Suppr超能文献

低碘剂量计算机断层扫描结合基于人工智能的对比增强技术在儿童中的应用:与常规碘剂量计算机断层扫描比较的回顾性研究

Low-iodine-dose computed tomography coupled with an artificial intelligence-based contrast-boosting technique in children: a retrospective study on comparison with conventional-iodine-dose computed tomography.

作者信息

Shin Dong-Joo, Choi Young Hun, Lee Seul Bi, Cho Yeon Jin, Lee Seunghyun, Cheon Jung-Eun

机构信息

Department of Radiology, Seoul National University Hospital, 101 Daehak-Ro, Jongno-Gu, Seoul, 03080, Republic of Korea.

Department of Radiology, Seoul National University College of Medicine, Jongno-Gu, Seoul, Republic of Korea.

出版信息

Pediatr Radiol. 2024 Jul;54(8):1315-1324. doi: 10.1007/s00247-024-05953-1. Epub 2024 Jun 5.

Abstract

BACKGROUND

Low-iodine-dose computed tomography (CT) protocols have emerged to mitigate the risks associated with contrast injection, often resulting in decreased image quality.

OBJECTIVE

To evaluate the image quality of low-iodine-dose CT combined with an artificial intelligence (AI)-based contrast-boosting technique in abdominal CT, compared to a standard-iodine-dose protocol in children.

MATERIALS AND METHODS

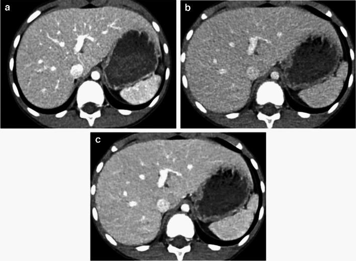
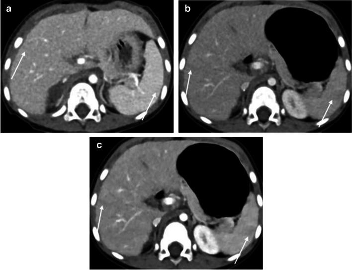
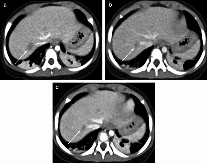
This single-center retrospective study included 35 pediatric patients (mean age 9.2 years, range 1-17 years) who underwent sequential abdominal CT scans-one with a standard-iodine-dose protocol (standard-dose group, Iobitridol 350 mgI/mL) and another with a low-iodine-dose protocol (low-dose group, Iohexol 240 mgI/mL)-within a 4-month interval from January 2022 to July 2022. The low-iodine CT protocol was reconstructed using an AI-based contrast-boosting technique (contrast-boosted group). Quantitative and qualitative parameters were measured in the three groups. For qualitative parameters, interobserver agreement was assessed using the intraclass correlation coefficient, and mean values were employed for subsequent analyses. For quantitative analysis of the three groups, repeated measures one-way analysis of variance with post hoc pairwise analysis was used. For qualitative analysis, the Friedman test followed by post hoc pairwise analysis was used. Paired t-tests were employed to compare radiation dose and iodine uptake between the standard- and low-dose groups.

RESULTS

The standard-dose group exhibited higher attenuation, contrast-to-noise ratio (CNR), and signal-to-noise ratio (SNR) of organs and vessels compared to the low-dose group (all P-values < 0.05 except for liver SNR, P = 0.12). However, noise levels did not differ between the standard- and low-dose groups (P = 0.86). The contrast-boosted group had increased attenuation, CNR, and SNR of organs and vessels, and reduced noise compared with the low-dose group (all P < 0.05). The contrast-boosted group showed no differences in attenuation, CNR, and SNR of organs and vessels (all P > 0.05), and lower noise (P = 0.002), than the standard-dose group. In qualitative analysis, the contrast-boosted group did not differ regarding vessel enhancement and lesion conspicuity (P > 0.05) but had lower noise (P < 0.05) and higher organ enhancement and artifacts (all P < 0.05) than the standard-dose group. While iodine uptake was significantly reduced in low-iodine-dose CT (P < 0.001), there was no difference in radiation dose between standard- and low-iodine-dose CT (all P > 0.05).

CONCLUSION

Low-iodine-dose abdominal CT, combined with an AI-based contrast-boosting technique exhibited comparable organ and vessel enhancement, as well as lesion conspicuity compared to standard-iodine-dose CT in children. Moreover, image noise decreased in the contrast-boosted group, albeit with an increase in artifacts.

摘要

背景

低碘剂量计算机断层扫描(CT)方案已出现,以减轻与注射造影剂相关的风险,但这通常会导致图像质量下降。

目的

与儿童标准碘剂量方案相比,评估低碘剂量CT联合基于人工智能(AI)的造影剂增强技术在腹部CT中的图像质量。

材料与方法

这项单中心回顾性研究纳入了35例儿科患者(平均年龄9.2岁,范围1至17岁),他们在2022年1月至2022年7月的4个月内接受了连续的腹部CT扫描——一次采用标准碘剂量方案(标准剂量组,碘海醇350 mgI/mL),另一次采用低碘剂量方案(低剂量组,碘克沙醇240 mgI/mL)。低碘CT方案采用基于AI的造影剂增强技术进行重建(造影剂增强组)。在三组中测量了定量和定性参数。对于定性参数,使用组内相关系数评估观察者间的一致性,并将平均值用于后续分析。对于三组的定量分析,使用重复测量的单向方差分析及事后两两分析。对于定性分析,使用Friedman检验及事后两两分析。采用配对t检验比较标准剂量组和低剂量组之间的辐射剂量和碘摄取情况。

结果

与低剂量组相比,标准剂量组器官和血管的衰减、对比噪声比(CNR)和信噪比(SNR)更高(除肝脏SNR外,所有P值均<0.05,肝脏SNR的P值=0.12)。然而,标准剂量组和低剂量组之间的噪声水平没有差异(P=0.86)。与低剂量组相比,造影剂增强组器官和血管的衰减、CNR和SNR增加,噪声降低(所有P<0.05)。造影剂增强组与标准剂量组相比,器官和血管的衰减、CNR和SNR无差异(所有P>0.05),但噪声更低(P=0.002)。在定性分析中,造影剂增强组在血管强化和病变清晰度方面无差异(P>0.05),但与标准剂量组相比,噪声更低(P<0.05),器官强化和伪影更高(所有P<0.05)。虽然低碘剂量CT中的碘摄取显著降低(P<0.001),但标准碘剂量CT和低碘剂量CT之间的辐射剂量没有差异(所有P>0.05)。

结论

与儿童标准碘剂量CT相比,低碘剂量腹部CT联合基于AI的造影剂增强技术在器官和血管强化以及病变清晰度方面表现相当。此外,造影剂增强组的图像噪声降低,尽管伪影有所增加。

https://cdn.ncbi.nlm.nih.gov/pmc/blobs/5581/11254996/a9257d1ac6d3/247_2024_5953_Fig1_HTML.jpg

文献AI研究员

20分钟写一篇综述,助力文献阅读效率提升50倍。

立即体验

用中文搜PubMed

大模型驱动的PubMed中文搜索引擎

马上搜索

文档翻译

学术文献翻译模型,支持多种主流文档格式。

立即体验