Suppr超能文献

人参皂苷 Rg3 通过 miR-216a-5p/MAPK 通路诱导系膜细胞增殖并减轻糖尿病肾病中的细胞凋亡。

Ginsenoside Rg3 induces mesangial cells proliferation and attenuates apoptosis by miR-216a-5p/MAPK pathway in diabetic kidney disease.

机构信息

Department of Nephrology, Shenzhen Guangming District People’s Hospital, Guangming, Shenzhen 518000, China.

Department of Pharmacy, Shenzhen Guangming District People’s Hospital, Guangming, Shenzhen 518000, China.

出版信息

Aging (Albany NY). 2024 Jun 7;16(11):9933-9943. doi: 10.18632/aging.205907.

Abstract

BACKGROUND

Ginsenoside Rg3 is an active saponin isolated from ginseng, which can reduce renal inflammation. However, the role and mechanism of Rg3 in diabetic kidney disease (DKD) are far from being studied.

METHODS

The effects of Rg3 and miR-216a-5p on the proliferation, apoptosis, and MAPK pathway in high glucose (HG)-induced SV40 MES 13 were monitored by CCK-8, TUNEL staining, and western blot.

RESULTS

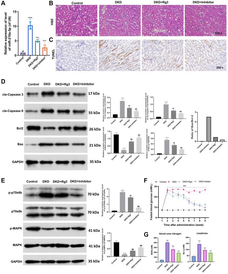
Rg3 treatment could accelerate proliferation and suppress apoptosis in HG-induced SV40 MES. Moreover, miR-216a-5p inhibition also could alleviate renal injury, prevent apoptosis, and activate the MAPK pathway in kidney tissues of diabetic model mice.

CONCLUSION

Rg3 could attenuate DKD progression by downregulating miR-216a-5p, suggesting Rg3 and miR-216a-5p might be the potential drug and molecular targets for DKD therapy.

摘要

背景

人参皂苷 Rg3 是从人参中分离得到的一种活性皂苷,可减轻肾脏炎症。然而,Rg3 在糖尿病肾病(DKD)中的作用和机制还远未得到研究。

方法

通过 CCK-8、TUNEL 染色和 Western blot 检测 Rg3 和 miR-216a-5p 对高糖(HG)诱导的 SV40 MES13 增殖、凋亡和 MAPK 通路的影响。

结果

Rg3 处理可促进 HG 诱导的 SV40 MES 的增殖并抑制凋亡。此外,miR-216a-5p 抑制也可减轻糖尿病模型小鼠肾脏组织的肾损伤、防止细胞凋亡并激活 MAPK 通路。

结论

Rg3 可通过下调 miR-216a-5p 来减轻 DKD 的进展,表明 Rg3 和 miR-216a-5p 可能是 DKD 治疗的潜在药物和分子靶点。

https://cdn.ncbi.nlm.nih.gov/pmc/blobs/15a6/11210261/0e08ebab12f4/aging-16-205907-g001.jpg

文献AI研究员

20分钟写一篇综述,助力文献阅读效率提升50倍。

立即体验

用中文搜PubMed

大模型驱动的PubMed中文搜索引擎

马上搜索

文档翻译

学术文献翻译模型,支持多种主流文档格式。

立即体验