Suppr超能文献

从乌胡德山分离出的嗜热细菌产生鼠李糖脂生物表面活性剂及其特性研究

Production and characterization of rhamnolipid biosurfactant from thermophilic bacterium isolated from Uhud mountain.

作者信息

Albasri Hibah M, Almohammadi Asmaa A, Alhhazmi Areej, Bukhari Duaa A, Waznah Moayad S, Mawad Asmaa M M

机构信息

Department of Biology, College of Science, Taibah University, Madinah, Saudi Arabia.

Clinical Laboratory Sciences Department, College of Applied Medical Sciences, Taibah University, Madinah, Saudi Arabia.

出版信息

Front Microbiol. 2024 May 30;15:1358175. doi: 10.3389/fmicb.2024.1358175. eCollection 2024.

Abstract

INTRODUCTION

Biosurfactants have been given considerable attention as they are potential candidates for several biotechnological applications.

MATERIALS AND METHODS

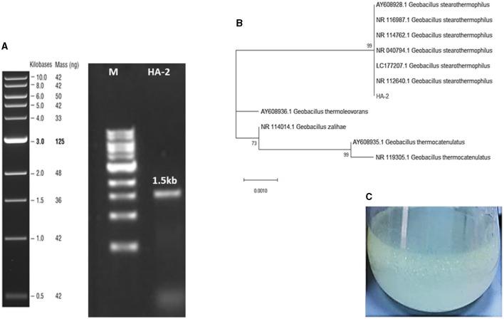
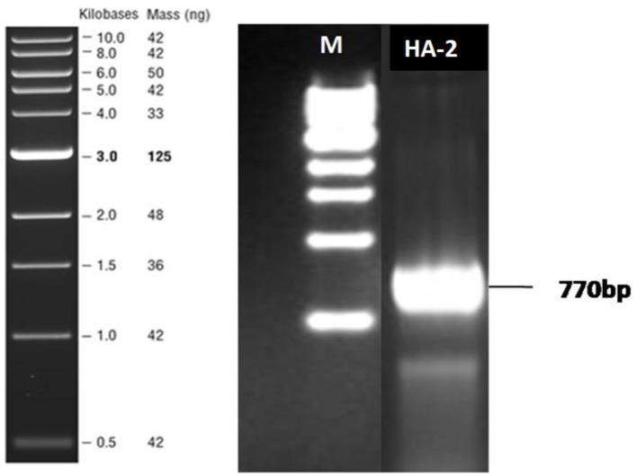
In this study, a promising thermophilic biosurfactant-producing HA-2 was isolated from the volcanic and arid region of Uhud mountain, Madinah, Saudi Arabia. It was identified using 16S rRNA gene sequence analysis. The biosurfactant production ability was screened using different methods such as the drop collapse test, oil spreading test, hemolytic activity test, CTAB test, and emulsification index. The ability of rhamnolipid production by the tested strain was confirmed by the polymerase chain reaction (PCR) of . The affinity of thermophilic HA-2 to hydrophobic substrates was also investigated. Optimization of biosurfactant production was conducted. The biological activities of produced surfactant were investigated.

RESULTS AND DISCUSSION

The isolated HA-1 was identified as strain OR911984. It could utilize waste sunflower frying oil (WSFF) oil as a low-cost carbon source. It showed high emulsification activity (52 ± 0.0%) and positive results toward other biosurfactant screening tests. The strain showed high cell adhesion to hexane with 41.2% cell surface hydrophobicity. Fourier-transform infrared (FTIR) spectra indicated the presence of hydrophobic chains that comprise lipids, sugars, and hydrophilic glycolipid components. The optimization results showed the optimal factors included potato peel as a carbon source with 68.8% emulsification activity, yeast extract as a nitrogen source with 60% emulsification activity, a pH of 9 (56.6%), and a temperature of 50° (72%). The kinetics showed that optimum biosurfactant production (572.4 mg/L) was recorded at 5 days of incubation. The produced rhamnolipid biosurfactant showed high antimicrobial activity against some human and plant pathogenic bacterial and fungal isolates and high antioxidant activity (90.4%). In addition, it enhanced wheat () growth, with the greatest enhancement obtained with the 5% concentration. Therefore, thermophilic is a promising rhamnolipid biosurfactant producer that utilizes many organic wastes. The produced biosurfactant could be applied as a promising emulsifier, antimicrobial, antioxidant, and plant growth promoter.

摘要

引言

生物表面活性剂因其在多种生物技术应用中具有潜在价值而备受关注。

材料与方法

在本研究中,从沙特阿拉伯麦地那乌胡德山的火山干旱地区分离出一株颇具潜力的产嗜热生物表面活性剂的HA - 2。通过16S rRNA基因序列分析对其进行鉴定。使用不同方法筛选生物表面活性剂的生产能力,如液滴坍塌试验、油扩散试验、溶血活性试验、CTAB试验和乳化指数。通过对……的聚合酶链反应(PCR)确认受试菌株产生鼠李糖脂的能力。还研究了嗜热HA - 2对疏水底物的亲和力。对生物表面活性剂的生产进行了优化。对所产表面活性剂的生物活性进行了研究。

结果与讨论

分离出的HA - 1被鉴定为菌株OR911984。它能够利用废向日葵煎炸油(WSFF)作为低成本碳源。它表现出高乳化活性(52±0.0%),并且在其他生物表面活性剂筛选试验中结果呈阳性。该菌株对己烷表现出高细胞粘附性,细胞表面疏水性为41.2%。傅里叶变换红外(FTIR)光谱表明存在包含脂质、糖类和亲水糖脂成分的疏水链。优化结果表明,最佳因素包括以马铃薯皮作为碳源时乳化活性为68.8%,以酵母提取物作为氮源时乳化活性为60%,pH为9(56.6%),温度为50°(72%)。动力学表明,培养5天时记录到最佳生物表面活性剂产量(572.4 mg/L)。所产鼠李糖脂生物表面活性剂对一些人类和植物病原细菌及真菌分离株表现出高抗菌活性,并且具有高抗氧化活性(90.4%)。此外,它促进了小麦()生长,在5%浓度时促进效果最佳。因此,嗜热……是一种颇具潜力的利用多种有机废物的鼠李糖脂生物表面活性剂生产者。所产生物表面活性剂可作为一种有前景的乳化剂、抗菌剂、抗氧化剂和植物生长促进剂应用。

https://cdn.ncbi.nlm.nih.gov/pmc/blobs/2556/11173098/967dadf5bd1e/fmicb-15-1358175-g0001.jpg

文献AI研究员

20分钟写一篇综述,助力文献阅读效率提升50倍。

立即体验

用中文搜PubMed

大模型驱动的PubMed中文搜索引擎

马上搜索

文档翻译

学术文献翻译模型,支持多种主流文档格式。

立即体验