Suppr超能文献

全面分析粗毛羊胎儿皮肤初级毛囊中 mRNA、lncRNA、circRNA 和 miRNA 的表达谱。

Comprehensive analysis of the expression profiles of mRNA, lncRNA, circRNA, and miRNA in primary hair follicles of coarse sheep fetal skin.

机构信息

Qinghai Provincial Key Laboratory of Animal Ecological Genomics, Key Laboratory of Adaptation and Evolution of Plateau Biota, Northwest Institute of Plateau Biology, Chinese Academy of Sciences, Xining, 810000, Qinghai, China.

University of Chinese Academy of Sciences, Beijing, 100049, China.

出版信息

BMC Genomics. 2024 Jun 7;25(1):574. doi: 10.1186/s12864-024-10427-7.

Abstract

BACKGROUND

The Qinghai Tibetan sheep, a local breed renowned for its long hair, has experienced significant deterioration in wool characteristics due to the absence of systematic breeding practices. Therefore, it is imperative to investigate the molecular mechanisms underlying follicle development in order to genetically enhance wool-related traits and safeguard the sustainable utilization of valuable germplasm resources. However, our understanding of the regulatory roles played by coding and non-coding RNAs in hair follicle development remains largely elusive.

RESULTS

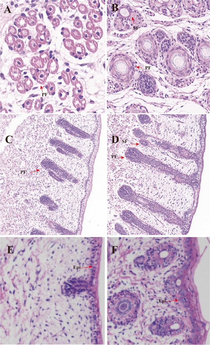
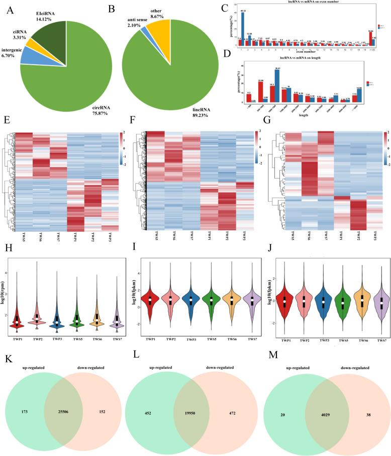
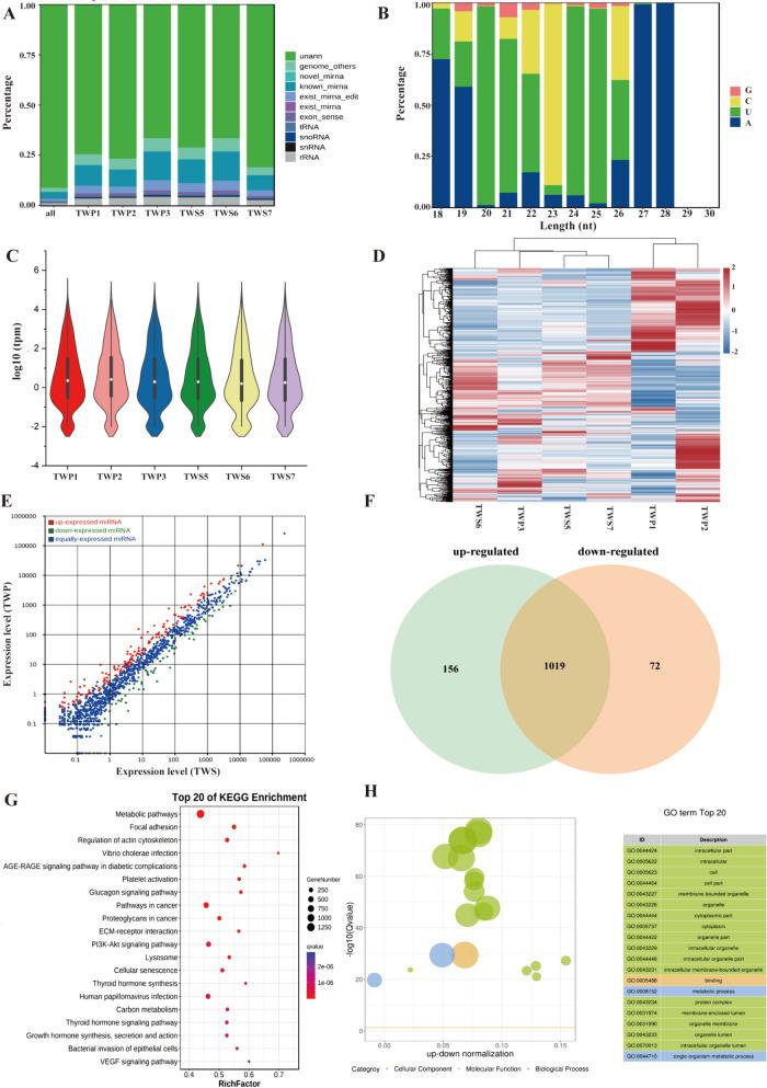
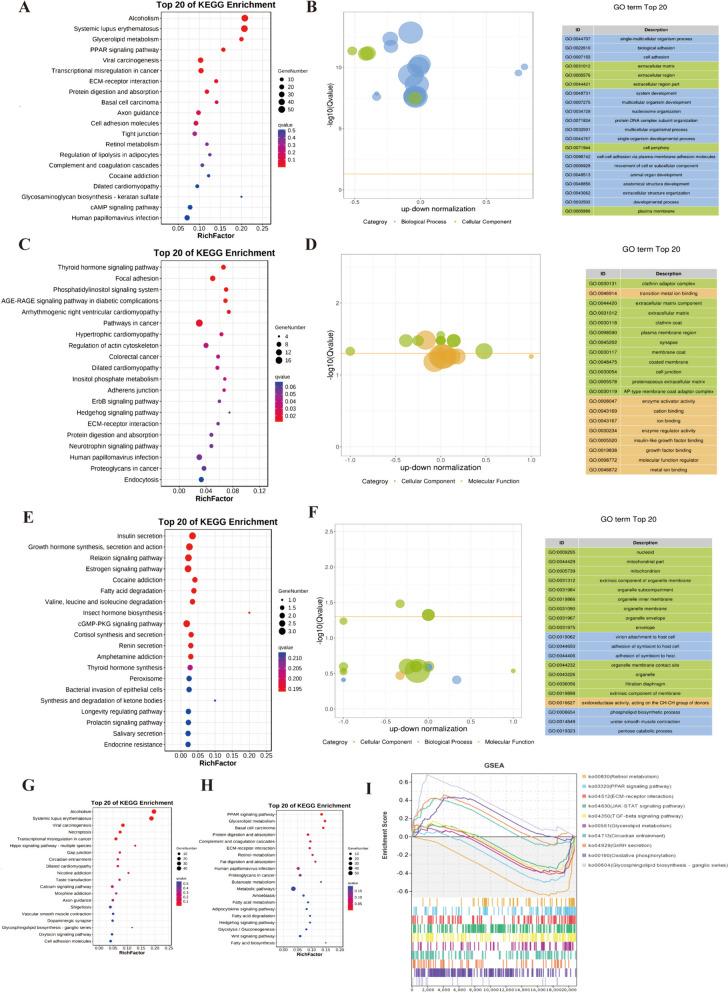
A total of 20,874 mRNAs, 25,831 circRNAs, 4087 lncRNAs, and 794 miRNAs were annotated. Among them, we identified 58 DE lncRNAs, 325 DE circRNAs, 924 DE mRNAs, and 228 DE miRNAs during the development of medullary primary hair follicle development. GO and KEGG functional enrichment analyses revealed that the JAK-STAT, TGF-β, Hedgehog, PPAR, cGMP-PKG signaling pathway play crucial roles in regulating fibroblast and epithelial development during skin and hair follicle induction. Furthermore, the interactive network analysis additionally identified several crucial mRNA, circRNA, and lncRNA molecules associated with the process of primary hair follicle development. Ultimately, by investigating DEmir's role in the ceRNA regulatory network mechanism, we identified 113 circRNA-miRNA pairs and 14 miRNA-mRNA pairs, including IGF2BP1-miR-23-x-novel-circ-01998-MSTRG.7111.3, DPT-miR-370-y-novel-circ-005802-MSTRG.14857.1 and TSPEAR-oar-miR-370-3p-novel-circ-005802- MSTRG.10527.1.

