Suppr超能文献

熊果酸通过 NRF2 介导的铁死亡抑制三阴性乳腺癌干细胞样细胞的增殖。

Ursolic acid inhibits the proliferation of triple‑negative breast cancer stem‑like cells through NRF2‑mediated ferroptosis.

机构信息

Graduate School, Shanghai University of Traditional Chinese Medicine, Shanghai 201203, P.R. China.

Shanghai Key Laboratory of Molecular Imaging, Jiading Central Hospital Affiliated Shanghai University of Medicine and Health Sciences, Shanghai 201318, P.R. China.

出版信息

Oncol Rep. 2024 Jul;52(1). doi: 10.3892/or.2024.8753. Epub 2024 Jun 7.

Abstract

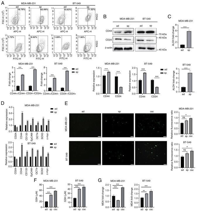
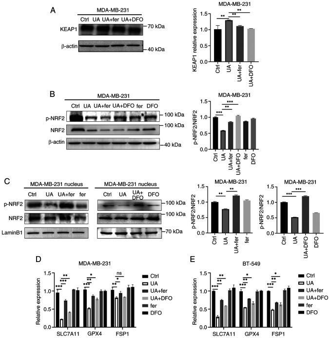
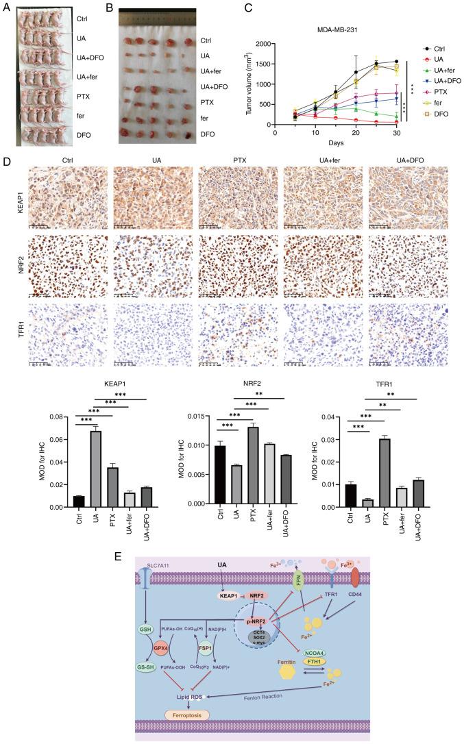
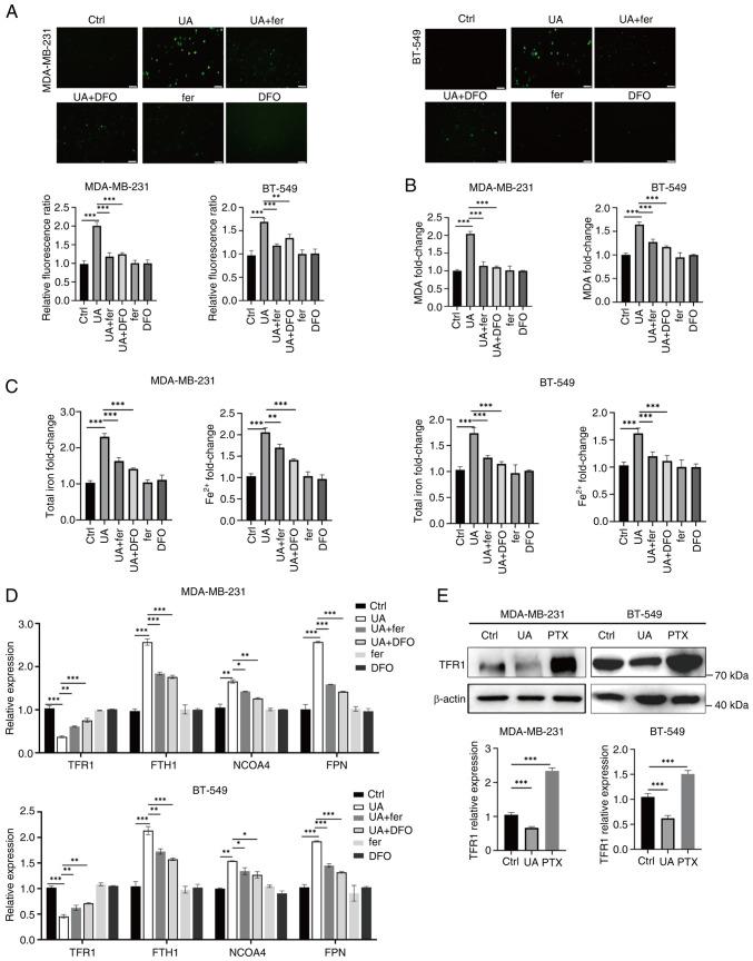
Ursolic acid (UA), a pentacyclic triterpenoid that has been found in a broad variety of fruits, spices and medicinal plants, has various biological effects such as reducing inflammation, protecting cells from damage, and preserving brain function. However, its impact on ferroptosis in cancer stem‑like cells remains unexplored. The present study investigated the effect of UA on MDA‑MB‑231 and BT‑549 cell‑derived triple‑negative breast CSCs (BCSCs) and its potential ferroptosis pathway. The effects of ferroptosis on BCSCs were demonstrated by the detection of ferroptosis‑related indexes including the intracellular level of glutathione, malondialdehyde, reactive oxygen species and iron. The effects of UA on the biological behaviors of BCSCs were analyzed by Cell Counting Kit‑8, stemness indexes detection and mammosphere formation assay. The mechanism of UA induction on BCSCs was explored by reverse transcription‑quantitative PCR and western blotting. BALB/c‑nude mice were subcutaneously injected with MDA‑MB‑231‑derived BCSCs to establish xenograft models to detect the effects of UA . The results revealed that BCSCs have abnormal iron metabolism and are less susceptible to ferroptosis. UA effectively reduces the stemness traits and proliferation of BCSCs in spheroids and mice models by promoting ferroptosis. It was observed that UA stabilizes Kelch‑like ECH‑associated protein 1 and suppresses nuclear factor erythroid‑related factor 2 (NRF2) activation. These findings suggested that the ability of UA to trigger ferroptosis through the inhibition of the NRF2 pathway could be a promising approach for treating BCSCs, potentially addressing metastasis and drug resistance in triple‑negative breast cancer (TNBC). This expands the clinical applications of UA and provides a theoretical basis for its use in TNBC treatment.

