Suppr超能文献

骨原发性平滑肌肉瘤罕见病例——18F-氟脱氧葡萄糖正电子发射断层扫描/计算机断层扫描结果

Rare Case of Primary Leiomyosarcoma of Bone - Findings on 18F-fluorodeoxyglucose Positron Emission Tomography/Computed Tomography.

作者信息

Kumar Pramit, Singh Parneet, Parida Girish Kumar, Singhal Tejasvini, Ayyanar Pavithra, Pavithra R, Agrawal Kanhaiyalal

机构信息

Department of Nuclear Medicine, All India Institute of Medical Sciences, Bhubaneswar, Odisha, India.

Department of Pathology and Lab Medicine, All India Institute of Medical Sciences, Bhubaneswar, Odisha, India.

出版信息

Indian J Nucl Med. 2024 Jan-Feb;39(1):52-54. doi: 10.4103/ijnm.ijnm_85_23. Epub 2024 Mar 27.

Abstract

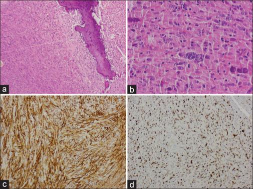
Primary leiomyosarcoma of bone (PLB) is a rare tumor, constituting <0.7% of all primary bone malignancies. It is clinically aggressive with heterogeneous presentation and a dismal prognosis. The most common presentation is pain with swelling and pathological fracture at times. Limited literature is available on PLB and only about 150 cases have been reported to date with only a few case reports defining the utility of 18F-fluorodeoxyglucose (18-F FDG) positron emission tomography/computed tomography (PET-CT) in its management. We hereby present a case of primary leiomyosarcoma of the right distal femur and the role of FDG-PET-CT in its management.

摘要

原发性骨平滑肌肉瘤(PLB)是一种罕见肿瘤,占所有原发性骨恶性肿瘤的比例不到0.7%。它在临床上具有侵袭性,表现多样,预后较差。最常见的表现是疼痛,有时伴有肿胀和病理性骨折。关于PLB的文献有限,迄今为止仅报道了约150例病例,仅有少数病例报告明确了18F-氟脱氧葡萄糖(18F-FDG)正电子发射断层扫描/计算机断层扫描(PET-CT)在其治疗中的作用。我们在此介绍一例右股骨远端原发性平滑肌肉瘤病例以及FDG-PET-CT在其治疗中的作用。

https://cdn.ncbi.nlm.nih.gov/pmc/blobs/bc19/11135369/4f196d34912b/IJNM-39-52-g001.jpg

文献AI研究员

20分钟写一篇综述,助力文献阅读效率提升50倍。

立即体验

用中文搜PubMed

大模型驱动的PubMed中文搜索引擎

马上搜索

文档翻译

学术文献翻译模型,支持多种主流文档格式。

立即体验