Suppr超能文献

上皮-间充质转化(EMT)相关标志物的表达与结直肠癌的肿瘤学结局的关系。

Association between the expression of epithelial-mesenchymal transition (EMT)-related markers and oncologic outcomes of colorectal cancer.

机构信息

Pathology Department, Faculty of Medicine, Mansoura University, Mansoura, Egypt.

Colorectal Surgery Unit, General Surgery Department, Mansoura University Hospitals, Mansoura University, 60 El-Gomhouria Street, Mansoura, 35516, Dakahlia, Egypt.

出版信息

Updates Surg. 2024 Oct;76(6):2181-2191. doi: 10.1007/s13304-024-01865-9. Epub 2024 May 18.

Abstract

BACKGROUND

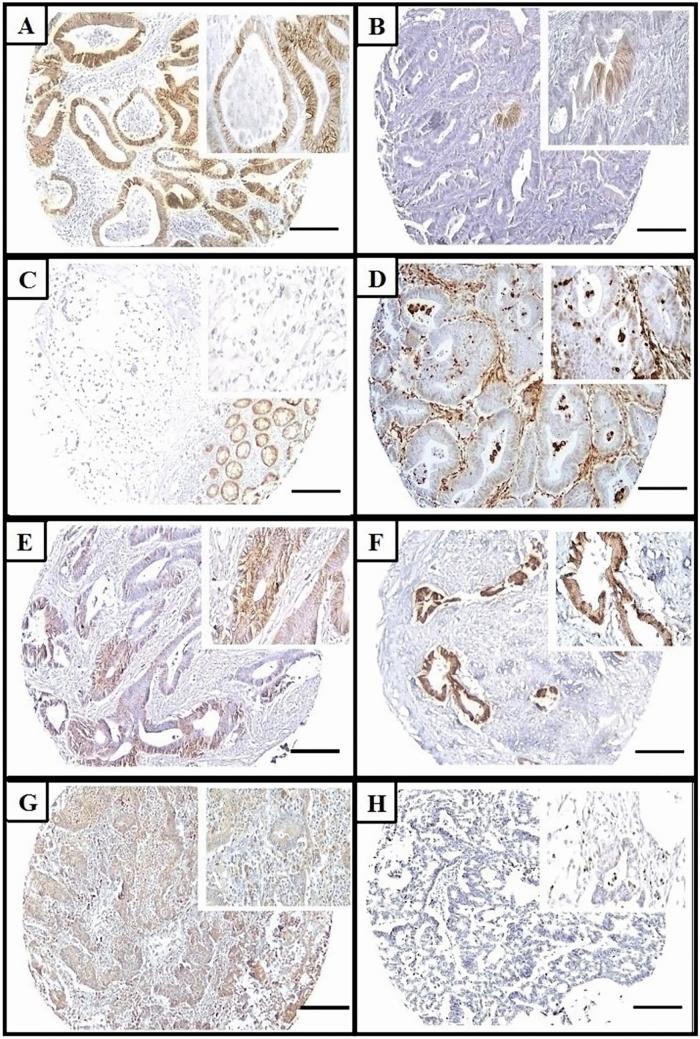
Epithelial-mesenchymal transition (EMT) is a key step in the development of colorectal cancer (CRC) that confers metastatic capabilities to cancer cells. The present study aimed to assess the immunohistochemical (IHC) expression and impact of EMT markers, including E-cadherin, Vimentin, β-catenin, and SMAD4, on the oncologic outcomes of CRC.

METHODS

This was a retrospective review of 118 CRC patients. Tissue slides were retrieved from the slide archive and five tissue microarray construction blocks were constructed. IHC for E-cadherin, Vimentin, β-catenin, and SMAD4 was done. The main outcome was the association between abnormal marker expression and overall survival (OS), and disease-free survival (DFS).

RESULTS

Adenocarcinomas accounted for 71.2% of tumors, whereas 25.4% and 3.4% were mucinous and signet ring cell carcinomas. The rates of lymphovascular invasion and perineural invasion were 72.9% and 20.3%, respectively. There was a positive, significant correlation, and association between the four markers. Abnormal expression of E-cadherin was associated with significantly lower OS (p < 0.0001) and similar DFS (p = 0.06). Abnormal Vimentin expression was associated with a significantly higher rate of distant metastasis (p = 0.005) and significantly lower OS and DFS (p < 0.0001). Abnormal expression of β-catenin was associated with significantly lower OS (p < 0.0001) and similar DFS (p = 0.15). Abnormal expression of SMAD4 was associated with significantly lower OS and DFS (p < 0.0001). Abnormal expression of all four markers was associated with a higher disease recurrence, lower OS, and lower DFS.

CONCLUSION

Abnormal expression of each marker was associated with lower OS, whereas abnormal expression of Vimentin and SMAD4 only was associated with lower DFS.

摘要

背景

上皮-间充质转化(EMT)是结直肠癌(CRC)发展的关键步骤,赋予癌细胞转移能力。本研究旨在评估 EMT 标志物(包括 E-钙黏蛋白、波形蛋白、β-连环蛋白和 SMAD4)的免疫组织化学(IHC)表达及其对 CRC 肿瘤学结果的影响。

方法

这是对 118 例 CRC 患者的回顾性研究。从切片档案中检索组织切片,并构建了 5 个组织微阵列构建块。进行了 E-钙黏蛋白、波形蛋白、β-连环蛋白和 SMAD4 的 IHC。主要结局是异常标志物表达与总生存(OS)和无病生存(DFS)之间的关联。

结果

腺癌占肿瘤的 71.2%,黏液腺癌和印戒细胞癌分别占 25.4%和 3.4%。淋巴管侵犯和神经周围侵犯的发生率分别为 72.9%和 20.3%。四种标志物之间存在正相关和关联。E-钙黏蛋白异常表达与 OS 显著降低相关(p<0.0001),DFS 相似(p=0.06)。波形蛋白异常表达与远处转移率显著升高相关(p=0.005),OS 和 DFS 显著降低(p<0.0001)。β-连环蛋白异常表达与 OS 显著降低相关(p<0.0001),DFS 相似(p=0.15)。SMAD4 异常表达与 OS 和 DFS 显著降低相关(p<0.0001)。四种标志物异常表达与疾病复发率升高、OS 降低和 DFS 降低相关。

结论

每种标志物的异常表达与 OS 降低相关,而波形蛋白和 SMAD4 的异常表达仅与 DFS 降低相关。

https://cdn.ncbi.nlm.nih.gov/pmc/blobs/8703/11541317/95334cc6a631/13304_2024_1865_Fig1_HTML.jpg

文献AI研究员

20分钟写一篇综述,助力文献阅读效率提升50倍。

立即体验

用中文搜PubMed

大模型驱动的PubMed中文搜索引擎

马上搜索

文档翻译

学术文献翻译模型,支持多种主流文档格式。

立即体验