摘要

熊果酸(UA)是一种五环三萜类化合物,广泛存在于各种水果、香料和药用植物中,具有多种生物学作用,如抗炎、保护细胞免受损伤和维持脑功能。然而,其对癌症干细胞样细胞中铁死亡的影响尚未被探索。本研究探讨了 UA 对 MDA-MB-231 和 BT-549 细胞衍生的三阴性乳腺癌 CSCs(BCSCs)的影响及其潜在的铁死亡途径。通过检测谷胱甘肽、丙二醛、活性氧和铁等与铁死亡相关的指标,证实了铁死亡对 BCSCs 的影响。通过细胞计数试剂盒-8 检测、干细胞标志物检测和类器官形成实验分析 UA 对 BCSCs 生物学行为的影响。通过逆转录-定量 PCR 和 Western blot 探讨 UA 诱导 BCSCs 的机制。BALB/c-裸鼠皮下注射 MDA-MB-231 衍生的 BCSCs 建立异种移植模型,检测 UA 的作用。结果表明,BCSCs 具有异常的铁代谢,对铁死亡的敏感性较低。UA 通过促进铁死亡,有效降低了球体和小鼠模型中 BCSCs 的干性特征和增殖。观察到 UA 稳定 Kelch-like ECH-associated protein 1 并抑制核因子红细胞 2 相关因子 2(NRF2)激活。这些发现表明,UA 通过抑制 NRF2 通路触发铁死亡的能力可能是治疗 BCSCs 的一种有前途的方法,可能解决三阴性乳腺癌(TNBC)的转移和耐药问题。这扩展了 UA 的临床应用,并为其在 TNBC 治疗中的应用提供了理论依据。

https://cdn.ncbi.nlm.nih.gov/pmc/blobs/8348/11184361/2dcd5c0eaf94/or-52-01-08753-g00.jpg

文献AI研究员

20分钟写一篇综述,助力文献阅读效率提升50倍。

立即体验

用中文搜PubMed

大模型驱动的PubMed中文搜索引擎

马上搜索

文档翻译

学术文献翻译模型,支持多种主流文档格式。

立即体验