Suppr超能文献

LMOD1 表达的时空异质性总结了结直肠癌中两种细胞通讯模式。

Spatiotemporal heterogeneity of LMOD1 expression summarizes two modes of cell communication in colorectal cancer.

机构信息

Jiangsu Province Hospital of Chinese Medicine, The Affiliated Hospital of Nanjing University of Chinese Medicine, Hanzhong Road No.155, Nanjing, 210029, Jiangsu, China.

Jiangsu Province Key Laboratory of Tumor Systems Biology and Chinese Medicine, Nanjing, 210029, Jiangsu, China.

出版信息

J Transl Med. 2024 Jun 7;22(1):549. doi: 10.1186/s12967-024-05369-3.

Abstract

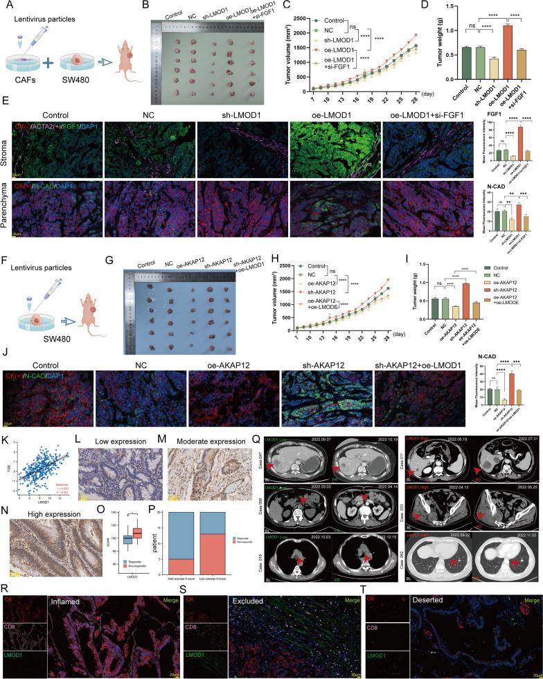
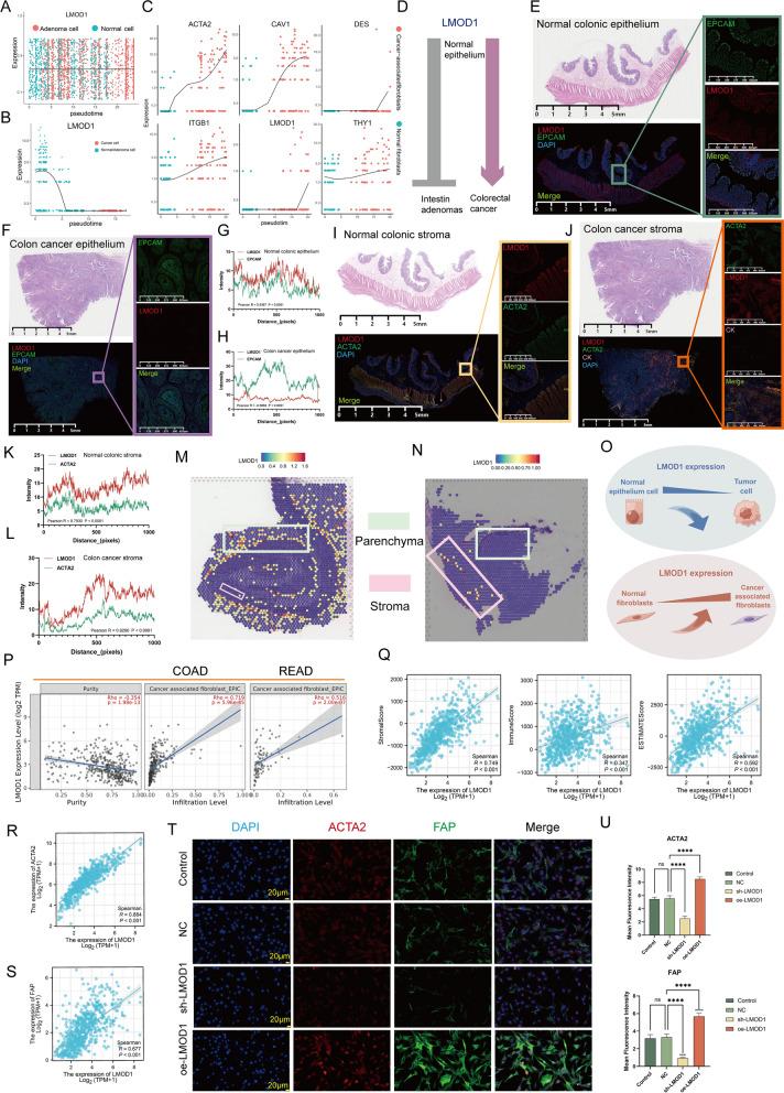
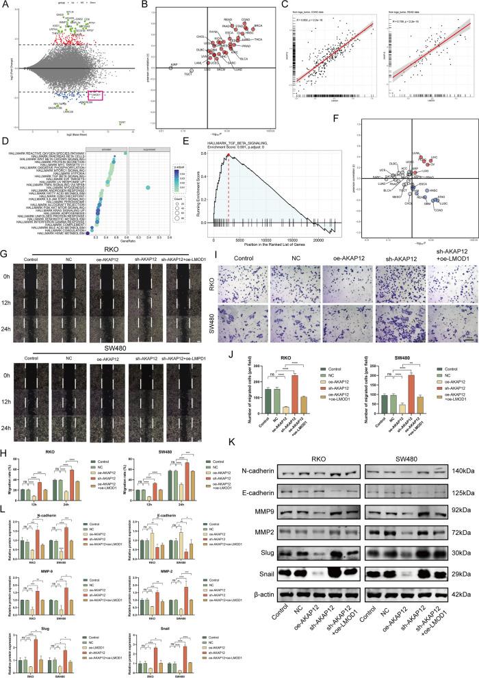
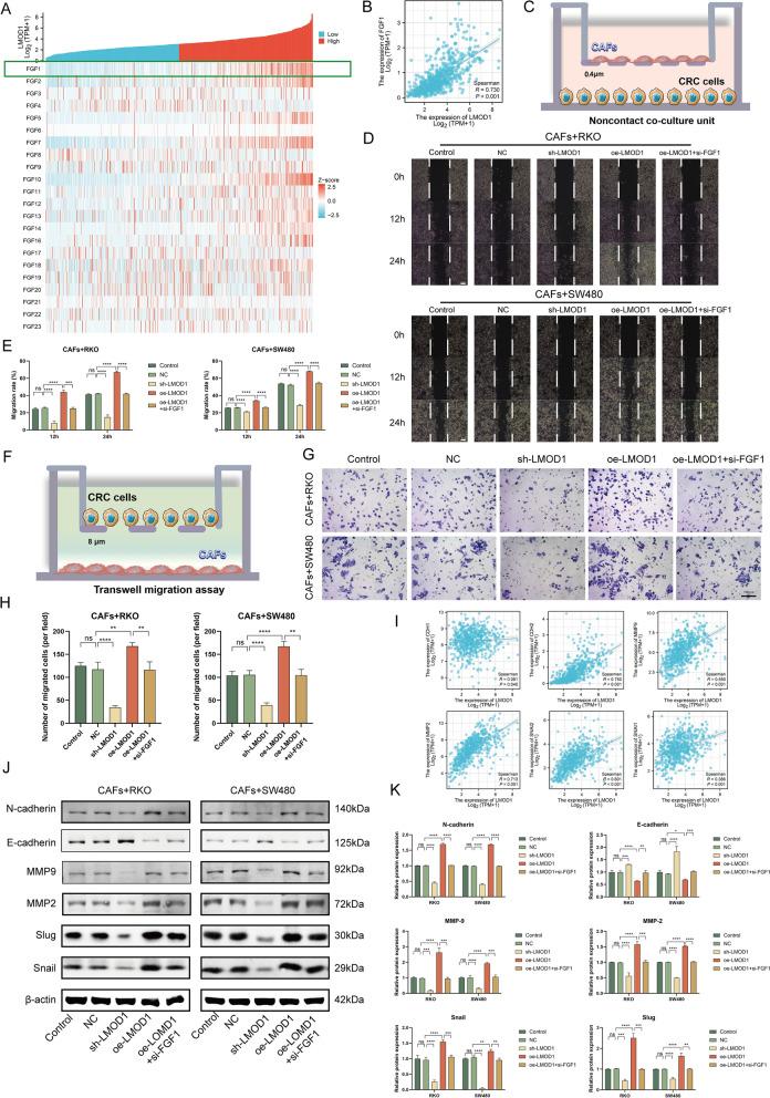
Cellular communication (CC) influences tumor development by mediating intercellular junctions between cells. However, the role and underlying mechanisms of CC in malignant transformation remain unknown. Here, we investigated the spatiotemporal heterogeneity of CC molecular expression during malignant transformation. It was found that although both tight junctions (TJs) and gap junctions (GJs) were involved in maintaining the tumor microenvironment (TME), they exhibited opposite characteristics. Mechanistically, for epithelial cells (parenchymal component), the expression of TJ molecules consistently decreased during normal-cancer transformation and is a potential oncogenic factor. For fibroblasts (mesenchymal component), the expression of GJs consistently increased during normal-cancer transformation and is a potential oncogenic factor. In addition, the molecular profiles of TJs and GJs were used to stratify colorectal cancer (CRC) patients, where subtypes characterized by high GJ levels and low TJ levels exhibited enhanced mesenchymal signals. Importantly, we propose that leiomodin 1 (LMOD1) is biphasic, with features of both TJs and GJs. LMOD1 not only promotes the activation of cancer-associated fibroblasts (CAFs) but also inhibits the Epithelial-mesenchymal transition (EMT) program in cancer cells. In conclusion, these findings demonstrate the molecular heterogeneity of CC and provide new insights into further understanding of TME heterogeneity.

