Suppr超能文献

系统遗传学揭示了新型结核分枝杆菌感染的多样性近交系小鼠中的功能基因候选新基因座。

Systems genetics uncover new loci containing functional gene candidates in Mycobacterium tuberculosis-infected Diversity Outbred mice.

机构信息

The Jackson Laboratory, Bar Harbor, Maine, United States of America.

Rensselaer Polytechnic Institute, Troy, New York, United States of America.

出版信息

PLoS Pathog. 2024 Jun 11;20(6):e1011915. doi: 10.1371/journal.ppat.1011915. eCollection 2024 Jun.

Abstract

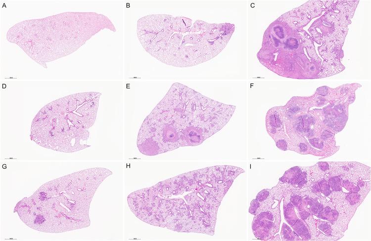
Mycobacterium tuberculosis infects two billion people across the globe, and results in 8-9 million new tuberculosis (TB) cases and 1-1.5 million deaths each year. Most patients have no known genetic basis that predisposes them to disease. Here, we investigate the complex genetic basis of pulmonary TB by modelling human genetic diversity with the Diversity Outbred mouse population. When infected with M. tuberculosis, one-third develop early onset, rapidly progressive, necrotizing granulomas and succumb within 60 days. The remaining develop non-necrotizing granulomas and survive longer than 60 days. Genetic mapping using immune and inflammatory mediators; and clinical, microbiological, and granuloma correlates of disease identified five new loci on mouse chromosomes 1, 2, 4, 16; and three known loci on chromosomes 3 and 17. Further, multiple positively correlated traits shared loci on chromosomes 1, 16, and 17 and had similar patterns of allele effects, suggesting these loci contain critical genetic regulators of inflammatory responses to M. tuberculosis. To narrow the list of candidate genes, we used a machine learning strategy that integrated gene expression signatures from lungs of M. tuberculosis-infected Diversity Outbred mice with gene interaction networks to generate scores representing functional relationships. The scores were used to rank candidates for each mapped trait, resulting in 11 candidate genes: Ncf2, Fam20b, S100a8, S100a9, Itgb5, Fstl1, Zbtb20, Ddr1, Ier3, Vegfa, and Zfp318. Although all candidates have roles in infection, inflammation, cell migration, extracellular matrix remodeling, or intracellular signaling, and all contain single nucleotide polymorphisms (SNPs), SNPs in only four genes (S100a8, Itgb5, Fstl1, Zfp318) are predicted to have deleterious effects on protein functions. We performed methodological and candidate validations to (i) assess biological relevance of predicted allele effects by showing that Diversity Outbred mice carrying PWK/PhJ alleles at the H-2 locus on chromosome 17 QTL have shorter survival; (ii) confirm accuracy of predicted allele effects by quantifying S100A8 protein in inbred founder strains; and (iii) infection of C57BL/6 mice deficient for the S100a8 gene. Overall, this body of work demonstrates that systems genetics using Diversity Outbred mice can identify new (and known) QTLs and functionally relevant gene candidates that may be major regulators of complex host-pathogens interactions contributing to granuloma necrosis and acute inflammation in pulmonary TB.

摘要

结核分枝杆菌感染了全球 20 亿人,导致每年新增 800 至 900 万例结核病(TB)病例和 100 至 150 万人死亡。大多数患者没有已知的遗传基础使他们易患疾病。在这里,我们通过使用多样性杂交小鼠群体模拟人类遗传多样性来研究肺 TB 的复杂遗传基础。当感染结核分枝杆菌时,三分之一的人会在 60 天内迅速发展为早期、快速进展、坏死性肉芽肿,并在 60 天内死亡。其余的人会发展为非坏死性肉芽肿,并存活时间超过 60 天。使用免疫和炎症介质以及临床、微生物学和肉芽肿疾病的相关性进行遗传图谱分析,确定了位于小鼠染色体 1、2、4、16 上的五个新基因座;以及染色体 3 和 17 上的三个已知基因座。此外,多个呈正相关的性状共享染色体 1、16 和 17 上的基因座,并且具有相似的等位基因效应模式,这表明这些基因座包含结核分枝杆菌炎症反应的关键遗传调节剂。为了缩小候选基因的范围,我们使用了一种机器学习策略,该策略将来自感染结核分枝杆菌的多样性杂交小鼠肺部的基因表达特征与基因相互作用网络相结合,生成代表功能关系的分数。使用这些分数对每个映射性状的候选基因进行排名,得到 11 个候选基因:Ncf2、Fam20b、S100a8、S100a9、Itgb5、Fstl1、Zbtb20、Ddr1、Ier3、Vegfa 和 Zfp318。尽管所有候选基因都在感染、炎症、细胞迁移、细胞外基质重塑或细胞内信号转导中发挥作用,并且都含有单核苷酸多态性(SNP),但只有四个基因(S100a8、Itgb5、Fstl1、Zfp318)中的 SNP 预计会对蛋白质功能产生有害影响。我们进行了方法学和候选物验证,以(i)通过显示携带染色体 17 QTL 上 H-2 基因座 PWK/PhJ 等位基因的多样性杂交小鼠的存活时间更短来评估预测等位基因效应的生物学相关性;(ii)通过定量检测同基因系中的 S100A8 蛋白来确认预测等位基因效应的准确性;以及(iii)用 S100a8 基因缺失的 C57BL/6 小鼠进行感染。总体而言,这项工作表明,使用多样性杂交小鼠的系统遗传学可以识别新的(和已知的)QTL 和功能相关的基因候选物,这些候选物可能是导致肺结核肉芽肿坏死和急性炎症的复杂宿主-病原体相互作用的主要调节剂。

https://cdn.ncbi.nlm.nih.gov/pmc/blobs/63b5/11195971/4d1948d4556f/ppat.1011915.g001.jpg

文献AI研究员

20分钟写一篇综述,助力文献阅读效率提升50倍。

立即体验

用中文搜PubMed

大模型驱动的PubMed中文搜索引擎

马上搜索

文档翻译

学术文献翻译模型,支持多种主流文档格式。

立即体验