Suppr超能文献

基于 RPA-CRISPR/Cas12a-LFA 联合数字可视化仪器检测中国浙江省流浪犬猫中的 。

RPA-CRISPR/Cas12a-LFA combined with a digital visualization instrument to detect in stray dogs and cats in Zhejiang province, China.

机构信息

Laboratory of Pathogen Biology, School of Basic Medicine and Forensics, Hangzhou Medical College, Hangzhou, China.

Research Center of Novel Vaccine of Zhejiang Province, School of Basic Medicine and Forensics, Hangzhou Medical College, Hangzhou, China.

出版信息

Microbiol Spectr. 2024 Jul 2;12(7):e0399823. doi: 10.1128/spectrum.03998-23. Epub 2024 May 29.

Abstract

UNLABELLED

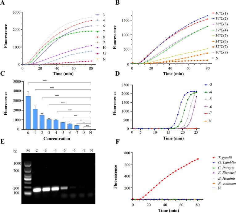
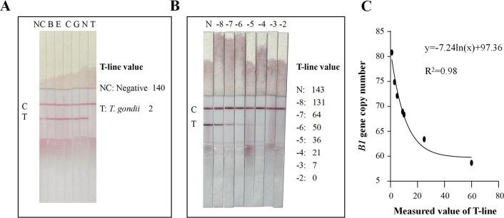
, which causes toxoplasmosis, is prevalent in warm-blooded animals, such as cats, dogs, and humans. causes economic losses to livestock production and represents a potential risk to public health. Dogs and cats are common hosts in the epidemiology of toxoplasmosis. The current molecular diagnostic tools for infection require high technical skills, a laboratory environment, and complex instruments. Herein, we developed a recombinase polymerase amplification (RPA)-clustered regularly interspaced short palindromic repeats (CRISPR)/CRISPR-associated protein 12a (Cas12a) assay to detect . The lowest limit of detection of the assay was 31 copies/μL for the gene. In addition, we established a visual RPA-CRISPR/Cas12a lateral flow band assay (RPA-CRISPR/Cas12a-LFA) combined with a digital visualization instrument, which minimized the problem of false-negative results for weakly positive samples and avoided misinterpretation of the results by the naked eye, making the LFA assay results more accurate. The assay established in this study could identify within 55 min with high accuracy and sensitivity, without cross-reaction with other tested parasites. The developed assay was validated by establishing a mouse model of toxoplasmosis. Finally, the developed assay was used to investigate the prevalence of in stray cats and dogs in Zhejiang province, Eastern China. The positive rates of infection in stray cats and dogs were 8.0% and 4.0%, respectively. In conclusion, the RPA-CRISPR/Cas12a-LFA is rapid, sensitive, and accurate for the early diagnosis of , showing promise for on-site surveillance.

IMPORTANCE

is a virulent pathogen that puts millions of infected people at risk of chronic disease reactivation. Hosts of are distributed worldwide, and cats and dogs are common hosts of . Therefore, rapid diagnosis of early infection and investigation of its prevalence in stray dogs and cats are essential. Here, we established a visual recombinase polymerase amplification-clustered regularly interspaced short palindromic repeats (CRISPR)/CRISPR-associated protein 12a-assay combined with a lateral flow band assay and a digital visualization instrument. Detailed analyses found that the assay could be used for the early diagnosis of without false-negative results. Moreover, we detected the prevalence of in stray cats and dogs in Zhejiang province, China. Our developed assay provides technical support for the early diagnosis of and could be applied in prevalence surveys of in stray dogs and cats.

摘要

未加标签

弓形虫病是一种由弓形虫引起的疾病,这种寄生虫普遍存在于温血动物中,如猫、狗和人类。它给畜牧业生产造成了经济损失,也代表了对公共卫生的潜在威胁。狗和猫是弓形虫病流行病学中的常见宿主。目前用于 感染的分子诊断工具需要较高的技术技能、实验室环境和复杂的仪器。在此,我们开发了一种重组酶聚合酶扩增(RPA)-成簇规律间隔短回文重复(CRISPR)/CRISPR 相关蛋白 12a(Cas12a)检测法来检测 。该检测方法对基因的最低检测限为 31 拷贝/μL。此外,我们建立了一种可视化 RPA-CRISPR/Cas12a 侧流带检测法(RPA-CRISPR/Cas12a-LFA),结合数字可视化仪器,最大限度地减少了弱阳性样本假阴性结果的问题,并避免了肉眼对结果的误判,使 LFA 检测结果更加准确。该研究建立的检测方法可以在 55 分钟内准确、灵敏地识别 ,与其他测试寄生虫无交叉反应。通过建立弓形虫病小鼠模型验证了该检测方法。最后,该检测方法用于调查中国东部浙江省流浪猫和狗中 的流行情况。流浪猫和狗的 感染阳性率分别为 8.0%和 4.0%。总之,RPA-CRISPR/Cas12a-LFA 快速、敏感、准确,可用于早期诊断 ,有望用于现场监测。

重要性

弓形虫病是一种毒性很强的病原体,使数百万感染该病原体的人面临慢性疾病复发的风险。弓形虫的宿主分布于世界各地,猫和狗是其常见宿主。因此,快速诊断早期 感染并调查流浪猫和狗中的感染率至关重要。在这里,我们建立了一种可视化的重组酶聚合酶扩增-成簇规律间隔短回文重复(CRISPR)/CRISPR 相关蛋白 12a 检测法,结合侧流带检测法和数字可视化仪器。详细分析发现,该检测方法可用于早期诊断 ,而不会出现假阴性结果。此外,我们还检测了中国浙江省流浪猫和狗中 的流行情况。我们开发的检测方法为 早期诊断提供了技术支持,并可应用于流浪猫和狗中 流行情况的调查。

https://cdn.ncbi.nlm.nih.gov/pmc/blobs/bfc4/11218441/a6696478c9cd/spectrum.03998-23.f001.jpg

文献AI研究员

20分钟写一篇综述,助力文献阅读效率提升50倍。

立即体验

用中文搜PubMed

大模型驱动的PubMed中文搜索引擎

马上搜索

文档翻译

学术文献翻译模型,支持多种主流文档格式。

立即体验