摘要

细胞通讯 (CC) 通过介导细胞间的连接来影响肿瘤的发展。然而,CC 在恶性转化中的作用和潜在机制仍不清楚。在这里,我们研究了恶性转化过程中 CC 分子表达的时空异质性。结果发现,尽管紧密连接 (TJs) 和间隙连接 (GJs) 都参与维持肿瘤微环境 (TME),但它们表现出相反的特征。从机制上讲,对于上皮细胞(实质成分),TJ 分子的表达在正常-癌转化过程中持续下降,是潜在的致癌因素。对于成纤维细胞(间质成分),GJ 分子的表达在正常-癌转化过程中持续增加,是潜在的致癌因素。此外,TJ 和 GJ 的分子特征可用于对结直肠癌 (CRC) 患者进行分层,其中具有高 GJ 水平和低 TJ 水平特征的亚型表现出增强的间质信号。重要的是,我们提出了肌球蛋白轻链 1 (LMOD1) 具有双重性,具有 TJ 和 GJ 的特征。LMOD1 不仅促进癌相关成纤维细胞 (CAFs) 的激活,而且抑制癌细胞中的上皮-间充质转化 (EMT) 程序。总之,这些发现表明了 CC 的分子异质性,并为进一步理解 TME 异质性提供了新的见解。

https://cdn.ncbi.nlm.nih.gov/pmc/blobs/b397/11161970/e6924d65d905/12967_2024_5369_Fig1_HTML.jpg

文献AI研究员

20分钟写一篇综述,助力文献阅读效率提升50倍。

立即体验

用中文搜PubMed

大模型驱动的PubMed中文搜索引擎

马上搜索

文档翻译

学术文献翻译模型,支持多种主流文档格式。

立即体验