CONCLUSIONS

Our study offers novel insights into the distinct expression patterns of various transcription types during hair follicle morphogenesis, establishing a solid foundation for unraveling the molecular mechanisms that drive hair development and providing a scientific basis for selectively breeding desirable wool-related traits in this specific breed.

摘要

背景

青海藏羊是一种以长毛而闻名的地方品种,但由于缺乏系统的选育措施,其羊毛特性严重恶化。因此,研究毛囊发育的分子机制对于遗传改良羊毛相关性状和保护有价值的种质资源的可持续利用至关重要。然而,我们对于编码和非编码 RNA 在毛囊发育中的调控作用知之甚少。

结果

共注释了 20874 个 mRNAs、25831 个 circRNAs、4087 个 lncRNAs 和 794 个 miRNAs。其中,在髓质初级毛囊发育过程中,我们鉴定了 58 个差异表达的 lncRNA、325 个差异表达的 circRNA、924 个差异表达的 mRNA 和 228 个差异表达的 miRNA。GO 和 KEGG 功能富集分析表明,JAK-STAT、TGF-β、Hedgehog、PPAR 和 cGMP-PKG 信号通路在皮肤和毛囊诱导过程中对成纤维细胞和上皮细胞的发育起着至关重要的作用。此外,交互网络分析还鉴定了几个与初级毛囊发育过程相关的关键 mRNA、circRNA 和 lncRNA 分子。最后,通过研究 DEmir 在 ceRNA 调控网络机制中的作用,我们鉴定了 113 个 circRNA-miRNA 对和 14 个 miRNA-mRNA 对,包括 IGF2BP1-miR-23-x-novel-circ-01998-MSTRG.7111.3、DPT-miR-370-y-novel-circ-005802-MSTRG.14857.1 和 TSPEAR-oar-miR-370-3p-novel-circ-005802-MSTRG.10527.1。

结论

本研究为毛囊形态发生过程中各种转录类型的独特表达模式提供了新的见解,为揭示驱动毛发发育的分子机制奠定了基础,并为该特定品种选择性培育理想的羊毛相关性状提供了科学依据。

https://cdn.ncbi.nlm.nih.gov/pmc/blobs/3986/11161951/16e8be8dd3ee/12864_2024_10427_Fig1_HTML.jpg

文献AI研究员

20分钟写一篇综述,助力文献阅读效率提升50倍。

立即体验

用中文搜PubMed

大模型驱动的PubMed中文搜索引擎

马上搜索

文档翻译

学术文献翻译模型,支持多种主流文档格式。

立即体验