Suppr超能文献

艾地苯醌通过稳定铁死亡抑制蛋白1(FSP1)来减轻阿霉素诱导的心脏毒性。

Idebenone alleviates doxorubicin-induced cardiotoxicity by stabilizing FSP1 to inhibit ferroptosis.

作者信息

Qiu Hongliang, Huang Sihui, Liu Yuting, Liu Libo, Guo Fengming, Guo Yingying, Li Dan, Cen Xianfeng, Chen Yajie, Zhang Meng, Che Yan, Xu Man, Tang Qizhu

机构信息

Department of Cardiology, Renmin Hospital of Wuhan University, Wuhan 430060, China.

Hubei Key Laboratory of Metabolic and Chronic Diseases, Wuhan 430060, China.

出版信息

Acta Pharm Sin B. 2024 Jun;14(6):2581-2597. doi: 10.1016/j.apsb.2024.03.015. Epub 2024 Mar 11.

Abstract

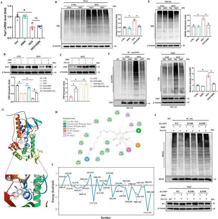
Doxorubicin (DOX)-mediated cardiotoxicity can exacerbate mortality in oncology patients, but related pharmacotherapeutic measures are relatively limited. Ferroptosis was recently identified as a major mechanism of DOX-induced cardiotoxicity. Idebenone, a novel ferroptosis inhibitor, is a well-described clinical drug widely used. However, its role and pathological mechanism in DOX-induced cardiotoxicity are still unclear. In this study, we demonstrated the effects of idebenone on DOX-induced cardiotoxicity and elucidated its underlying mechanism. A single intraperitoneal injection of DOX (15 mg/kg) was administrated to establish DOX-induced cardiotoxicity. The results showed that idebenone significantly attenuated DOX-induced cardiac dysfunction due to its ability to regulate acute DOX-induced Fe and ROS overload, which resulted in ferroptosis. CESTA and BLI further revealed that idebenone's anti-ferroptosis effect was mediated by FSP1. Interestingly, idebenone increased FSP1 protein levels but did not affect mRNA levels in the presence of DOX. Idebenone could form stable hydrogen bonds with FSP1 protein at K355, which may influence its association with ubiquitin. The results confirmed that idebenone stabilized FSP1 protein levels by inhibiting its ubiquitination degradation. In conclusion, this study demonstrates idebenone attenuated DOX-induced cardiotoxicity by inhibiting ferroptosis regulation of FSP1, making it a potential clinical drug for patients receiving DOX treatment.

摘要

阿霉素(DOX)介导的心脏毒性会加重肿瘤患者的死亡率,但相关的药物治疗措施相对有限。铁死亡最近被确定为DOX诱导心脏毒性的主要机制。艾地苯醌是一种新型铁死亡抑制剂,是一种广为人知的临床常用药物。然而,其在DOX诱导心脏毒性中的作用和病理机制仍不清楚。在本研究中,我们证明了艾地苯醌对DOX诱导心脏毒性的影响,并阐明了其潜在机制。通过单次腹腔注射DOX(15 mg/kg)来建立DOX诱导的心脏毒性。结果表明,艾地苯醌显著减轻了DOX诱导的心脏功能障碍,因为它能够调节急性DOX诱导的铁和活性氧过载,从而导致铁死亡。CESTA和BLI进一步揭示,艾地苯醌的抗铁死亡作用是由FSP1介导的。有趣的是,在存在DOX的情况下,艾地苯醌增加了FSP1蛋白水平,但不影响mRNA水平。艾地苯醌可以在K355处与FSP1蛋白形成稳定的氢键,这可能影响其与泛素的结合。结果证实,艾地苯醌通过抑制FSP1的泛素化降解来稳定其蛋白水平。总之,本研究表明艾地苯醌通过抑制铁死亡调节FSP1减轻了DOX诱导的心脏毒性,使其成为接受DOX治疗患者的潜在临床药物。

https://cdn.ncbi.nlm.nih.gov/pmc/blobs/1b5c/11143507/598dc40460a0/ga1.jpg

文献AI研究员

20分钟写一篇综述,助力文献阅读效率提升50倍。

立即体验

用中文搜PubMed

大模型驱动的PubMed中文搜索引擎

马上搜索

文档翻译

学术文献翻译模型,支持多种主流文档格式。

立即体验