Suppr超能文献

通过在植物性饲料中联合添加胆固醇和胆汁酸来促进罗非鱼的生长、肝脏健康和胆汁酸代谢。

Enhancing growth, liver health, and bile acid metabolism of tilapia () through combined cholesterol and bile acid supplementation in plant-based diets.

作者信息

Jiang Jiayuan, Lu Xing, Dong Lixue, Tian Juan, Zhang Jianmin, Guo Zhongbao, Luo Yongju, Cui Zongbin, Wen Hua, Jiang Ming

机构信息

College of Fisheries and Life Science, Shanghai Ocean University, Shanghai, China.

Yangtze River Fisheries Research Institute, Chinese Academy of Fishery Sciences, Wuhan, China.

出版信息

Anim Nutr. 2024 Mar 8;17:335-346. doi: 10.1016/j.aninu.2024.03.001. eCollection 2024 Jun.

Abstract

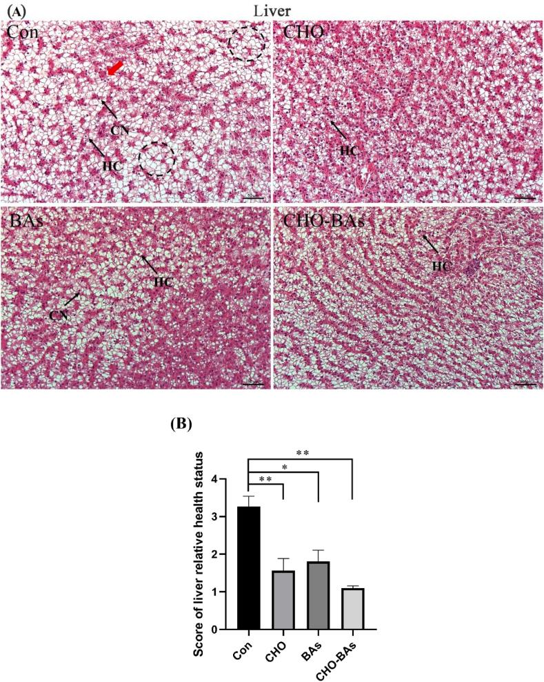
The present study aimed to compare the nutritional effects of cholesterol, bile acids, and combination of cholesterol with bile acids in plant-based diets on juvenile genetically improved farmed tilapia (GIFT; ). The isonitrogenous (321 g/kg crude protein) and isolipidic (76 g/kg crude fat) diets (Con diet) were based on plant protein sources, which included corn gluten meal, soybean meal, cottonseed meal and rapeseed meal. The Con diet was supplemented with 12 g/kg cholesterol (CHO diet), 0.2 g/kg bile acids (BAs diet), a combination of 12 g/kg cholesterol and 0.2 g/kg bile acids (CHO-BAs diet), respectively. Each diet was fed to three tanks in an indoor recirculating aquaculture system for 9 weeks. Results showed that compared to the Con group, fish had a higher weight gain rate, hepatosomatic index, and a lower feed conversion ratio in the CHO-BAs group. The highest levels of whole-fish fat and ash were found in the Con group. Serum parameters, including activities of alanine aminotransferase (ALT) and aspartate transaminase (AST), along with levels of glucose (GLU) and triglyceride (TG) except for total cholesterol (TCHO), were lower in the CHO, BAs, and CHO-BAs groups than those in the Con group ( < 0.001). Histological examination revealed that fish in the Con group exhibited severe hepatocyte vacuolization and diminished hepatocyte proliferation. Gene expression analysis indicated that the transcriptional levels of bile acid metabolism-related genes (including , , ) were up-regulated in the CHO-BAs group ( < 0.05), whereas cholesterol metabolism-related genes ( and ) were down-regulated in both CHO and CHO-BAs groups ( < 0.001). Moreover, UPLC-MS/MS analysis revealed that the higher taurine-conjugated bile acids (T-BAs), followed by free bile acids (Free-BAs) and glycine (G-BAs) were determined in tilapia bile. Among these, taurochenodeoxycholic bile acid was the predominant bile acid. Dietary bile acids supplementation also increased the proportion of T-BAs (tauro β-muricholic acid and taurodehydrocholic acid) while decreasing Free-BAs in the fish bile. In conclusion, the incorporation of cholesterol with bile acids into plant-based diets can effectively reduce cholesterol uptake, suppress bile acids synthesis, enhance bile acids efflux, and promote hepatocyte proliferation, which is helpful for maintaining the normal liver morphology in tilapia, and thus improving its growth performance.

摘要

本研究旨在比较植物性日粮中胆固醇、胆汁酸以及胆固醇与胆汁酸组合对幼年遗传改良养殖罗非鱼(GIFT)的营养效应。等氮(321 g/kg粗蛋白)和等脂(76 g/kg粗脂肪)日粮(对照日粮)以植物蛋白源为基础,包括玉米蛋白粉、豆粕、棉籽粕和菜籽粕。对照日粮分别补充12 g/kg胆固醇(CHO日粮)、0.2 g/kg胆汁酸(BAs日粮)、12 g/kg胆固醇与0.2 g/kg胆汁酸的组合(CHO - BAs日粮)。每种日粮投喂于室内循环水养殖系统中的三个水箱,为期9周。结果表明,与对照组相比,CHO - BAs组的鱼具有更高的增重率、肝体指数和更低的饲料转化率。对照组全鱼脂肪和灰分含量最高。CHO组、BAs组和CHO - BAs组血清参数,包括丙氨酸氨基转移酶(ALT)和天冬氨酸氨基转移酶(AST)活性以及葡萄糖(GLU)和甘油三酯(TG)水平(总胆固醇(TCHO)除外)均低于对照组(P < 0.001)。组织学检查显示,对照组的鱼表现出严重的肝细胞空泡化和肝细胞增殖减少。基因表达分析表明,CHO - BAs组中胆汁酸代谢相关基因(包括……)的转录水平上调(P < 0.05),而CHO组和CHO - BAs组中胆固醇代谢相关基因(……和……)均下调(P < 0.001)。此外,超高效液相色谱 - 串联质谱(UPLC - MS/MS)分析显示,罗非鱼胆汁中检测到较高含量的牛磺酸结合型胆汁酸(T - BAs),其次是游离胆汁酸(Free - BAs)和甘氨酸结合型胆汁酸(G - BAs)。其中,牛磺鹅去氧胆酸是主要的胆汁酸。日粮中添加胆汁酸还增加了鱼胆汁中T - BAs(牛磺β - 鼠胆酸和牛磺去氢胆酸)的比例,同时降低了Free - BAs。总之,在植物性日粮中添加胆固醇和胆汁酸可有效减少胆固醇摄取,抑制胆汁酸合成,增强胆汁酸外排,并促进肝细胞增殖,这有助于维持罗非鱼肝脏的正常形态,从而提高其生长性能。

https://cdn.ncbi.nlm.nih.gov/pmc/blobs/4229/11127100/262a5e1147db/gr1.jpg

文献AI研究员

20分钟写一篇综述,助力文献阅读效率提升50倍。

立即体验

用中文搜PubMed

大模型驱动的PubMed中文搜索引擎

马上搜索

文档翻译

学术文献翻译模型,支持多种主流文档格式。

立即体验