治疗。SSN®的平均手术时间为 104 分钟,SFN®为 78 分钟(p<0.001)。需要开放复位的骨折在采用 SSN®治疗的 10 例(16.7%)患者和采用 SFN®治疗的 12 例(19.4%)患者中(p=0.69)。采用 SSN®治疗的 1 例(1.7%)患者和采用 SFN®治疗的 2 例(3.2%)患者出现非愈合(p=0.57)。

结论

这两种选择似乎在治疗股骨干中段和远段骨折方面同样有效。SFN®由于手术时间较短,因此在多发创伤患者、双侧股骨骨折患者或同侧胫骨骨折患者中,可以考虑作为首选。两组患者的并发症无统计学差异。

https://cdn.ncbi.nlm.nih.gov/pmc/blobs/2228/11246262/5bf5a24f8ae2/264_2024_6192_Fig1_HTML.jpg

文献AI研究员

20分钟写一篇综述,助力文献阅读效率提升50倍。

立即体验

用中文搜PubMed

大模型驱动的PubMed中文搜索引擎

马上搜索

文档翻译

学术文献翻译模型,支持多种主流文档格式。

立即体验