Suppr超能文献

脑转移瘤放射治疗中大体肿瘤靶区确定的进展

Advances in determining the gross tumor target volume for radiotherapy of brain metastases.

作者信息

Du Shanshan, Gong Guanzhong, Liu Rui, Meng Kangning, Yin Yong

机构信息

Department of Oncology, Affiliated Hospital of Southwest Medical University, Luzhou, Sichuan, China.

Department of Radiation Oncology Physics and Technology, Shandong Cancer Hospital and Institute, Shandong First Medical University and Shandong Academy of Medical Sciences, Jinan, China.

出版信息

Front Oncol. 2024 May 8;14:1338225. doi: 10.3389/fonc.2024.1338225. eCollection 2024.

Abstract

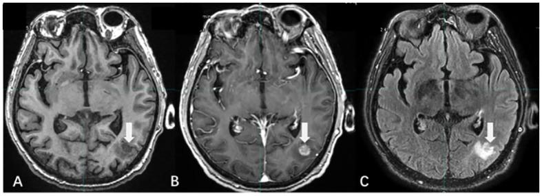
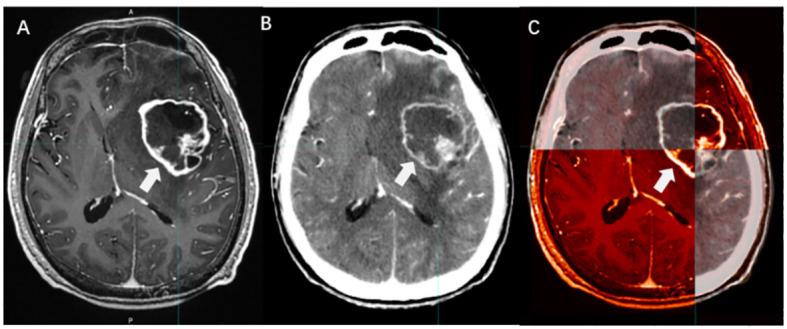
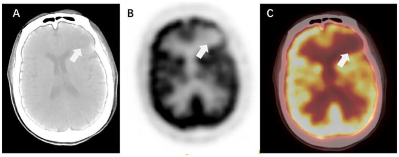
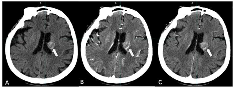
Brain metastases (BMs) are the most prevalent intracranial malignant tumors in adults and are the leading cause of mortality attributed to malignant brain diseases. Radiotherapy (RT) plays a critical role in the treatment of BMs, with local RT techniques such as stereotactic radiosurgery (SRS)/stereotactic body radiotherapy (SBRT) showing remarkable therapeutic effectiveness. The precise determination of gross tumor target volume (GTV) is crucial for ensuring the effectiveness of SRS/SBRT. Multimodal imaging techniques such as CT, MRI, and PET are extensively used for the diagnosis of BMs and GTV determination. With the development of functional imaging and artificial intelligence (AI) technology, there are more innovative ways to determine GTV for BMs, which significantly improve the accuracy and efficiency of the determination. This article provides an overview of the progress in GTV determination for RT in BMs.

摘要

脑转移瘤(BMs)是成人中最常见的颅内恶性肿瘤,也是恶性脑疾病致死的主要原因。放射治疗(RT)在BMs的治疗中起着关键作用,立体定向放射外科(SRS)/立体定向体部放疗(SBRT)等局部RT技术显示出显著的治疗效果。准确确定肿瘤大体靶体积(GTV)对于确保SRS/SBRT的有效性至关重要。CT、MRI和PET等多模态成像技术广泛用于BMs的诊断和GTV的确定。随着功能成像和人工智能(AI)技术的发展,有更多创新方法来确定BMs的GTV,这显著提高了确定的准确性和效率。本文概述了BMs放射治疗中GTV确定的进展。

https://cdn.ncbi.nlm.nih.gov/pmc/blobs/ca0b/11109437/6b50a15010ac/fonc-14-1338225-g001.jpg

文献AI研究员

20分钟写一篇综述,助力文献阅读效率提升50倍。

立即体验

用中文搜PubMed

大模型驱动的PubMed中文搜索引擎

马上搜索

文档翻译

学术文献翻译模型,支持多种主流文档格式。

立即体验